/ EN
Technical Support
| Contact Us
+1 312-802-6843
Technical Support
Contact Us
+1 312-802-6843
/ EN
Recover password
Professional Email
Verification Code
Send Code
Password
Recombinant Rabbit Monoclonal
Anti-HLA-DPA1 Rabbit mAb
Catalog Number: PTM-5262
$ 290

Clone Number: JRMR-234

Host: Rabbit Clonality: Recombinant Monoclonal

Applications: WB IHC-P ICC/IF

Reactivity: Human, Mouse

Synonyms: HLA class II histocompatibility antigen DP alpha 1 chain, DP(W3), DP(W4), HLA-SB alpha chain, MHC class II DP3-alpha, MHC class II DPA1, HLA-DP1A, HLASB

Product Size
100 μl
Quantity

Shipping: Ambient temperature

Order online or send purchase order to info@ptmbio.com

FAQ Technical Support Protocols

General Information
Isotype IgG
Conjugate Unconjugated
Synonyms HLA class II histocompatibility antigen DP alpha 1 chain, DP(W3), DP(W4), HLA-SB alpha chain, MHC class II DP3-alpha, MHC class II DPA1, HLA-DP1A, HLASB
UniProt ID

P20036

Immunogen Synthetic peptide derived from human HLA-DPA1
MW (kDa) 29
Specificity
Product Usage Information
Applications Dilution Recommended Species
WB 1:500 - 1:1000 Mouse
IHC-P 1:200 - 1:1000 Human
ICC/IF 1:50 Human
Properties
Purity Protein A purified
Constituents PBS, Glycerol, BSA
Storage Store at -20°C. Avoid freeze/thaw cycles.
Stability Stable for 12 months from date of receipt/reconstitution.
Target Information

Background

Binds peptides derived from antigens that access the endocytic route of antigen presenting cells (APC) and presents them on the cell surface for recognition by the CD4 T-cells. The peptide binding cleft accommodates peptides of 10-30 residues. The peptides presented by MHC class II molecules are generated mostly by degradation of proteins that access the endocytic route, where they are processed by lysosomal proteases and other hydrolases. Exogenous antigens that have been endocytosed by the APC are thus readily available for presentation via MHC II molecules, and for this reason this antigen presentation pathway is usually referred to as exogenous.

Cellular location

Cytoplasm

Images
WB

Blocking buffer: 5% NFDM/TBST
Primary Ab dilution: 1:1000
Primary Ab incubation: 2 hours at room temperature
Lysate: Mouse spleen
Protein loading quantity: 20 μg
Exposure time: 60 s
Predicted band size: 29 kDa
Observed band size: 33 kDa

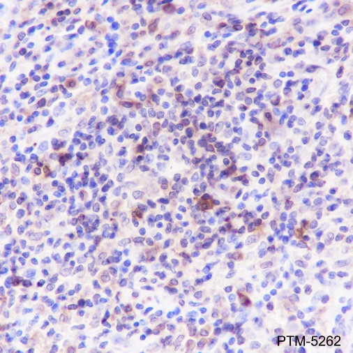
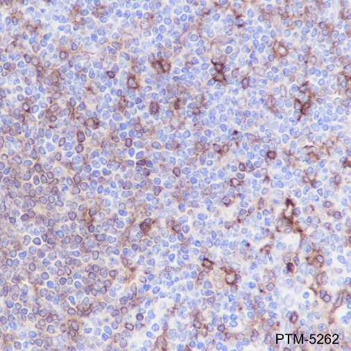
IHC-P

Tissue: Human lymphoma
Section type: Formalin fixed & Paraffin -embedded section
Retrieval method: High temperature and high pressure
Retrieval buffer: Tris/EDTA buffer, pH 9.0
Primary Ab dilution: 1:1000
Primary Ab incubation: 1 hour at room temperature
Counter stain: Hematoxylin
Description: The brown color represents the positive signal observed with PTM-5262

Tissue: Human tonsil
Section type: Formalin fixed & Paraffin -embedded section
Retrieval method: High temperature and high pressure
Retrieval buffer: Tris/EDTA buffer, pH 9.0
Primary Ab dilution: 1:1000
Primary Ab incubation: 1 hour at room temperature
Counter stain: Hematoxylin
Description: The brown color represents the positive signal observed with PTM-5262

ICC/IF

Cell line: Ramos
Fixative: 4% Paraformaldehyde
Permeabilization: 0.1% TritonX-100
Primary Ab dilution: 1:50
Primary incubation condition: 4°C overnight
Nuclear counter stain: DAPI (Blue)
Description: The green color represents the positive signal observed with PTM-5262

Research Use

For research use only, not for use in diagnostic procedures.

References (1)
  • Comparison of proteomic landscape of extracellular vesicles in pleural effusions isolated by three strategies
    Year 2023
    Journal Frontiers in Bioengineering and Biotechnology
    Authors Xue Yao, et al.
    Applications Unspecified
    Reactivity