/ EN
Technical Support
| Contact Us
+1 312-802-6843
Technical Support
Contact Us
+1 312-802-6843
/ EN
Recover password
Professional Email
Verification Code
Send Code
Password
Recombinant Rabbit Monoclonal
Anti-Aurora B Rabbit mAb
Catalog Number: PTM-6125
$ 280

Clone Number: JRMR-10519-70

Host: Rabbit Clonality: Recombinant Monoclonal

Applications: WB IHC-P

Reactivity: Human, Mouse, Rat

Synonyms: AURKB, AIK2,AIM1,AIRK2,ARK2,STK1,STK12,STK5

Product Size
100 μl
Quantity

Shipping: Ambient temperature

Order online or send purchase order to info@ptmbio.com

FAQ Technical Support Protocols

General Information
Isotype IgG
Conjugate Unconjugated
Synonyms AURKB, AIK2,AIM1,AIRK2,ARK2,STK1,STK12,STK5
UniProt ID

Q96GD4

Immunogen
MW (kDa) 39
Specificity
Product Usage Information
Applications Dilution Recommended Species
WB 1:500 - 1:1000 Human, Mouse, Rat
IHC-P 1:50 - 1:100 Human, Mouse, Rat
Properties
Purity Protein A purified
Constituents PBS, Glycerol, BSA
Storage Store at -20°C. Avoid freeze/thaw cycles.
Stability Stable for 12 months from date of receipt/reconstitution.
Target Information

Background

Aurora B is Serine/threonine-protein kinase component of the chromosomal passenger complex (CPC). The CPC complex has essential functions at the centromere in ensuring correct chromosome alignment and segregation and is required for chromatin-induced microtubule stabilization and spindle assembly. Involved in the bipolar attachment of spindle microtubules to kinetochores and is a key regulator for the onset of cytokinesis during mitosis.

Cellular location

Nucleus

Images
WB

Blocking buffer: 5% NFDM/TBST
Primary Ab dilution: 1:1000
Primary Ab incubation: 2 hours at room temperature
Secondary Ab: Goat Anti-Rabbit IgG H&L pAb (HRP Conjugate)
Lysate: 1: T47D, 2: A549, 3: NIH/3T3, 4: C6
Protein loading quantity: 20 μg
Exposure time: 60 s
Predicted band size:39 kDa
Observed band size: 39 kDa

Blocking buffer: 5% NFDM/TBST
Primary Ab dilution: 1:1000
Primary Ab incubation: 2 hours at room temperature
Secondary Ab: Goat Anti-Rabbit IgG H&L pAb (HRP Conjugate)
Lysate: (-) HeLa, (+) HeLa +Nocodazole (100 ng/,18 hours)
Protein loading quantity: 20 μg
Exposure time: 60 s
Predicted band size:39 kDa
Observed band size: 39 kDa

IHC-P

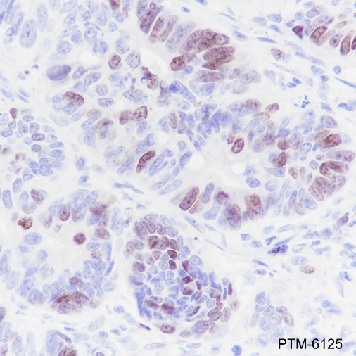
Tissue: Human colon cancer
Section type: Formalin fixed & Paraffin -embedded section
Retrieval method: High temperature and high pressure
Retrieval buffer: Tris/EDTA buffer, pH 9.0
Primary Ab dilution: 1:100
Primary Ab incubation: 1 hour at room temperature
Secondary Ab: Anti-Rabbit and Mouse
Polymer HRP (Ready to Use)
Counter stain: Hematoxylin (Blue)
Description: The brown color represents the positive signal observed with PTM-6125

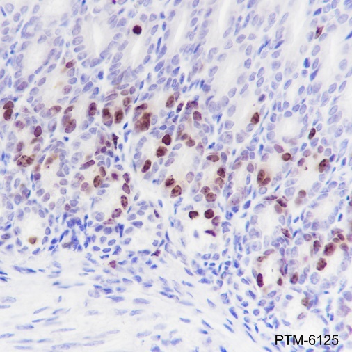
Tissue: Mouse small intestine
Section type: Formalin fixed & Paraffin -embedded section
Retrieval method: High temperature and high pressure
Retrieval buffer: Tris/EDTA buffer, pH 9.0
Primary Ab dilution: 1:100
Primary Ab incubation: 1 hour at room temperature
Secondary Ab: Anti-Rabbit and Mouse
Polymer HRP (Ready to Use)
Counter stain: Hematoxylin (Blue)
Description: The brown color represents the positive signal observed with PTM-6125

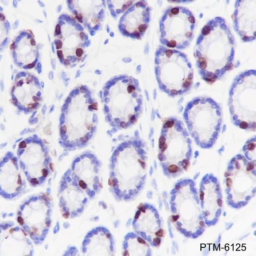
Tissue: Mouse stomach
Section type: Formalin fixed & Paraffin -embedded section
Retrieval method: High temperature and high pressure
Retrieval buffer: Tris/EDTA buffer, pH 9.0
Primary Ab dilution: 1:100
Primary Ab incubation: 1 hour at room temperature
Secondary Ab: Anti-Rabbit and Mouse Polymer HRP (Ready to Use)
Counter stain: Hematoxylin (Blue)
Description: The brown color represents the positive signal observed with PTM-6125

Tissue: Rat colon
Section type: Formalin fixed & Paraffin -embedded section
Retrieval method: High temperature and high pressure
Retrieval buffer: Tris/EDTA buffer, pH 9.0
Primary Ab dilution: 1:100
Primary Ab incubation: 1 hour at room temperature
Secondary Ab: Anti-Rabbit and Mouse Polymer HRP (Ready to Use)
Counter stain: Hematoxylin (Blue)
Description: The brown color represents the positive signal observed with PTM-6125

Research Use

For research use only, not for use in diagnostic procedures.