/ EN
Technical Support
| Contact Us
+1 312-802-6843
Technical Support
Contact Us
+1 312-802-6843
/ EN
Recover password
Professional Email
Verification Code
Send Code
Password
Recombinant Rabbit Monoclonal
Anti-CD138/Syndecan-1 Rabbit mAb
Catalog Number: PTM-5101
$ 280

Clone Number: JRMR-147

Host: Rabbit Clonality: Recombinant Monoclonal

Applications: IHC-P

Reactivity: Human, Mouse

Synonyms: Syndecan-1, SYND1, CD138, SDC1, SDC

Product Size
100 μl
Quantity

Shipping: Ambient temperature

Order online or send purchase order to info@ptmbio.com

FAQ Technical Support Protocols

General Information
Isotype IgG
Conjugate Unconjugated
Synonyms Syndecan-1, SYND1, CD138, SDC1, SDC
UniProt ID

P18827

Immunogen Synthetic peptide derived from human CD138
MW (kDa) /
Specificity
Product Usage Information
Applications Dilution Recommended Species
IHC-P 1:200 - 1:1000 Human, Mouse
Properties
Purity Protein A purified
Constituents PBS, Glycerol, BSA
Storage Store at -20°C. Avoid freeze/thaw cycles.
Stability Stable for 12 months from date of receipt/reconstitution.
Target Information

Background

Cell surface proteoglycan that bears both heparan sulfate and chondroitin sulfate and that links the cytoskeleton to the interstitial matrix. Regulates exosome biogenesis in concert with SDCBP and PDCD6IP.

Cellular location

Membrane

Images
IHC-P

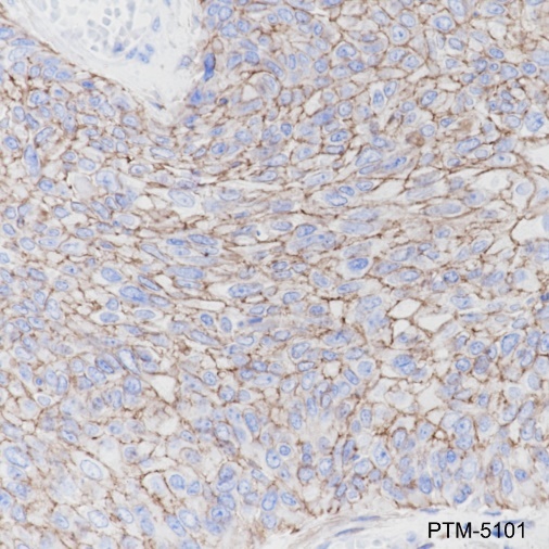
Tissue: Human cervix
Section type: Formalin fixed & Paraffin -embedded section
Retrieval method: High temperature and high pressure
Retrieval buffer: Tris/EDTA buffer, pH 9.0
Primary Ab dilution: 1:1000
Primary Ab incubation: 1 hour at room temperature
Counter stain: Hematoxylin
Description: The brown color represents the positive signal observed with PTM-5101

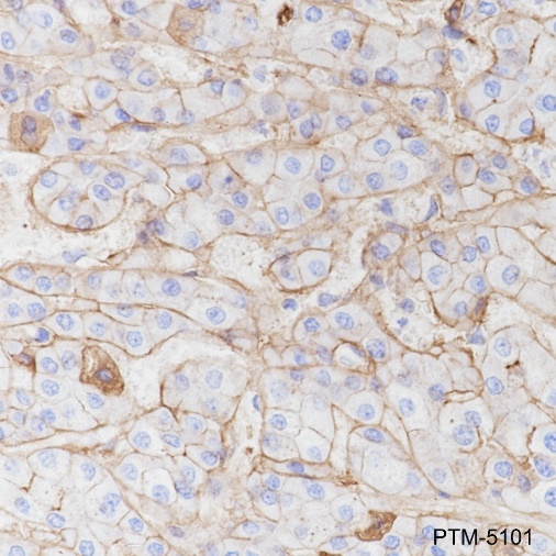
Tissue: Human cervical carcinoma
Section type: Formalin fixed & Paraffin -embedded section
Retrieval method: High temperature and high pressure
Retrieval buffer: Tris/EDTA buffer, pH 9.0
Primary Ab dilution: 1:1000
Primary incubation condition: 1 hour at room temperature
Counter stain: Hematoxylin
Description: The brown color represents the positive signal observed with PTM-5101

Tissue: Human liver cancer
Section type: Formalin fixed & Paraffin -embedded section
Retrieval method: High temperature and high pressure
Retrieval buffer: Tris/EDTA buffer, pH 9.0
Primary Ab dilution: 1:1000
Primary Ab incubation: 1 hour at room temperature
Counter stain: Hematoxylin
Description: The brown color represents the positive signal observed with PTM-5101

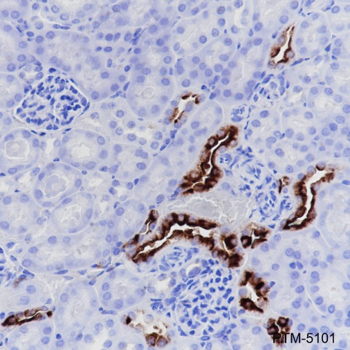
Tissue: Mouse kidney
Section type: Formalin fixed & Paraffin -embedded section
Retrieval method: High temperature and high pressure
Retrieval buffer: Tris/EDTA buffer, pH 9.0
Primary Ab dilution: 1:1000
Primary Ab incubation: 1 hour at room temperature
Counter stain: Hematoxylin
Description: The brown color represents the positive signal observed with PTM-5101

Research Use

For research use only, not for use in diagnostic procedures.