/ EN
Technical Support
| Contact Us
+1 312-802-6843
Technical Support
Contact Us
+1 312-802-6843
/ EN
Recover password
Professional Email
Verification Code
Send Code
Password
Recombinant
Anti-alpha 1 Antitrypsin Mouse mAb
Catalog Number: PTM-6721
$ 290

Clone Number: JMMR-3267

Host: Mouse Clonality: Recombinant Monoclonal

Applications: WB IHC-P ICC/IF

Reactivity: Human

Synonyms: alpha-1 protease inhibitor, alpha-1-antiproteinase, Serpin A1, SERPINA1, AAT, PI

Product Size
100 μl
Quantity

Shipping: Ambient temperature

Order online or send purchase order to info@ptmbio.com

FAQ Technical Support Protocols

General Information
Isotype IgG1
Conjugate Unconjugated
Synonyms alpha-1 protease inhibitor, alpha-1-antiproteinase, Serpin A1, SERPINA1, AAT, PI
UniProt ID

P01009

Immunogen Synthetic peptide derived from human alpha-1-antitrypsin
MW (kDa) 47
Specificity
Product Usage Information
Applications Dilution Recommended Species
WB 1:500 - 1:1000 Human
IHC-P 1:50 - 1:100 Human
ICC/IF 1:50 Human
Properties
Purity Protein A purified
Constituents PBS, Glycerol, BSA
Storage Store at -20°C. Avoid freeze/thaw cycles.
Stability Stable for 12 months from date of receipt/reconstitution.
Target Information

Background

Alpha-1-Antitrypsin (AAT) is a serine protease inhibitor whose targets include elastase, plasmin, thrombin, trypsin, chymotrypsin, and plasminogen activator. AAT is a glycoprotein synthesized primarily by hepatocytes, with smaller amounts synthesized by intestinal epithelial cells, neutrophils, pulmonary alveolar cells and macrophages. AAT is the most abundant, endogenous serine protease inhibitor in blood circulation and it has been implicated in regulating vital fluid phase biological events such as blood coagulation, fibrinolysis, complement activation, apoptosis, reproduction, tumor progression and inflammatory response. The primary function of AAT is thought to be the inactivation of neutrophil elastase and other endogenous serine proteases. Defects in SERPINA1 can cause emphysema or liver disease.

Cellular location

Endoplasmic reticulum

Images
WB

Blocking buffer: 5% NFDM/TBST
Primary Ab dilution: 1:1000
Primary Ab incubation: 2 hours at room temperature
Secondary Ab: Goat Anti-Mouse IgGH&L(HRP Conjugate)
Lysate: 1: HepG2, 2: Human milk, 3: Humanliver
Protein loading quantity: 20 μg
Exposure time: 30 seconds
Predicted band size: 47 kDa
Observed band size: 60 kDa

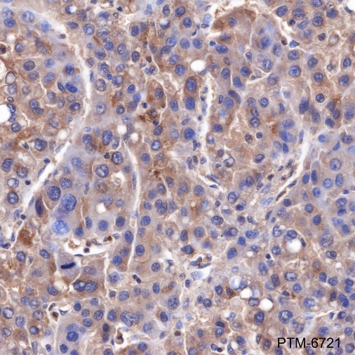
IHC-P

Tissue: Human liver cancer
Section type: Formalin-fixed & Paraffin-embedded section
Retrieval method: High temperature and high pressure
Retrieval buffer: Tris/EDTA buffer, pH9.0
Primary Ab dilution: 1:100
Primary Ab incubation: 1 hour at room temperature
Secondary Ab: Anti-Rabbit and Mouse Polymer HRP (Ready to Use)
Counter stain: Hematoxylin (Blue)
Description: The brown color represents the positive signal observed with PTM-6721

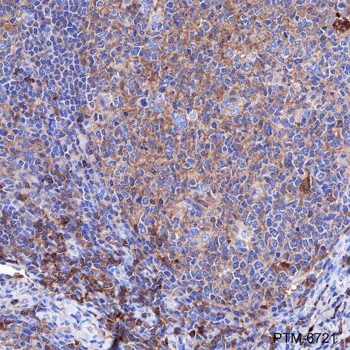
Tissue: Human tonsil
Section type: Formalin-fixed & Paraffin-embedded section
Retrieval method: High temperature and high pressure
Retrieval buffer: Tris/EDTA buffer, pH9.0
Primary Ab dilution: 1:100
Primary Ab incubation: 1 hour at room temperature
Secondary Ab: Anti-Rabbit and Mouse Polymer HRP (Ready to Use)
Counter stain: Hematoxylin (Blue)
Description: The brown color represents the positive signal observed with PTM-6721

ICC/IF

Cell line: HepG2
Fixative: 100% Ice-cold methanol
Permeabilization: 0.1% Triton X-100
Primary Ab dilution: 1:50
Primary Ab incubation: 4°C overnight
Secondary Ab: Goat Anti-Mouse IgG
Nuclear counter stain: DAPI (Blue)
Description: The green color represents the positive signal observed with PTM-6721

Research Use

For research use only, not for use in diagnostic procedures.

Recommended Products
  • View More Images(4)
    $ 290
    Recombinant
    Anti-alpha 1 Antitrypsin Mouse mAb
    Catalog #
    PTM-7397
    Host
    Mouse
    Clonality
    Recombinant Monoclonal
    Conjugate
    Unconjugated
    Reactivity
    Human
    Applications:
    WB IHC-P ICC/IF FC IAP IP ChIP mIHC-P CUT&Tag