/ EN
Technical Support
| Contact Us
+1 312-802-6843
Technical Support
Contact Us
+1 312-802-6843
/ EN
Recover password
Professional Email
Verification Code
Send Code
Password
Recombinant Rabbit Monoclonal
Anti-Lamin B1 Rabbit mAb
Catalog Number: PTM-5495
$ 125

Clone Number: 11949

Host: Rabbit Clonality: Recombinant Monoclonal

Applications: WB IHC-P mIHC-P

Reactivity: Human, Mouse, Rat

Synonyms: LMNB1, LMN2, LMNB

Product Size
100 μl
Quantity

Shipping: Ambient temperature

Order online or send purchase order to info@ptmbio.com

FAQ Technical Support Protocols

General Information
Isotype IgG
Conjugate Unconjugated
Synonyms LMNB1, LMN2, LMNB
UniProt ID

P20700

Immunogen Recombinant human Lamin B1 fragment
MW (kDa) 70
Specificity Anti-Lamin B1 Rabbit mAb recognizes endogeneous level of Lamin B1 protein.
Product Usage Information
Applications Dilution Recommended Species
WB 1:500 - 1:1000 Human, Mouse
IHC-P 1:100 - 1:500 Human, Mouse, Rat
mIHC-P 1:100 - 1:500 Human
Properties
Purity Protein A purified
Constituents PBS, Glycerol, BSA
Storage Store at -20°C. Avoid freeze/thaw cycles.
Stability Stable for 12 months from date of receipt/reconstitution.
Target Information

Background

Lamins are components of the nuclear lamina, a fibrous layer on the nucleoplasmic side of the inner nuclear membrane, which is thought to provide a framework for the nuclear envelope and may also interact with chromatin.

Cellular location

Nucleus

Images
WB

Blocking buffer: 5% NFDM/TBST
Primary Ab dilution: 1:1000
Primary Ab incubation: 4°C overnight
Secondary Ab: Goat Anti-Mouse IgG H&L pAb (HRP Conjugate)
Lysate: HeLa, Raw264.7, Jurkat, Mouse spleen
Protein loading quantity: 20 μg
Exposure time: 10 s
Predicted band size: 66 kDa
Observed band size: 70 kDa

IHC-P

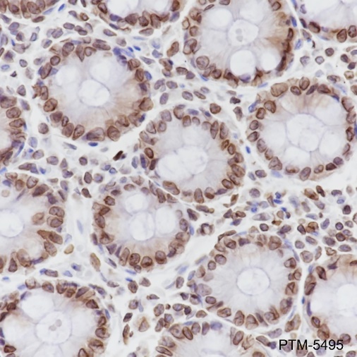
Tissue: Human colon
Section type: Formalin fixed & Paraffin -embedded section
Retrieval method: High temperature and high pressure
Retrieval buffer: Tris/EDTA buffer, pH 9.0
Primary Ab dilution: 1:500
Primary Ab incubation: 1 hour at room temperature
Secondary Ab: Anti-Rabbit and Mouse Polymer HRP (Ready to Use)
Counter stain: Hematoxylin (Blue)
Description: The brown color represents the positive signal observed with PTM-5495

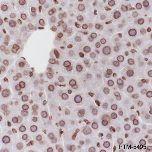
Tissue: Mouse liver
Section type: Formalin fixed & Paraffin -embedded section
Retrieval method: High temperature and high pressure
Retrieval buffer: Tris/EDTA buffer, pH 9.0
Primary Ab dilution: 1:500
Primary Ab incubation: 1 hour at room temperature
Secondary Ab: Anti-Rabbit and Mouse Polymer HRP (Ready to Use)
Counter stain: Hematoxylin (Blue)
Description: The brown color represents the positive signal observed with PTM-5495

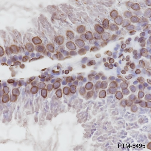
Tissue: Rat testis
Section type: Formalin fixed & Paraffin -embedded section
Retrieval method: High temperature and high pressure
Retrieval buffer: Tris/EDTA buffer, pH 9.0
Primary Ab dilution: 1:500
Primary Ab incubation: 1 hour at room temperature
Secondary Ab: Anti-Rabbit and Mouse Polymer HRP (Ready to Use)
Counter stain: Hematoxylin (Blue)
Description: The brown color represents the positive signal observed with PTM-5495

mIHC-P

Tissue: Human liver carcinoma
Section type: Formalin fixed & paraffin - embedded section
Retrieval method: High temperature and high pressure
Retrieval buffer: Tris/EDTA buffer, pH 9.0. Heat mediated antigen retrieval (Tris/EDTA buffer, pH 9.0, 20 minutes) was used in between rounds of tyramide signal amplification to remove the antibody from the previous round, to avoid any cross-reactivity.
Primary ab dilution: PTM-5130 ( 1:1000 ), PTM-5811 (1:1000 ), PTM-5495(1:500 )
Primary Ab incubation: 90 minutes at room temperature
Secondary ab: Anti-Rabbit and Mouse Polymer HRP (Ready to use)
Nuclear counter stain: DAPI (Blue)
Comment: Color green is the positive signal for CD68 (PTM-5130, TSA-520), color red is the positive signal for Lamin B1 (PTM-5495, TSA570), color yellow is the positive signal for CD34 (PTM-5811, TSA-650). The section was incubated in three rounds of staining; in the order of PTM-5130, PTM-5811, PTM-5495; each using a separate fluorescent tyramide signal amplification system.

Research Use

For research use only, not for use in diagnostic procedures.