/ EN
Technical Support
| Contact Us
+1 312-802-6843
Technical Support
Contact Us
+1 312-802-6843
/ EN
Recover password
Professional Email
Verification Code
Send Code
Password
Anti-Acetyl-Histone H4 (Lys12) Mouse mAb
Catalog Number: PTM-165
References (7)
$ 350

Clone Number: 9A1

Host: Mouse Clonality: Monoclonal

Applications: WB IHC-P ICC/IF

Reactivity: Human, Mouse, Rat

Synonyms: H4K12ac

Product Size
100 μl
Quantity

Shipping: Ambient temperature

Order online or send purchase order to info@ptmbio.com

FAQ Technical Support Protocols

General Information
Isotype IgG
Conjugate Unconjugated
Synonyms H4K12ac
UniProt ID

P62805

Immunogen Acetylated human histone H4 (Lys12) peptide
MW (kDa) 11
Specificity Anti-Acetyl-Histone H4 (Lys12) Mouse mAb detects histone H4 only when it is acetylated at Lys12.
Product Usage Information
Applications Dilution Recommended Species
WB 1:500 - 1:2000 Human, Mouse, Rat
IHC-P 1:50 - 1:200 Human
ICC/IF 1:50 - 1:100 Human
Properties
Purity Protein G and immunogen affinity purified
Constituents PBS, Glycerol, BSA
Storage Store at -20°C. Avoid freeze/thaw cycles.
Stability Stable for 12 months from date of receipt/reconstitution.
Target Information

Background

Histone post-translational modifications (PTMs), known as the “histone code”, are key mechanisms of epigenetics that modulate chromatin structures. The PTMs on histone including acetylation, methylation, phosphorylation, and novel acylations directly affect the accessibility of chromatin to transcription factors and other epigenetic regulators, altering genome stability and gene transcription. Histone acetylation, tightly controlled by the opposing action of histone acetyltransferases (HATs) and histone deacetylases (HDACs), occurs primarily at lysine residues on the N-terminal tails of histones H2A (Lys5, 9, and 15), H2B (Lys5, 12, 15, 16, and 20), H3 (Lys4, 9, 14, 18, 23, 27, and 36), and H4 (Lys5, 8, 12, 16, and 20), and plays vital roles in the regulation of gene expression, DNA damage repair, chromatin dynamics, etc.

Cellular location

Nucleus

Images
ELISA

Acetyl-Histone H4 (Lys12) mouse mAb (PTM-165) specificity was determined by peptide ELISA. The graph depicts the binding of the antibody to pre-coated acetyl-histone H4 (Lys12) peptide in the presence of increasing concentrations of various competitor peptides. As shown, only the acetyl-histone H4 (Lys12) peptide competed away binding of the antibody.

WB

Lysates: (-) HeLa cells; (+) HeLa cells treated with 30 mM sodium butyrate for 4 hours
Protein loading amount: 20 μg
Blocking buffer: 5% NFDM/TBST
Primary Ab dilution: 1:2000
Primary Ab incubation: 2 hours at room temperature
Secondary Ab: Goat Anti-Mouse IgG H&L pAb (HRP Conjugate)
Exposure time: 60 seconds
Predicted band size: 11 kDa
Observed band size: 11 kDa

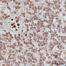
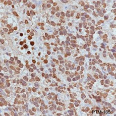
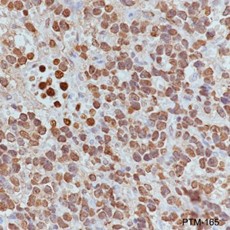
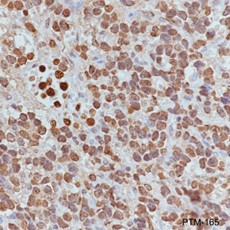
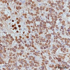
IHC-P

Tissue: Human neuroblastoma
Section type: Formalin-fixed & paraffin-embedded section
Retrieval method: High temperature and high pressure
Retrieval buffer: Tris/EDTA buffer, pH 9.0
Primary Ab dilution: 1:200
Primary Ab incubation: 1 hour at room temperature
Secondary Ab: Anti-Rabbit and Mouse Polymer HRP (Ready to Use)
Counter stain: Hematoxylin (blue)
Description: The brown color represents the positive signal observed with PTM-165.

ICC/IF

Samples: HeLa cells
Fixative: 4% Paraformaldehyde
Permeabilization: 0.1% Triton X-100
Primary Ab dilution: 1:100
Primary Ab incubation: 4°C overnight
Secondary Ab: Goat Anti-Mouse IgG
Counter stain: Tubulin (red)
Description: The green color represents the positive signal observed with PTM-165.

Research Use

For research use only, not for use in diagnostic procedures.

Recommended Products
  • View More Images(4)
    $ 360
    Anti-Acetyl-Histone H4 (Lys12) Rabbit pAb
    Catalog #
    PTM-121
    Host
    Rabbit
    Clonality
    Polyclonal
    Conjugate
    Unconjugated
    Reactivity
    Human, Mouse, Rat
    Applications:
    WB IHC-P ICC/IF FC IAP IP ChIP mIHC-P CUT&Tag
  • View More Images(7)
    $ 340
    Recombinant Rabbit Monoclonal
    Anti-Acetyl-Histone H4 (Lys12) Rabbit mAb
    Catalog #
    PTM-121RM
    Host
    Rabbit
    Clonality
    Recombinant Monoclonal
    Conjugate
    Unconjugated
    Reactivity
    Human, Mouse, Rat
    Applications:
    WB IHC-P ICC/IF FC IAP IP ChIP mIHC-P CUT&Tag
  • View More Images(6)
    $ 320
    Recombinant
    Anti-Acetyl-Histone H4 (Lys12) Mouse mAb
    Catalog #
    PTM-192
    Host
    Mouse
    Clonality
    Recombinant Monoclonal
    Conjugate
    Unconjugated
    Reactivity
    Human, Mouse, Rat
    Applications:
    WB IHC-P ICC/IF FC IAP IP ChIP mIHC-P CUT&Tag
  • View More Images(4)
    $ 135
    Goat Anti-Mouse IgG H&L (HRP Conjugate)
    Catalog #
    PTM-7168
    Host
    Goat
    Clonality
    Polyclonal
    Conjugate
    HRP
    Reactivity
    Mouse
    Applications:
    WB IHC-P ICC/IF FC IAP IP ChIP mIHC-P CUT&Tag
  • View More Images(4)
    $ 280
    Recombinant
    Anti-HAT1 Mouse mAb
    Catalog #
    PTM-5195
    Host
    Mouse
    Clonality
    Recombinant Monoclonal
    Conjugate
    Unconjugated
    Reactivity
    Human, Mouse, Rat
    Applications:
    WB IHC-P ICC/IF FC IAP IP ChIP mIHC-P CUT&Tag
  • View More Images(1)
    $ 285
    Recombinant
    Anti-GCN5 Mouse mAb
    Catalog #
    PTM-5115
    Host
    Mouse
    Clonality
    Recombinant Monoclonal
    Conjugate
    Unconjugated
    Reactivity
    Human, Mouse, Rat
    Applications:
    WB IHC-P ICC/IF FC IAP IP ChIP mIHC-P CUT&Tag
  • View More Images(5)
    $ 420
    Anti-Propionyl-Histone H4 (Lys12) Mouse mAb
    Catalog #
    PTM-209
    Host
    Mouse
    Clonality
    Monoclonal
    Conjugate
    Unconjugated
    Reactivity
    Human, Mouse, Rat
    Applications:
    WB IHC-P ICC/IF FC IAP IP ChIP mIHC-P CUT&Tag
  • View More Images(2)
    $ 425
    Anti-Butyryl-Histone H4 (Lys12) Mouse mAb
    Catalog #
    PTM-314
    Host
    Mouse
    Clonality
    Monoclonal
    Conjugate
    Unconjugated
    Reactivity
    Human, Mouse, Rat
    Applications:
    WB IHC-P ICC/IF FC IAP IP ChIP mIHC-P CUT&Tag
  • View More Images(3)
    $ 420
    Anti-Crotonyl-Histone H4 (Lys12) Mouse mAb
    Catalog #
    PTM-530
    Host
    Mouse
    Clonality
    Monoclonal
    Conjugate
    Unconjugated
    Reactivity
    Human, Mouse, Rat, Monkey
    Applications:
    WB IHC-P ICC/IF FC IAP IP ChIP mIHC-P CUT&Tag
  • View More Images(8)
    $ 380
    Recombinant Rabbit Monoclonal
    Anti-Monomethyl-Histone H4 (Lys12) Rabbit mAb
    Catalog #
    PTM-685RM
    Host
    Rabbit
    Clonality
    Recombinant Monoclonal
    Conjugate
    Unconjugated
    Reactivity
    Human, Mouse, Rat
    Applications:
    WB IHC-P ICC/IF FC IAP IP ChIP mIHC-P CUT&Tag
  • View More Images(4)
    $ 420
    Recombinant Rabbit Monoclonal
    Anti-β-Hydroxybutyryl-Histone H4 (Lys12) Rabbit mAb
    Catalog #
    PTM-1206RM
    Host
    Rabbit
    Clonality
    Recombinant Monoclonal
    Conjugate
    Unconjugated
    Reactivity
    Human
    Applications:
    WB IHC-P ICC/IF FC IAP IP ChIP mIHC-P CUT&Tag
  • View More Images(8)
    $ 435
    Recombinant Rabbit Monoclonal
    Anti-L-Lactyl-Histone H4 (Lys12) Rabbit mAb
    Catalog #
    PTM-1411RM
    Host
    Rabbit
    Clonality
    Recombinant Monoclonal
    Conjugate
    Unconjugated
    Reactivity
    Human, Mouse, Rat
    Applications:
    WB IHC-P ICC/IF FC IAP IP ChIP mIHC-P CUT&Tag
  • View More Images(8)
    $ 320
    Recombinant Rabbit Monoclonal
    Anti-Acetyllysine Rabbit mAb
    Catalog #
    PTM-105RM
    Host
    Rabbit
    Clonality
    Recombinant Monoclonal
    Conjugate
    Unconjugated
    Reactivity
    All
    Applications:
    WB IHC-P ICC/IF FC IAP IP ChIP mIHC-P CUT&Tag
  • View More Images(1)
    $ 1,800
    Recombinant Rabbit Monoclonal
    Anti-Acetyllysine Antibody Conjugated Agarose Beads
    Catalog #
    PTM-104
    Host
    /
    Clonality
    /
    Conjugate
    Agarose
    Reactivity
    All
    Applications:
    WB IHC-P ICC/IF FC IAP IP ChIP mIHC-P CUT&Tag
References (7)
  • Epigenetic regulation of cardiac tissue development by lysine lactylation
    Year 2025
    Journal hLife
    Authors Xiaodong Luan, et al.
    Applications ChIP-Seq
    Reactivity
  • FolSas2 is a regulator of early effector gene expression during Fusarium oxysporum infection
    Year 2024
    Journal NEW PHYTOLOGIST
    Authors Limin Song, et al.
    Applications WB
    Reactivity
  • Sirtuin 1/sirtuin 3 are robust lysine delactylases and sirtuin 1-mediated delactylation regulates glycolysis
    Year 2024
    Journal iScience
    Authors Runhua Du, et al.
    Applications Unspecified
    Reactivity
  • Insight into mechanisms of pig lncRNA FUT3-AS1 regulating E. coli F18-bacterial diarrhea
    Year 2022
    Journal PLoS Pathogens
    Authors Zhengchang Wu, et al.
    Applications WB, ChIP
    Reactivity
  • Multi-omics analyses reveal the mechanisms of Arsenic-induced male reproductive toxicity in mice
    Year 2021
    Journal JOURNAL OF HAZARDOUS MATERIALS
    Authors Zijun Peng, et al.
    Applications Unspecified
    Reactivity
  • miR-15a-5p inhibits metastasis and lipid metabolism by suppressing histone acetylation in lung cancer
    Year 2020
    Journal FREE RADICAL BIOLOGY AND MEDICINE
    Authors Yinyun Ni, et al.
    Applications WB, ChIP-qPCR
    Reactivity
  • Cadmium inhibits lysine acetylation and succinylation inducing testicular injury of mouse during development
    Year 2018
    Journal TOXICOLOGY LETTERS
    Authors Qiangzhen Yang, et al.
    Applications Unspecified
    Reactivity