/ EN
Technical Support
| Contact Us
+1 312-802-6843
Technical Support
Contact Us
+1 312-802-6843
/ EN
Recover password
Professional Email
Verification Code
Send Code
Password
Recombinant Rabbit Monoclonal
Anti-Calpain Small Subunit 1 Rabbit mAb
Catalog Number: PTM-5489
$ 290

Clone Number: JRMR-191

Host: Rabbit Clonality: Recombinant Monoclonal

Applications: IHC-P ICC/IF FC

Reactivity: Human

Synonyms: CSS1, CANP small subunit, CDPS, CAPNS, CAPN4, CAPNS1

Product Size
100 μl
Quantity

Shipping: Ambient temperature

Order online or send purchase order to info@ptmbio.com

FAQ Technical Support Protocols

General Information
Isotype IgG
Conjugate Unconjugated
Synonyms CSS1, CANP small subunit, CDPS, CAPNS, CAPN4, CAPNS1
UniProt ID

P04632

Immunogen
MW (kDa) /
Specificity
Product Usage Information
Applications Dilution Recommended Species
IHC-P 1:200 - 1:1000 Human
ICC/IF 1:50 Human
FC 1:50 - 1:100 Human
Properties
Purity Protein A purified
Constituents PBS, Glycerol, BSA
Storage Store at -20°C. Avoid freeze/thaw cycles.
Stability Stable for 12 months from date of receipt/reconstitution.
Target Information

Background

Regulatory subunit of the calcium-regulated non-lysosomal thiol-protease which catalyzes limited proteolysis of substrates involved in cytoskeletal remodeling and signal transduction.

Cellular location

Cytoplasm, Membrane

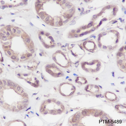
Images
IHC-P

Tissue: Human kidney
Section type: Formalin fixed & Paraffin -embedded section
Retrieval method: High temperature and high pressure
Retrieval buffer: Tris/EDTA buffer, pH 9.0
Primary Ab dilution: 1:1000
Primary Ab incubation: 1 hour at room temperature
Secondary Ab: Anti-Rabbit and Mouse
Polymer HRP (Ready to Use)
Counter stain: Hematoxylin (Blue)
Description: The brown color represents the positive signal observed with PTM-5489

ICC/IF

Cell line: HeLa
Fixative: 4% Paraformaldehyde
Permeabilization: 0.1% TritonX-100
Primary Ab dilution: 1:50
Primary incubation condition: 4°C overnight
Secondary Ab: Goat Anti-Rabbit IgG
Nuclear counter stain: DAPI (Blue)
Description: The green color represents the positive signal observed with PTM-5489

FC

Cell line: HeLa
Fixative: 4% Paraformaldehyde
Permeabilization: 0.1% TritonX-100
Primary Ab dilution: 1:100
Secondary Ab: Goat anti Rabbit IgG
Unlabeled control: Cells without incubation with primary and secondary antibodies (Black line).
Isotype control: Rabbit monoclonal IgG (Blue line).
Description: Line red is the positive signal for PTM-5489

Research Use

For research use only, not for use in diagnostic procedures.