/ EN
Technical Support
| Contact Us
+1 312-802-6843
Technical Support
Contact Us
+1 312-802-6843
/ EN
Recover password
Professional Email
Verification Code
Send Code
Password
Recombinant Rabbit Monoclonal
Anti-p53 Rabbit mAb
Catalog Number: PTM-6319
$ 290

Clone Number: JRMR-10779-73

Host: Rabbit Clonality: Recombinant Monoclonal

Applications: WB IHC-P ICC/IF IP

Reactivity: Human

Synonyms: Cellular tumor antigen p53, Antigen NY-CO-13, Phosphoprotein p53, Tumor suppressor p53, TP53, P53

Product Size
100 μl
Quantity

Shipping: Ambient temperature

Order online or send purchase order to info@ptmbio.com

FAQ Technical Support Protocols

General Information
Isotype IgG
Conjugate Unconjugated
Synonyms Cellular tumor antigen p53, Antigen NY-CO-13, Phosphoprotein p53, Tumor suppressor p53, TP53, P53
UniProt ID

P04637

Immunogen Synthetic peptide derived from human p53
MW (kDa) 44
Specificity Anti-p53 Rabbit mAb recognizes endogeneous level of p53 protein.
Product Usage Information
Applications Dilution Recommended Species
WB 1:1000 - 1:5000 Human
IHC-P 1:200 - 1:1000 Human
ICC/IF 1:50 Human
IP 1:50 - 1:100 Human
Properties
Purity Protein A purified
Constituents PBS, Glycerol, BSA
Storage Store at -20°C. Avoid freeze/thaw cycles.
Stability Stable for 12 months from date of receipt/reconstitution.
Target Information

Background

This gene encodes a tumor suppressor protein containing transcriptional activation, DNA binding, and oligomerization domains. The encoded protein responds to diverse cellular stresses to regulate expression of target genes, thereby inducing cell cycle arrest, apoptosis, senescence, DNA repair, or changes in metabolism. Mutations in this gene are associated with a variety of human cancers, including hereditary cancers such as Li-Fraumeni syndrome. Alternative splicing of this gene and the use of alternate promoters result in multiple transcript variants and isoforms. Additional isoforms have also been shown to result from the use of alternate translation initiation codons from identical transcript variants.

Cellular location

Nucleus

Images
WB

Blocking buffer: 5% NFDM/TBST
Primary Ab dilution: 1:5000
Primary Ab incubation: 2 hours at room temperature
Secondary Ab: Goat Anti-Rabbit IgG H&L pAb (HRP Conjugate)
Lysate: 1: HEK293, 2: A431
Protein loading quantity: 20 μg
Exposure time: 60 s
Predicted band size: 44 kDa
Observed band size: 53 kDa

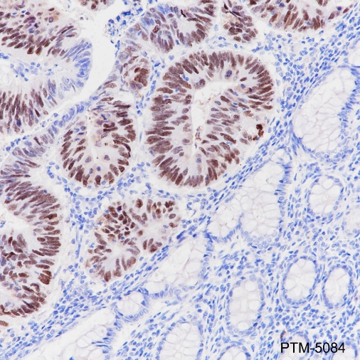
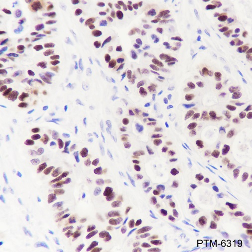
IHC-P

Tissue: Human colon cancer
Section type: Formalin-fixed & Paraffin_x0002_embedded section
Retrieval method: High temperature and high pressure
Retrieval buffer: Tris/EDTA buffer, pH 9.0
Primary Ab dilution: 1:1000
Primary Ab incubation: 1 hour at room temperature
Secondary Ab: Anti-Rabbit and Mouse Polymer HRP (Ready to Use)
Counter stain: Hematoxylin (Blue)
Description: The brown color represents the positive signal observed with PTM-6319

ICC/IF

Cell line: HT-29
Fixative: 100% Ice-cold methanol
Permeabilization: 0.1% TritonX-100
Primary Ab dilution: 1:50
Primary Ab incubation: 4°C overnight
Secondary Ab: Goat Anti-Rabbit IgG
Nuclear counter stain: DAPI (Blue)
Counter stain: Tubulin (Red)
Description: The green color represents the positive signal observed with PTM-6319

Cell line: A431
Fixative: 100% Ice-cold methanol
Permeabilization: 0.1% TritonX-100
Primary Ab dilution: 1:50
Primary Ab incubation: 4°C overnight
Secondary Ab: Goat Anti-Rabbit IgG
Nuclear counter stain: DAPI (Blue)
Counter stain: Tubulin (Red)
Description: The green color represents the positive signal observed with PTM-6319

IP

IP of HEK-293 cells extracts
IP Ab incubation: PTM- 6319, 1:100 dilution, 4°C overnight
WB Primary Ab incubation: PTM6319, room temperature 2h, 1:1000 dilution
Secondary Ab: Anti-Rabbit IgG for IP (HRP)
Blocking buffer: 5% NFDM/TBST
Dilution buffer: 5% NFDM/TBST
1: 5% Input
2: IP with PTM-6319
3: IP with Rabbit monoclonal IgG Isotype
Observed MW: 53 kDa
Exposure time: 30 s

Research Use

For research use only, not for use in diagnostic procedures.

Recommended Products
  • View More Images(1)
    $ 290
    Recombinant Rabbit Monoclonal
    Anti-p53 Rabbit mAb
    Catalog #
    PTM-5084
    Host
    Rabbit
    Clonality
    Recombinant Monoclonal
    Conjugate
    Unconjugated
    Reactivity
    Human
    Applications:
    WB IHC-P ICC/IF FC IAP IP ChIP mIHC-P CUT&Tag
  • View More Images(1)
    $ 290
    Recombinant Rabbit Monoclonal
    Anti-p53 Rabbit mAb
    Catalog #
    PTM-6517
    Host
    Rabbit
    Clonality
    Recombinant Monoclonal
    Conjugate
    Unconjugated
    Reactivity
    Human
    Applications:
    WB IHC-P ICC/IF FC IAP IP ChIP mIHC-P CUT&Tag
  • View More Images(1)
    $ 280
    Recombinant
    Anti-p53 Mouse mAb
    Catalog #
    PTM-6466
    Host
    Mouse
    Clonality
    Recombinant Monoclonal
    Conjugate
    Unconjugated
    Reactivity
    Human, Monkey
    Applications:
    WB IHC-P ICC/IF FC IAP IP ChIP mIHC-P CUT&Tag
  • View More Images(3)
    $ 380
    Anti-Acetyl-p53 (Lys139) Mouse mAb
    Catalog #
    PTM-185
    Host
    Mouse
    Clonality
    Monoclonal
    Conjugate
    Unconjugated
    Reactivity
    Human, Mouse, Rat
    Applications:
    WB IHC-P ICC/IF FC IAP IP ChIP mIHC-P CUT&Tag
  • View More Images(2)
    $ 310
    Recombinant
    Anti-Phospho-p53 (Ser15) Mouse mAb
    Catalog #
    PTM-6047
    Host
    Mouse
    Clonality
    Recombinant Monoclonal
    Conjugate
    Unconjugated
    Reactivity
    Human
    Applications:
    WB IHC-P ICC/IF FC IAP IP ChIP mIHC-P CUT&Tag
  • View More Images(1)
    $ 400
    Recombinant Rabbit Monoclonal
    Anti-Phospho-p53 (Thr377) Rabbit mAb
    Catalog #
    PTM-7425
    Host
    Rabbit
    Clonality
    Recombinant Monoclonal
    Conjugate
    Unconjugated
    Reactivity
    Human
    Applications:
    WB IHC-P ICC/IF FC IAP IP ChIP mIHC-P CUT&Tag
References (3)
  • Chemical Proteomic Profiling of Lysine Benzoylation
    Year 2026
    Journal JOURNAL OF PROTEOME RESEARCH
    Authors Xiaohan Song, et al.
    Applications Unspecified
    Reactivity
  • Diabetes Advances Cardiomyocyte Senescence Through Interfering Rnd3 Expression and Function
    Year 2025
    Journal AGING CELL
    Authors Linxu Wu, et al.
    Applications Unspecified
    Reactivity
  • SIRT3 differentially regulates lysine benzoylation from SIRT2 in mammalian cells
    Year 2024
    Journal iScience
    Authors Panpan Peng, et al.
    Applications Unspecified
    Reactivity