/ EN
Technical Support
| Contact Us
+1 312-802-6843
Technical Support
Contact Us
+1 312-802-6843
/ EN
Recover password
Professional Email
Verification Code
Send Code
Password
Recombinant
Anti-Arc Mouse mAb
Catalog Number: PTM-6425
$ 285

Clone Number: JMMR-1983

Host: Mouse Clonality: Recombinant Monoclonal

Applications: WB IHC-P ICC/IF

Reactivity: Human, Mouse, Rat

Synonyms: Activity-regulated cytoskeleton-associated protein, hArc, Activity-regulated gene 3.1 protein homolog (ARC/ARG3.1; Arg3.1), ARC, KIAA0278

Product Size
100 μl
Quantity

Shipping: Ambient temperature

Order online or send purchase order to info@ptmbio.com

FAQ Technical Support Protocols

General Information
Isotype IgG1
Conjugate Unconjugated
Synonyms Activity-regulated cytoskeleton-associated protein, hArc, Activity-regulated gene 3.1 protein homolog (ARC/ARG3.1; Arg3.1), ARC, KIAA0278
UniProt ID

Q7LC44

Immunogen Synthetic peptide derived from human activity-regulated cytoskeleton-associated protein
MW (kDa) 45
Specificity
Product Usage Information
Applications Dilution Recommended Species
WB 1:500 - 1:1000 Human, Mouse, Rat
IHC-P 1:100 - 1:500 Human, Mouse
ICC/IF 1:50 Human
Properties
Purity Protein A purified
Constituents PBS, Glycerol, BSA
Storage Store at -20°C. Avoid freeze/thaw cycles.
Stability Stable for 12 months from date of receipt/reconstitution.
Target Information

Background

Activity-regulated cytoskeleton-associated (Arc) protein is a plasticity protein that is encoded by the ARC gene in human. ARC mRNA is localized to activated synaptic sites in an NMDA receptor-dependent manner, it is believed to play a critical role in learning and memory-related molecular processes. Arc protein is widely considered to be important in neurobiology. Dysfunction in the production of Arc protein has been implicated as an important factor in understanding various neurological conditions, including amnesia, Alzheimer's disease, Autism spectrum disorders, and Fragile X syndrome.

Cellular location

Cell junction, Membrane, Cytoplasm

Images
WB

Blocking buffer: 5% NFDM/TBST
Primary Ab dilution: 1:1000
Primary Ab incubation: 2 hours at room temperature
Secondary Ab: Goat Anti-Mouse IgG H&L pAb (HRP Conjugate)
Lysate: 1: HepG2, 2: Neuro-2a, 3: Rat brain
Protein loading quantity: 20 μg
Exposure time: 30 seconds
Predicted band size: 45 kDa
Observed band size: 50 kDa

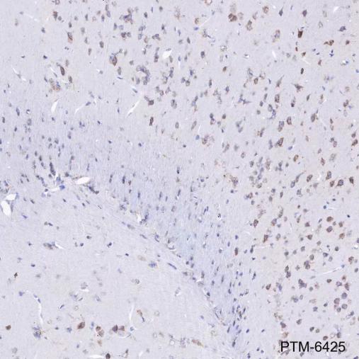
IHC-P

Tissue: Human hippocampus
Section type: Formalin-fixed & Paraffin -embedded section
Retrieval method: High temperature and high pressure
Retrieval buffer: Tris/EDTA buffer, pH 9.0
Primary Ab dilution: 1:500
Primary Ab incubation: 1 hour at room temperature
Secondary Ab: Anti-Rabbit and Mouse Polymer HRP (Ready to Use)
Counter stain: Hematoxylin (Blue)
Description: The brown color represents the positive signal observed with PTM-6425

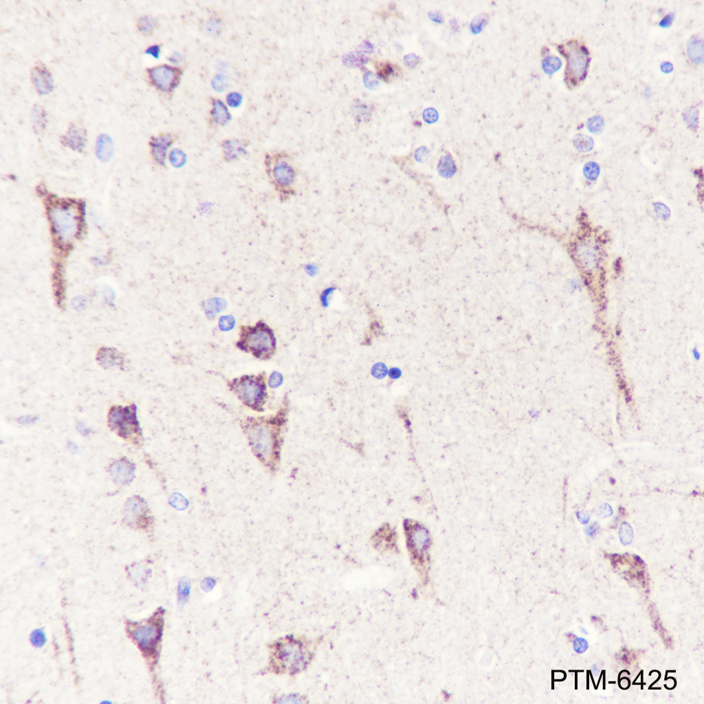
Tissue: Mouse hippocampus
Section type: Formalin-fixed & Paraffin -embedded section
Retrieval method: High temperature and high pressure
Retrieval buffer: Tris/EDTA buffer, pH 9.0
Primary Ab dilution: 1:100
Primary Ab incubation: 1 hour at room temperature
Secondary Ab: Anti-Rabbit and Mouse Polymer HRP (Ready to Use)
Counter stain: Hematoxylin (Blue)
Description: The brown color represents the positive signal observed with PTM-6425

ICC/IF

Cell line: Neuro-2a
Fixative: 100% Ice-cold methanol
Permeabilization: 0.1% Triton X-100
Primary Ab dilution: 1:50
Primary Ab incubation: 4°C overnight
Secondary Ab: Goat Anti-Mouse IgG
Nuclear counter stain: DAPI (Blue)
Description: The green color represents the positive signal observed with PTM-6425

Research Use

For research use only, not for use in diagnostic procedures.