/ EN
Technical Support
| Contact Us
+1 312-802-6843
Technical Support
Contact Us
+1 312-802-6843
/ EN
Recover password
Professional Email
Verification Code
Send Code
Password
Recombinant
Anti-ATP5A1 Mouse mAb
Catalog Number: PTM-5163
$ 280

Clone Number: 11905

Host: Mouse Clonality: Recombinant Monoclonal

Applications: WB IHC-P ICC/IF

Reactivity: Human, Mouse, Rat

Synonyms: Mitochondrial ATP synthase F(1) complex subunit alpha, ATP synthase F1 subunit alpha, ATP5F1A, ATP5A, ATP5AL2, ATPM

Product Size
100 μl
Quantity

Shipping: Ambient temperature

Order online or send purchase order to info@ptmbio.com

FAQ Technical Support Protocols

General Information
Isotype IgG2b
Conjugate Unconjugated
Synonyms Mitochondrial ATP synthase F(1) complex subunit alpha, ATP synthase F1 subunit alpha, ATP5F1A, ATP5A, ATP5AL2, ATPM
UniProt ID

P25705

Immunogen Synthetic peptide derived from human ATP5A1
MW (kDa) 55
Specificity
Product Usage Information
Applications Dilution Recommended Species
WB 1:1000 Human, Mouse, Rat
IHC-P 1:50 - 1:100 Human, Mouse, Rat
ICC/IF 1:50 - 1:200 Human
Properties
Purity Protein G purified
Constituents PBS, Glycerol, BSA
Storage Store at -20°C. Avoid freeze/thaw cycles.
Stability Stable for 12 months from date of receipt/reconstitution.
Target Information

Background

This gene encodes a subunit of mitochondrial ATP synthase. Mitochondrial ATP synthase catalyzes ATP synthesis, using an electrochemical gradient of protons across the inner membrane during oxidative phosphorylation. ATP synthase is composed of two linked multi-subunit complexes: the soluble catalytic core, F1, and the membrane-spanning component, Fo, comprising the proton channel. The catalytic portion of mitochondrial ATP synthase consists of 5 different subunits (alpha, beta, gamma, delta, and epsilon) assembled with a stoichiometry of 3 alpha, 3 beta, and a single representative of the other 3. The proton channel consists of three main subunits (a, b, c). This gene encodes the alpha subunit of the catalytic core. Alternatively spliced transcript variants encoding the same protein have been identified. Pseudogenes of this gene are located on chromosomes 9, 2, and 16.

Cellular location

Membrane, Mitochondrion,  Mitochondrion inner membrane

Images
WB

Blocking buffer: 5% NFDM/TBST
Primary Ab dilution: 1:1000
Primary Ab incubation: 2 hours at room temperature
Lysate: HeLa, HepG2, Neuro-2a, EL4.IL-2, BRL
Protein loading quantity: 20 μg
Exposure time: 10 s
Predicted band size: 55 kDa
Observed band size: 55 kDa

IHC-P

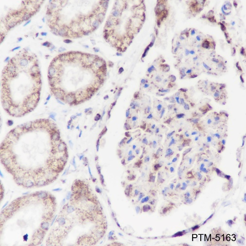
Tissue: Human kidney
Section type: Formalin fixed & Paraffin -embedded section
Retrieval method: High temperature and high pressure
Retrieval buffer: Tris/EDTA buffer, pH 9.0
Primary Ab dilution: 1:100
Primary Ab incubation: 1 hour at room temperature
Counter stain: Hematoxylin
Description: The brown color represents the positive signal observed with PTM-5163

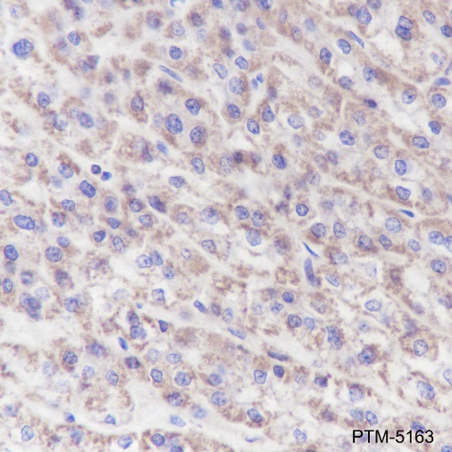
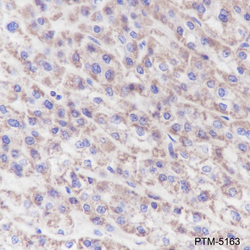
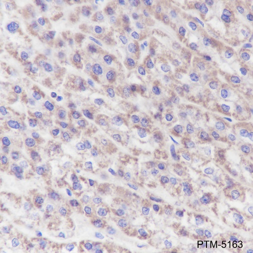
Tissue: Human hepatocellular carcinoma
Section type: Formalin fixed & Paraffin -embedded section
Retrieval method: High temperature and high pressure
Retrieval buffer: Tris/EDTA buffer, pH 9.0
Primary Ab dilution: 1:100
Primary incubation condition: 1 hour at room temperature
Counter stain: Hematoxylin
Description: The brown color represents the positive signal observed with PTM-5163

Tissue: Mouse myocardium
Section type: Formalin fixed & Paraffin -embedded section
Retrieval method: High temperature and high pressure
Retrieval buffer: Tris/EDTA buffer, pH 9.0
Primary Ab dilution: 1:100
Primary incubation condition: 1 hour at room temperature
Counter stain: Hematoxylin
Description: The brown color represents the positive signal observed with PTM-5163

Tissue: Rat liver
Section type: Formalin fixed & Paraffin -embedded section
Retrieval method: High temperature and high pressure
Retrieval buffer: Tris/EDTA buffer, pH 9.0
Primary Ab dilution: 1:100
Primary incubation condition: 1 hour at room temperature
Counter stain: Hematoxylin
Description: The brown color represents the positive signal observed with PTM-5163

ICC/IF

Cell line: HeLa
Fixative: 100% Ice-cold methanol
Permeabilization: 0.1% TritonX-100
Primary Ab dilution: 1:200
Primary incubation condition: 4℃ overnight
Nuclear counter stain: DAPI (Blue)
Description: The green color represents the positive signal observed with PTM-5163

Research Use

For research use only, not for use in diagnostic procedures.

Recommended Products
  • View More Images(5)
    $ 280
    Recombinant
    Anti-ATP5A1 Mouse mAb
    Catalog #
    PTM-5769
    Host
    Mouse
    Clonality
    Recombinant Monoclonal
    Conjugate
    Unconjugated
    Reactivity
    Human, Mouse, Rat
    Applications:
    WB IHC-P ICC/IF FC IAP IP ChIP mIHC-P CUT&Tag
References (2)
  • The Sirt3–CD38 axis induces mitochondrial dysfunction in hypertrophied heart by regulating mitochondrial calcium overload
    Year 2025
    Journal EUROPEAN JOURNAL OF MEDICAL RESEARCH
    Authors Liu Jia, et al.
    Applications Unspecified
    Reactivity
  • Circular RNA circMYLK4 shifts energy metabolism from glycolysis to OXPHOS by binding to the calcium channel auxiliary subunit CACNA2D2
    Year 2024
    Journal JOURNAL OF BIOLOGICAL CHEMISTRY
    Authors Haigang Cao, et al.
    Applications Unspecified
    Reactivity