/ EN
Technical Support
| Contact Us
+1 312-802-6843
Technical Support
Contact Us
+1 312-802-6843
/ EN
Recover password
Professional Email
Verification Code
Send Code
Password
Recombinant Rabbit Monoclonal
Anti-Acetyl-Histone H4 (Lys5/8/12/16) Mouse mAb
Catalog Number: PTM-189
References (2)
$ 335

Clone Number: 13243

Host: Mouse Clonality: Recombinant Monoclonal

Applications: WB IHC-P ICC/IF

Reactivity: Human, Mouse, Rat

Synonyms: H4K5/8/12/16ac

Product Size
100μl
Quantity

Shipping: Ambient temperature

Order online or send purchase order to info@ptmbio.com

FAQ Technical Support Protocols

General Information
Isotype IgG
Conjugate Unconjugated
Synonyms H4K5/8/12/16ac
UniProt ID

P62805

Immunogen Acetylated human histone H4 peptide. Further details are proprietary to PTM BIO.
MW (kDa) 11
Specificity Anti-Acetyl-Histone H4 (Lys5/8/12/16) Mouse mAb detects histone H4 only when it is acetylated at Lys5, 8, 12, and 16.
Product Usage Information
Applications Dilution Recommended Species
WB 1:500 - 1:2000 Human, Mouse, Rat
IHC-P 1:100 - 1:500 Human
ICC/IF 1:50 - 1:100 Human
Properties
Purity Protein G purified
Constituents PBS, Glycerol, BSA
Storage Store at -20°C. Avoid freeze/thaw cycles.
Stability Stable for 12 months from date of receipt/reconstitution.
Target Information

Background

Histone post-translational modifications (PTMs), known as the “histone code”, are key mechanisms of epigenetics that modulate chromatin structures. The PTMs on histone including acetylation, methylation, phosphorylation, and novel acylations directly affect the accessibility of chromatin to transcription factors and other epigenetic regulators, altering genome stability and gene transcription. Histone acetylation, tightly controlled by the opposing action of histone acetyltransferases (HATs) and histone deacetylases (HDACs), occurs primarily at lysine residues on the N-terminal tails of histones H2A (Lys5, 9, and 15), H2B (Lys5, 12, 15, 16, and 20), H3 (Lys4, 9, 14, 18, 23, 27, and 36), and H4 (Lys5, 8, 12, 16, and 20), and plays vital roles in the regulation of gene expression, DNA damage repair, chromatin dynamics, etc.

Cellular location

Nucleus

Images
WB

Lysates: (-) HeLa cells; (+) HeLa cells treated with 1.65 μM trichostatin A for 4 hours
Protein loading amount: 20 μg
Blocking buffer: 5% NFDM/TBST
Primary Ab dilution: 1:2000
Primary Ab incubation: 2 hours at room temperature
Secondary Ab: Goat Anti-Mouse IgG H&L pAb (HRP Conjugate)
Exposure time: 30 seconds
Predicted band size: 11 kDa
Observed band size: 11 kDa

Lysates: HeLa, N2a, BRL cells
Protein loading amount: 20 μg
Blocking buffer: 5% NFDM/TBST
Primary Ab dilution: 1:2000
Primary Ab incubation: 2 hours at room temperature
Secondary Ab: Goat Anti-Mouse IgG H&L pAb (HRP Conjugate)
Exposure time: 30 seconds
Predicted band size: 11 kDa
Observed band size: 11 kDa

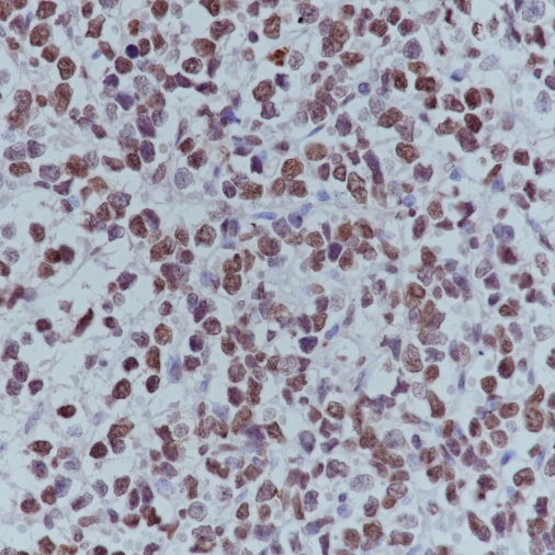
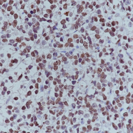
IHC-P

Tissue: Human neuroblastoma
Section type: Formalin-fixed & paraffin-embedded section
Retrieval method: High temperature and high pressure
Retrieval buffer: Tris/EDTA buffer, pH 9.0
Primary Ab dilution: 1:500
Primary Ab incubation: 1 hour at room temperature
Secondary Ab: Anti-Rabbit and Mouse Polymer HRP (Ready to Use)
Counter stain: Hematoxylin (blue)
Description: The brown color represents the positive signal observed with PTM-189.

ICC/IF

Sample: HeLa cells
Fixative: 4% Paraformaldehyde
Permeabilization: 0.1% Triton X-100
Primary Ab dilution: 1:100
Primary Ab incubation: 4°C overnight
Secondary Ab: Goat Anti-Mouse IgG
Nuclear counter stain: DAPI (blue)
Counter stain: Tubulin (red)
Description: The green color represents the positive signal observed with PTM-189.

Research Use

For research use only, not for use in diagnostic procedures.

Recommended Products
  • View More Images(4)
    $ 135
    Recombinant Rabbit Monoclonal
    Goat Anti-Mouse IgG H&L (HRP Conjugate)
    Catalog #
    PTM-7168
    Host
    Goat
    Clonality
    Polyclonal
    Conjugate
    HRP
    Reactivity
    Mouse
    Applications:
    WB IHC-P ICC/IF FC IAP IP ChIP mIHC-P CUT&Tag
  • View More Images(2)
    $ 420
    Recombinant Rabbit Monoclonal
    Anti-2-Hydroxyisobutyryl-Histone H4 (Lys5/8/12) Rabbit pAb
    Catalog #
    PTM-850
    Host
    Rabbit
    Clonality
    Polyclonal
    Conjugate
    Unconjugated
    Reactivity
    Human, Mouse, Rat
    Applications:
    WB IHC-P ICC/IF FC IAP IP ChIP mIHC-P CUT&Tag
  • View More Images(8)
    $ 320
    Recombinant Rabbit Monoclonal
    Anti-Acetyllysine Rabbit mAb
    Catalog #
    PTM-105RM
    Host
    Rabbit
    Clonality
    Recombinant Monoclonal
    Conjugate
    Unconjugated
    Reactivity
    All
    Applications:
    WB IHC-P ICC/IF FC IAP IP ChIP mIHC-P CUT&Tag
  • View More Images(1)
    $ 1,800
    Recombinant Rabbit Monoclonal
    Anti-Acetyllysine Antibody Conjugated Agarose Beads
    Catalog #
    PTM-104
    Host
    /
    Clonality
    /
    Conjugate
    Agarose
    Reactivity
    All
    Applications:
    WB IHC-P ICC/IF FC IAP IP ChIP mIHC-P CUT&Tag
  • View More Images(7)
    $ 270
    Recombinant Rabbit Monoclonal
    Anti-Histone H4 Rabbit mAb
    Catalog #
    PTM-1015RM
    Host
    Rabbit
    Clonality
    Recombinant Monoclonal
    Conjugate
    Unconjugated
    Reactivity
    Human, Mouse, Rat, Monkey, Pig, S.cerevisiae
    Applications:
    WB IHC-P ICC/IF FC IAP IP ChIP mIHC-P CUT&Tag
References (2)
  • Entinostat suppresses hepatocellular carcinoma metastasis by upregulating AZGP1 through histone acetylation
    Year 2026
    Journal Biochem Pharmacol
    Authors Weiguo Cai, et al.
    Applications Unspecified
    Reactivity
  • The hydroxamic acid derivative YPX-C-05 alleviates hypertension and vascular dysfunction through the PI3K/Akt/eNOS pathway
    Year 2023
    Journal Vascul Pharmacol
    Authors Pan-Pan Pang, et al.
    Applications Unspecified
    Reactivity