/ EN
Technical Support
| Contact Us
+1 312-802-6843
Technical Support
Contact Us
+1 312-802-6843
/ EN
Recover password
Professional Email
Verification Code
Send Code
Password
Recombinant
Anti-Bcl-G Mouse mAb
Catalog Number: PTM-5564
$ 285

Clone Number: 11992

Host: Mouse Clonality: Recombinant Monoclonal

Applications: WB IHC-P ICC/IF

Reactivity: Human, Mouse, Rat

Synonyms: BCL2L14

Product Size
100 μl
Quantity

Shipping: Ambient temperature

Order online or send purchase order to info@ptmbio.com

FAQ Technical Support Protocols

General Information
Isotype IgG
Conjugate Unconjugated
Synonyms BCL2L14
UniProt ID

Q9BZR8

Immunogen
MW (kDa) 37
Specificity
Product Usage Information
Applications Dilution Recommended Species
WB 1:1000 - 1:5000 Human, Mouse, Rat
IHC-P 1:50 - 1:100 Human, Mouse, Rat
ICC/IF 1:50 Human
Properties
Purity Protein G purified
Constituents PBS, Glycerol, BSA
Storage Store at -20°C. Avoid freeze/thaw cycles.
Stability Stable for 12 months from date of receipt/reconstitution.
Target Information

Background

Plays a role in apoptosis.

Cellular location

Cytoplasm, Membrane

Images
WB

Blocking buffer: 5% NFDM/TBST
Primary Ab dilution: 1:5000
Primary Ab incubation: 4°C overnight
Secondary Ab: Goat Anti-Mouse IgG H&L pAb (HRP Conjugate)
Lysate: A549, HepG2, Rat brain, Mouse pancreas
Protein loading quantity: 20 μg
Exposure time: 60 s
Predicted band size: 37 kDa
Observed band size: 52 kDa

IHC-P

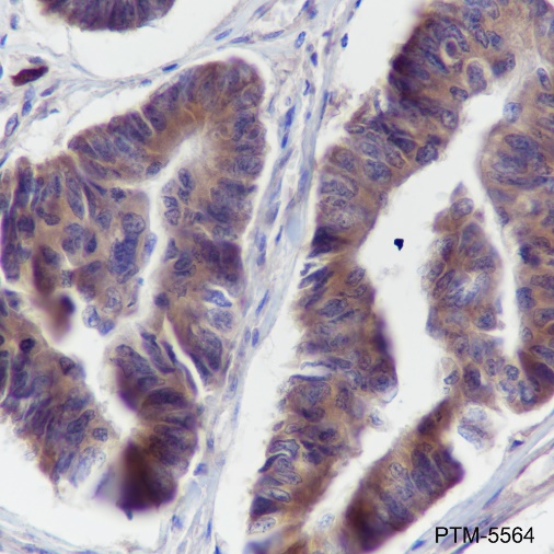
Tissue: Human colon cancer
Section type: Formalin fixed & Paraffin -embedded section
Retrieval method: High temperature and high pressure
Retrieval buffer: Tris/EDTA buffer, pH 9.0
Primary Ab dilution: 1:100
Primary Ab incubation: 1 hour at room temperature
Secondary Ab: Anti-Rabbit and Mouse
Polymer HRP (Ready to Use)
Counter stain: Hematoxylin (Blue)
Description: The brown color represents the positive signal observed with PTM-5564

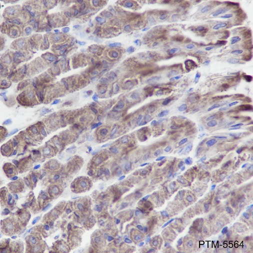
Tissue: Mouse stomach
Section type: Formalin fixed & Paraffin -embedded section
Retrieval method: High temperature and high pressure
Retrieval buffer: Tris/EDTA buffer, pH 9.0
Primary Ab dilution: 1:100
Primary Ab incubation: 1 hour at room temperature
Secondary Ab: Anti-Rabbit and Mouse
Polymer HRP (Ready to Use)
Counter stain: Hematoxylin (Blue)
Description: The brown color represents the positive signal observed with PTM-5564

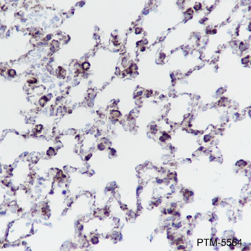
Tissue: Rat lung
Section type: Formalin fixed & Paraffin -embedded section
Retrieval method: High temperature and high pressure
Retrieval buffer: Tris/EDTA buffer, pH 9.0
Primary Ab dilution: 1:100
Primary Ab incubation: 1 hour at room temperature
Secondary Ab: Anti-Rabbit and Mouse
Polymer HRP (Ready to Use)
Counter stain: Hematoxylin (Blue)
Description: The brown color represents the positive signal observed with PTM-5564

ICC/IF

Cell line: A549
Fixative: 100% Ice-cold methanol
Permeabilization: 0.1% TritonX-100
Primary Ab dilution: 1:50
Primary incubation condition: 4°C overnight
Secondary Ab: Goat Anti-Mouse IgG
Nuclear counter stain: DAPI (Blue)
Description: The green color represents the positive signal observed with PTM-5564

Research Use

For research use only, not for use in diagnostic procedures.