/ EN
Technical Support
| Contact Us
+1 312-802-6843
Technical Support
Contact Us
+1 312-802-6843
/ EN
Recover password
Professional Email
Verification Code
Send Code
Password
Anti-58K Golgi Protein Rabbit pAb
Catalog Number: PTM-6823
$ 290

Clone Number: /

Host: Rabbit Clonality: Polyclonal

Applications: WB IHC-P

Reactivity: Human

Synonyms: Formimidoyltransferase-cyclodeaminase, Formiminotransferase-cyclodeaminase (FTCD), LCHC1, FTCD

Product Size
100 μl
Quantity

Shipping: Ambient temperature

Order online or send purchase order to info@ptmbio.com

FAQ Technical Support Protocols

General Information
Isotype IgG
Conjugate Unconjugated
Synonyms Formimidoyltransferase-cyclodeaminase, Formiminotransferase-cyclodeaminase (FTCD), LCHC1, FTCD
UniProt ID

O95954

Immunogen Synthetic peptide derived from human formimidoyltransferase-cyclodeaminase
MW (kDa) 58
Specificity
Product Usage Information
Applications Dilution Recommended Species
WB 1:500 - 1:2000 Human
IHC-P 1:100 - 1:400 Human
Properties
Purity Protein A and immunogen affinity purified
Constituents PBS, Glycerol, BSA
Storage Store at -20°C. Avoid freeze/thaw cycles.
Stability Stable for 12 months from date of receipt/reconstitution.
Target Information

Background

58K Golgi protein is a folate-dependent enzyme that displays both transferase and deaminase activity. It serves to channel one-carbon units from formiminoglutamate to the folate pool. It binds and promotes bundling of vimentin filaments originating from the Golgi and becomes a marker for the Golgi apparatus.

Cellular location

Cytoplasm

Images
WB

Blocking buffer: 5% NFDM/TBST
Primary Ab dilution: 1:2000
Primary Ab incubation: 2 hours at room temperature
Secondary Ab: Goat Anti-Rabbit IgGH&L (HRP Conjugate)
Lysate: Human liver
Protein loading quantity: 20 μg
Exposure time: 30 seconds
Predicted band size: 58 kDa
Observed band size: 58 kDa

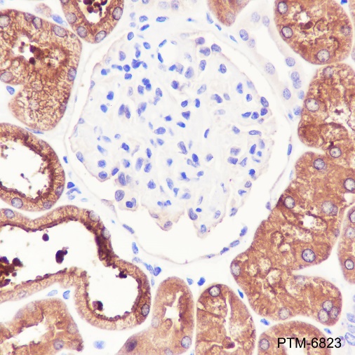
IHC-P

Tissue: Human kidney
Section type: Formalin-fixed & Paraffin-embedded section
Retrieval method: High temperature and high pressure
Retrieval buffer: Tris/EDTA buffer, pH9.0
Primary Ab dilution: 1:400
Primary Ab incubation: 1 hour at room temperature
Secondary Ab: Anti-Rabbit and Mouse Polymer HRP (Ready to Use)
Counter stain: Hematoxylin (Blue)
Description: The brown color represents the positive signal observed with PTM-6823

Tissue: Human liver
Section type: Formalin-fixed & Paraffin-embedded section
Retrieval method: High temperature and high pressure
Retrieval buffer: Tris/EDTA buffer, pH9.0
Primary Ab dilution: 1:400
Primary Ab incubation: 1 hour at room temperature
Secondary Ab: Anti-Rabbit and Mouse Polymer HRP (Ready to Use)
Counter stain: Hematoxylin (Blue)
Description: The brown color represents the positive signal observed with PTM-6823

Research Use

For research use only, not for use in diagnostic procedures.