/ EN
Technical Support
| Contact Us
+1 312-802-6843
Technical Support
Contact Us
+1 312-802-6843
/ EN
Recover password
Professional Email
Verification Code
Send Code
Password
Recombinant Rabbit Monoclonal
Anti-FTO Rabbit mAb
Catalog Number: PTM-6922
$ 280

Clone Number: JMMR-3422

Host: Rabbit Clonality: Recombinant Monoclonal

Applications: WB IHC-P

Reactivity: Human

Synonyms: Alpha-ketoglutarate-dependent dioxygenase FTO

Product Size
100 μl
Quantity

Shipping: Ambient temperature

Order online or send purchase order to info@ptmbio.com

FAQ Technical Support Protocols

General Information
Isotype IgG
Conjugate Unconjugated
Synonyms Alpha-ketoglutarate-dependent dioxygenase FTO
UniProt ID

Q9C0B1

Immunogen
MW (kDa) 59
Specificity
Product Usage Information
Applications Dilution Recommended Species
WB 1:1000 Human
IHC-P 1:50 Human
Properties
Purity Protein A purified
Constituents PBS, Glycerol, BSA
Storage Store at -20°C. Avoid freeze/thaw cycles.
Stability Stable for 12 months from date of receipt/reconstitution.
Target Information

Background

FTO is a DNA and RNA demethylase that catalyzes the oxidative demethylation of thymidine and uracil. Among its targets is an mRNA subset involved in regulation of learning, reward behavior, motor functions, and feeding. Loss of the FTO gene in mice leads to postnatal growth retardation and a significant reduction in adipose tissue. Mice deficient in the FTO gene have lean body mass due to increased energy expenditure and systemic activation of sympathetic neurons, while overexpression of FTO in mice leads to increased food intake and results in obesity. These results demonstrate that FTO is functionally involved in energy homeostasis.

Cellular location

Nucleus, Cytoplasm

Images
WB

Blocking buffer: 5% NFDM/TBST
Primary Ab dilution: 1:1000
Primary Ab incubation: 2 hours at room temperature
Secondary Ab: Goat Anti-Rabbit IgGH&L (HRP Conjugate)
Lysate: 1: HEK-293; 2: Caco-2
Protein loading quantity: 20 μg
Exposure time: 60 seconds
Predicted band size: 59 kDa
Observed band size: 59 kDa

IHC-P

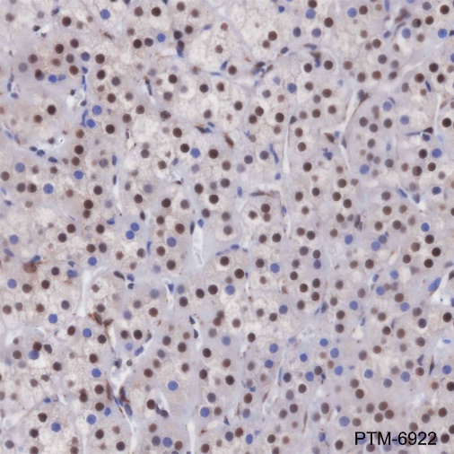
Tissue: Human adrenal gland
Section type: Formalin-fixed & Paraffin-embedded section
Retrieval method: High temperature and high pressure
Retrieval buffer: Tris/EDTA buffer, pH9.0
Primary Ab dilution: 1:50
Primary Ab incubation: 1 hour at room temperature
Secondary Ab: Anti-Rabbit and Mouse Polymer HRP (Ready to Use)
Counter stain: Hematoxylin (Blue)
Description: The brown color represents the positive signal observed with PTM-6922

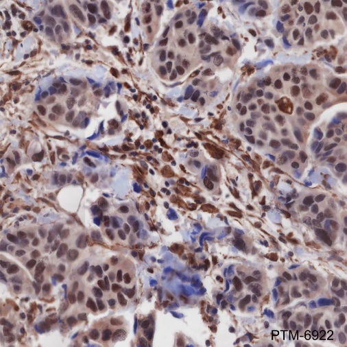
Tissue: Human breast cancer
Section type: Formalin-fixed &Paraffin-embedded section
Retrieval method: High temperature and high pressure
Retrieval buffer: Tris/EDTA buffer, pH9.0
Primary Ab dilution: 1:50
Primary Ab incubation: 1 hour at room temperature
Secondary Ab: Anti-Rabbit and Mouse Polymer HRP (Ready to Use)
Counter stain: Hematoxylin (Blue)
Description: The brown color represents the positive signal observed with PTM-6922

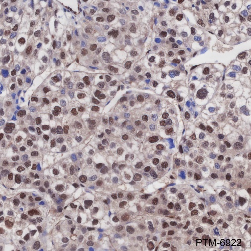
Tissue: Human liver cancer
Section type: Formalin-fixed & Paraffin-embedded section
Retrieval method: High temperature and high pressure
Retrieval buffer: Tris/EDTA buffer, pH9.0
Primary Ab dilution: 1:50
Primary Ab incubation: 1 hour at room temperature
Secondary Ab: Anti-Rabbit and Mouse Polymer HRP (Ready to Use)
Counter stain: Hematoxylin (Blue)
Description: The brown color represents the positive signal observed with PTM-6922

Research Use

For research use only, not for use in diagnostic procedures.