/ EN
Technical Support
| Contact Us
+1 312-802-6843
Technical Support
Contact Us
+1 312-802-6843
/ EN
Recover password
Professional Email
Verification Code
Send Code
Password
Anti-Acetyl-Histone H3 (Lys14) Mouse mAb
Catalog Number: PTM-157
References (12)
$ 350

Clone Number: 1A4

Host: Mouse Clonality: Monoclonal

Applications: WB IHC-P ICC/IF IP ChIP

Reactivity: Human, Mouse, Rat

Synonyms: H3K14ac

Product Size
100 μl
Quantity

Shipping: Ambient temperature

Order online or send purchase order to info@ptmbio.com

FAQ Technical Support Protocols

General Information
Isotype IgG
Conjugate Unconjugated
Synonyms H3K14ac
UniProt ID

P68431

Immunogen Acetylated human histone H3 (Lys14) peptide
MW (kDa) 15
Specificity Anti-Acetyl-Histone H3 (Lys14) Mouse mAb detects histone H3 only when it is acetylated at Lys14.
Product Usage Information
Applications Dilution Recommended Species
WB 1:500 - 1:2000 Human, Mouse, Rat
IHC-P 1:50 - 1:200 Human
ICC/IF 1:50 - 1:200 Human
IP 1:25 Human
ChIP 1:25 Human
Properties
Purity Protein G and immunogen affinity purified
Constituents PBS, Glycerol, BSA
Storage Store at -20°C. Avoid freeze/thaw cycles.
Stability Stable for 12 months from date of receipt/reconstitution.
Target Information

Background

Histone post-translational modifications (PTMs), known as the “histone code”, are key mechanisms of epigenetics that modulate chromatin structures. The PTMs on histone including acetylation, methylation, phosphorylation, and novel acylations directly affect the accessibility of chromatin to transcription factors and other epigenetic regulators, altering genome stability and gene transcription. Histone acetylation, tightly controlled by the opposing action of histone acetyltransferases (HATs) and histone deacetylases (HDACs), occurs primarily at lysine residues on the N-terminal tails of histones H2A (Lys5, 9, and 15), H2B (Lys5, 12, 15, 16, and 20), H3 (Lys4, 9, 14, 18, 23, 27, and 36), and H4 (Lys5, 8, 12, 16, and 20), and plays vital roles in the regulation of gene expression, DNA damage repair, chromatin dynamics, etc.

Cellular location

Nucleus

Images
Dot Blot

Peptide amount: 1 ng, 4 ng, 16 ng
Blocking buffer: 5% NFDM/TBST
Primary Ab dilution: 1:1000
Primary Ab incubation condition: 2 hours at room temperature
Secondary Ab: Goat Anti-Mouse IgG H&L pAb (HRP Conjugate)
Exposure time: 60 seconds
The list of peptides used in the experiment is provided below.
Lane 1: H3K14 acetyl. Lane 2: H3K14 propionyl.
Lane 3: H3K14 succinyl. Lane 4: H3K18 acetyl.
Lane 5: H3K14 unmodified.

WB

Lysates: (-) HeLa cells; (+) HeLa cells treated with 30 mM sodium butyrate for 4 hours
Protein loading amount: 20 μg
Blocking buffer: 5% NFDM/TBST
Primary Ab dilution: 1:2000
Primary Ab incubation: 2 hours at room temperature
Secondary Ab: Goat Anti-Mouse IgG H&L pAb (HRP Conjugate)
Exposure time: 60 seconds
Predicted band size: 15 kDa
Observed band size: 15 kDa

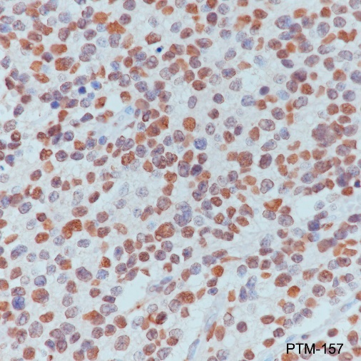
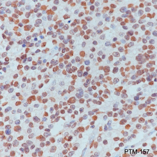
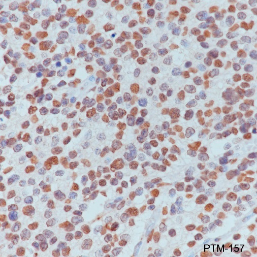
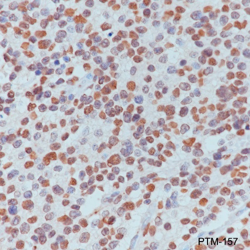
IHC-P

Tissue: Human neuroblastoma
Section type: Formalin-fixed & paraffin-embedded section
Retrieval method: High temperature and high pressure
Retrieval buffer: Tris/EDTA buffer, pH 9.0
Primary Ab dilution: 1:200
Primary Ab incubation: 1 hour at room temperature
Secondary Ab: Anti-Rabbit and Mouse Polymer HRP (Ready to Use)
Counter stain: Hematoxylin (blue)
Description: The brown color represents the positive signal observed with PTM-157.

ICC/IF

Samples: HeLa cells
Fixative: 4% Paraformaldehyde
Permeabilization: 0.1% Triton X-100
Primary Ab dilution: 1:200
Primary Ab incubation: 4°C overnight
Secondary Ab: Goat Anti-Mouse IgG
Nuclear counter stain: DAPI (blue)
Description: The green color represents the positive signal observed with PTM-157.

IP

IP of whole cell lysates from HeLa cells treated with 30 mM sodium butyrate for 4 hours
Lane 1: 10% Input
Lane 2: IP with Mouse Monoclonal IgG Isotype Control
Lane 3: IP with PTM-157
IP Ab incubation: 1:25 dilution, 4°C overnight
Blocking buffer: 5% NFDM/TBST
Dilution buffer: 5% NFDM/TBST
WB Primary Ab incubation: PTM-157, 1:2000 dilution, 2 hours at room temperature
Secondary Ab: Goat Anti-Mouse IgG for IP (HRP Conjugate)
Exposure time: 60 seconds
Predicted band size: 15 kDa
Observed band size: 17 kDa

ChIP

Sample: HeLa cells
Cross-linking conditions: no cross-linking
Amount of chromatin per IP: 5×106 cells
Amount of Ab per IP: 1:25 (2 μL)
Beads type and amount per IP: 50 μL of Protein A/G MagBeads
Description: Chromatin immunoprecipitations were performed with 1 μg of normal mouse IgG as a negative control. The immunoprecipitated DNA was quantified by real-time PCR using primers specific for the human GAPDH CDS, GAPDH promoter, RPL30 exon 3, and MyoD1 exon 1 regions. The data are presented as enrichment of each sample relative to the total amount of input chromatin at each amplicon.

Research Use

For research use only, not for use in diagnostic procedures.

Recommended Products
  • View More Images(8)
    $ 330
    Recombinant Rabbit Monoclonal
    Anti-Acetyl-Histone H3 (Lys14) Rabbit mAb
    Catalog #
    PTM-113RM
    Host
    Rabbit
    Clonality
    Recombinant Monoclonal
    Conjugate
    Unconjugated
    Reactivity
    Human, Mouse, Rat
    Applications:
    WB IHC-P ICC/IF FC IAP IP ChIP mIHC-P CUT&Tag
  • View More Images(4)
    $ 135
    Goat Anti-Mouse IgG H&L (HRP Conjugate)
    Catalog #
    PTM-7168
    Host
    Goat
    Clonality
    Polyclonal
    Conjugate
    HRP
    Reactivity
    Mouse
    Applications:
    WB IHC-P ICC/IF FC IAP IP ChIP mIHC-P CUT&Tag
  • View More Images(1)
    $ 285
    Recombinant
    Anti-GCN5 Mouse mAb
    Catalog #
    PTM-5115
    Host
    Mouse
    Clonality
    Recombinant Monoclonal
    Conjugate
    Unconjugated
    Reactivity
    Human, Mouse, Rat
    Applications:
    WB IHC-P ICC/IF FC IAP IP ChIP mIHC-P CUT&Tag
  • View More Images(2)
    $ 285
    Recombinant Rabbit Monoclonal
    Anti-PCAF Rabbit mAb
    Catalog #
    PTM-5711
    Host
    Rabbit
    Clonality
    Recombinant Monoclonal
    Conjugate
    Unconjugated
    Reactivity
    Human
    Applications:
    WB IHC-P ICC/IF FC IAP IP ChIP mIHC-P CUT&Tag
  • View More Images(1)
    $ 280
    Recombinant
    Anti-BRG1 Mouse mAb
    Catalog #
    PTM-5826
    Host
    Mouse
    Clonality
    Recombinant Monoclonal
    Conjugate
    Unconjugated
    Reactivity
    Human, Rat
    Applications:
    WB IHC-P ICC/IF FC IAP IP ChIP mIHC-P CUT&Tag
  • View More Images(4)
    $ 290
    Recombinant Rabbit Monoclonal
    Anti-ELP3 Rabbit mAb
    Catalog #
    PTM-5980
    Host
    Rabbit
    Clonality
    Recombinant Monoclonal
    Conjugate
    Unconjugated
    Reactivity
    Human, Mouse, Rat
    Applications:
    WB IHC-P ICC/IF FC IAP IP ChIP mIHC-P CUT&Tag
  • View More Images(3)
    $ 290
    Recombinant Rabbit Monoclonal
    Anti-SIRT1 Rabbit mAb
    Catalog #
    PTM-5676
    Host
    Rabbit
    Clonality
    Recombinant Monoclonal
    Conjugate
    Unconjugated
    Reactivity
    Human
    Applications:
    WB IHC-P ICC/IF FC IAP IP ChIP mIHC-P CUT&Tag
  • View More Images(2)
    $ 420
    Anti-Propionyl-Histone H3 (Lys14) Mouse mAb
    Catalog #
    PTM-215
    Host
    Mouse
    Clonality
    Monoclonal
    Conjugate
    Unconjugated
    Reactivity
    Human, Mouse, Rat
    Applications:
    WB IHC-P ICC/IF FC IAP IP ChIP mIHC-P CUT&Tag
  • View More Images(4)
    $ 435
    Recombinant Rabbit Monoclonal
    Anti-Butyryl-Histone H3 (Lys14) Rabbit mAb
    Catalog #
    PTM-334RM
    Host
    Rabbit
    Clonality
    Monoclonal
    Conjugate
    Unconjugated
    Reactivity
    Human, Mouse, Rat
    Applications:
    WB IHC-P ICC/IF FC IAP IP ChIP mIHC-P CUT&Tag
  • View More Images(3)
    $ 435
    Anti-Succinyl-Histone H3 (Lys14) Mouse mAb
    Catalog #
    PTM-421
    Host
    Mouse
    Clonality
    Monoclonal
    Conjugate
    Unconjugated
    Reactivity
    Human, Mouse, Rat
    Applications:
    WB IHC-P ICC/IF FC IAP IP ChIP mIHC-P CUT&Tag
  • View More Images(8)
    $ 420
    Recombinant Rabbit Monoclonal
    Anti-Crotonyl-Histone H3 (Lys14) Rabbit mAb
    Catalog #
    PTM-535RM
    Host
    Rabbit
    Clonality
    Recombinant Monoclonal
    Conjugate
    Unconjugated
    Reactivity
    Human, Mouse, Rat
    Applications:
    WB IHC-P ICC/IF FC IAP IP ChIP mIHC-P CUT&Tag
  • View More Images(7)
    $ 330
    Recombinant Rabbit Monoclonal
    Anti-Dimethyl-Histone H3 (Lys14) Rabbit mAb
    Catalog #
    PTM-640RM
    Host
    Rabbit
    Clonality
    Recombinant Monoclonal
    Conjugate
    Unconjugated
    Reactivity
    Human, Mouse, Rat
    Applications:
    WB IHC-P ICC/IF FC IAP IP ChIP mIHC-P CUT&Tag
  • View More Images(2)
    $ 320
    Anti-Trimethyl-Histone H3 (Lys14) Mouse mAb
    Catalog #
    PTM-646
    Host
    Mouse
    Clonality
    Monoclonal
    Conjugate
    Unconjugated
    Reactivity
    Human, Mouse, Rat
    Applications:
    WB IHC-P ICC/IF FC IAP IP ChIP mIHC-P CUT&Tag
  • View More Images(3)
    $ 420
    Recombinant Rabbit Monoclonal
    Anti-2-Hydroxyisobutyryl-Histone H3 (Lys14) Rabbit mAb
    Catalog #
    PTM-841RM
    Host
    Rabbit
    Clonality
    Recombinant Monoclonal
    Conjugate
    Unconjugated
    Reactivity
    Human, Mouse, Rat
    Applications:
    WB IHC-P ICC/IF FC IAP IP ChIP mIHC-P CUT&Tag
  • View More Images(5)
    $ 420
    Recombinant Rabbit Monoclonal
    Anti-L-Lactyl-Histone H3 (Lys14) Rabbit mAb
    Catalog #
    PTM-1414RM
    Host
    Rabbit
    Clonality
    Recombinant Monoclonal
    Conjugate
    Unconjugated
    Reactivity
    Human, Mouse, Rat
    Applications:
    WB IHC-P ICC/IF FC IAP IP ChIP mIHC-P CUT&Tag
References (12)
  • BRD3 PROTAC degrader targets H3K18ac to alleviate retinal microglia-driven uveitis
    Year 2026
    Journal iScience
    Authors Zhi Zhang, et al.
    Applications Unspecified
    Reactivity
  • Epigenetic regulation of cardiac tissue development by lysine lactylation
    Year 2025
    Journal hLife
    Authors Xiaodong Luan, et al.
    Applications Unspecified
    Reactivity
  • Brucella effector protein BspF manipulates the host cell autophagy by acetylating SNAP291
    Year 2025
    Journal Journal of Integrative Agriculture
    Authors Ruitong Shen, et al.
    Applications WB
    Reactivity
  • Amelioration of nonalcoholic fatty liver disease by inhibiting the deubiquitylating enzyme RPN11
    Year 2024
    Journal Cell Metabolism
    Authors Bing Zhou, et al.
    Applications Unspecified
    Reactivity
  • Diverse modes of H3K36me3-guided nucleosomal deacetylation by Rpd3S
    Year 2023
    Journal NATURE
    Authors Guan Haipeng, et al.
    Applications Unspecified
    Reactivity
  • An Integrated Approach for Combinatorial Readout of Dual Histone Modifications by Epigenetic Tandem Domains
    Year 2020
    Journal ANALYTICAL CHEMISTRY
    Authors Pu Chen, et al.
    Applications Unspecified
    Reactivity
  • BcRPD3-Mediated Histone Deacetylation Is Involved in Growth and Pathogenicity of Botrytis cinerea
    Year 2020
    Journal Frontiers in Microbiology
    Authors Zhang Ning, et al.
    Applications Unspecified
    Reactivity
  • Cadmium inhibits lysine acetylation and succinylation inducing testicular injury of mouse during development
    Year 2018
    Journal TOXICOLOGY LETTERS
    Authors Qiangzhen Yang, et al.
    Applications Unspecified
    Reactivity
  • Cell Lysate Microarray for Mapping the Network of Genetic Regulators for Histone Marks
    Year 2018
    Journal MOLECULAR & CELLULAR PROTEOMICS
    Authors Li Cheng, et al.
    Applications WB, IP
    Reactivity
  • Competitive Inhibition of Lysine Acetyltransferase 2B by a Small Motif of the Adenoviral Oncoprotein E1A *
    Year 2016
    Journal JOURNAL OF BIOLOGICAL CHEMISTRY
    Authors Shasha Shi, et al.
    Applications Unspecified
    Reactivity
  • The Aspergillus flavus Histone Acetyltransferase AflGcnE Regulates Morphogenesis, Aflatoxin Biosynthesis, and Pathogenicity
    Year 2016
    Journal Frontiers in Microbiology
    Authors Lan Huahui, et al.
    Applications Unspecified
    Reactivity
  • Human borna disease virus infection impacts host proteome and histone lysine acetylation in human oligodendroglia cells
    Year 2014
    Journal VIROLOGY
    Authors Xia Liu, et al.
    Applications Unspecified
    Reactivity