/ EN
Technical Support
| Contact Us
+1 312-802-6843
Technical Support
Contact Us
+1 312-802-6843
/ EN
Recover password
Professional Email
Verification Code
Send Code
Password
Recombinant Rabbit Monoclonal
Anti-beta Actin Rabbit mAb
Catalog Number: PTM-5028
$ 130

Clone Number: JRMR-64

Host: Rabbit Clonality: Recombinant Monoclonal

Applications: WB IHC-P ICC/IF FC IP

Reactivity: Human, Mouse, Rat

Synonyms: Actin cytoplasmic 1, beta-actin, ACTB

Product Size
100 μl
Quantity

Shipping: Ambient temperature

Order online or send purchase order to info@ptmbio.com

FAQ Technical Support Protocols

General Information
Isotype IgG
Conjugate Unconjugated
Synonyms Actin cytoplasmic 1, beta-actin, ACTB
UniProt ID

P60709

Immunogen Synthetic peptide derived from human beta actin
MW (kDa) 42
Specificity Anti-beta Actin Rabbit mAb recognizes endogenous level of beta actin.
Product Usage Information
Applications Dilution Recommended Species
WB 1:500 - 1:2000 Human, Mouse, Rat
IHC-P 1:50 - 1:100 Human
ICC/IF 1:50 - 1:100 Mouse
FC 1:50 - 1:100 Human, Mouse
IP 1:25 - 1:100 Human
Properties
Purity Protein A purified
Constituents PBS, Glycerol, BSA
Storage Store at -20°C. Avoid freeze/thaw cycles.
Stability Stable for 12 months from date of receipt/reconstitution.
Target Information

Background

Actin is a highly conserved protein that polymerizes to produce filaments that form cross-linked networks in the cytoplasm of cells.

Cellular location

Cytoskeleton

Images
WB

Blocking buffer: 5% NFDM/TBST
Primary ab dilution: 1:2000
Primary Ab incubation: 2 hours at room temperature
Lysate: HeLa, N2a, BRL
Protein loading quantity: 20 μg
Exposure time: 30 s
Predicted MW: 42 kDa
Observed MW: 42 kDa

Blocking buffer: 5% NFDM/TBST
Primary ab dilution: 1:2000
Primary Ab incubation: 2 hours at room temperature
Lysate: Mouse liver, Mouse kidney
Protein loading quantity: 20 μg
Exposure time: 60 s
Predicted MW: 42 kDa
Observed MW: 42 kDa

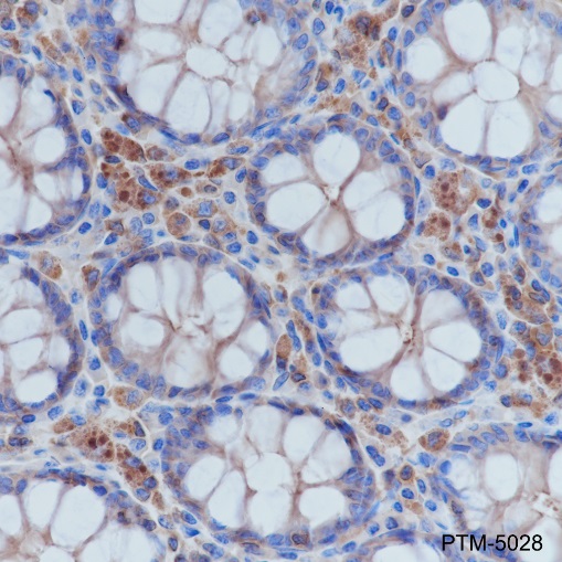
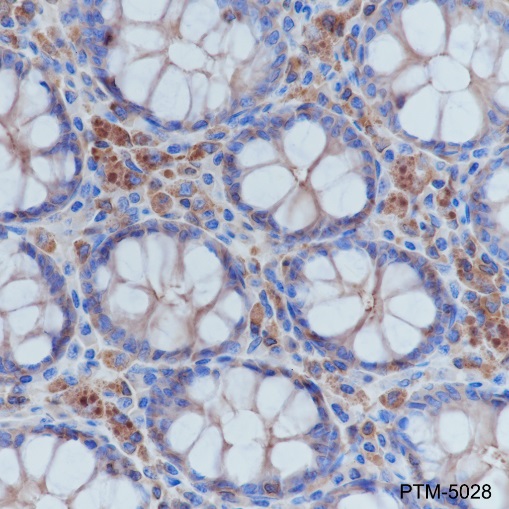
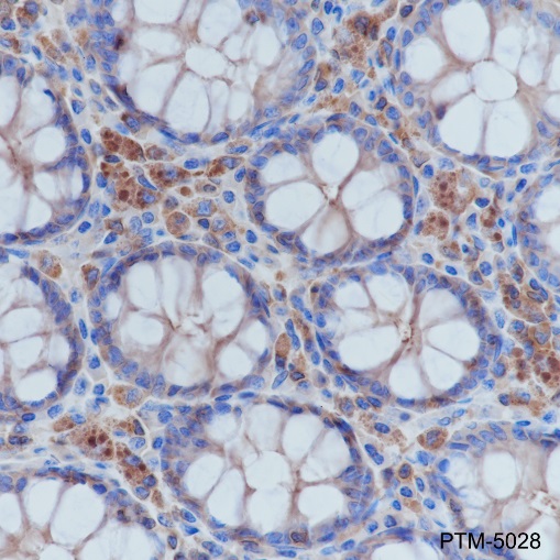
IHC-P

Tissue: Human colon
Section type: Formalin fixed & Paraffin -embedded section
Retrieval method: High temperature and high pressure
Retrieval buffer: Tris/EDTA buffer, pH 9.0
Primary ab dilution: 1:100
Primary Ab incubation: 1 hour at room temperature
Counter stain: Hematoxylin
Comment: Color brown is the positive signal for PTM-5028

ICC/IF

Cell line: HeLa
Fixative: 4% Paraformaldehyde
Permeabilisation: 0.1% TritonX-100
Primary ab dilution: 1:50
Primary incubation condition: 1 hour at room temperature
Nuclear counter stain: DAPI (Blue)
Counter stain: Tubulin (Red)
Comment: Color green is the positive signal for PTM-5028

FC

Cell line: HeLa
Fixative: 4% Paraformaldehyde
Permeabilization: 0.1% TritonX-100
Primary ab dilution: 1:100
Secondary ab: Goat anti Rabbit IgG
Unlabelled control: The cell without incubation
with primary antibody and secondary antibody (Black line).
Isotype control: Rabbit monoclonal IgG (Blue line).
Comment: Line red is the positive signal for PTM-5028

Cell line: NIH/3T3
Fixative: 4% Paraformaldehyde
Permeabilization: 0.1% TritonX-100
Primary ab dilution: 1:100
Secondary ab: Goat anti Rabbit IgG
Unlabelled control: The cell without incubation
with primary antibody and secondary antibody (Black line).
Isotype control: Rabbit monoclonal IgG (Blue line).
Comment: Line red is the positive signal for PTM-5028

IP

IP of HeLa cells extracts
IP Ab incubation: PTM-5028, 4°C
overnight, 1:100 dilution
WB Primary Ab incubation:
PTM-5028, room temperature 2h, 1:5000 dilution
Secondary Ab: Anti-Rabbit IgG for IP (HRP)
Blocking buffer: 5% NFDM/TBST
Dilution buffer: 5% NFDM/TBST
1: 5% Input
2: IP with Rabbit monoclonal IgG Isotype
3: IP with PTM-5028
Observed MW: 42 kDa
Exposure time: 60 s

Research Use

For research use only, not for use in diagnostic procedures.

Recommended Products
  • View More Images(6)
    $ 125
    Recombinant
    Anti-beta Actin Mouse mAb
    Catalog #
    PTM-5018
    Host
    Mouse
    Clonality
    Recombinant Monoclonal
    Conjugate
    Unconjugated
    Reactivity
    Human, Mouse, Rat, A.thaliana, Rice
    Applications:
    WB IHC-P ICC/IF FC IAP IP ChIP mIHC-P CUT&Tag
  • View More Images(7)
    $ 130
    Recombinant Rabbit Monoclonal
    Anti-beta Actin Rabbit mAb
    Catalog #
    PTM-5436
    Host
    Rabbit
    Clonality
    Recombinant Monoclonal
    Conjugate
    Unconjugated
    Reactivity
    Human, Mouse, Rat, Monkey
    Applications:
    WB IHC-P ICC/IF FC IAP IP ChIP mIHC-P CUT&Tag
  • View More Images(7)
    $ 130
    Recombinant Rabbit Monoclonal
    Anti-beta Actin Rabbit mAb
    Catalog #
    PTM-5455
    Host
    Rabbit
    Clonality
    Recombinant Monoclonal
    Conjugate
    Unconjugated
    Reactivity
    Human, Mouse, Rat
    Applications:
    WB IHC-P ICC/IF FC IAP IP ChIP mIHC-P CUT&Tag
  • View More Images(4)
    $ 135
    Goat Anti-Rabbit IgG H&L pAb (HRP Conjugate)
    Catalog #
    PTM-6261
    Host
    Goat
    Clonality
    Polyclonal
    Conjugate
    HRP
    Reactivity
    Rabbit
    Applications:
    WB IHC-P ICC/IF FC IAP IP ChIP mIHC-P CUT&Tag
  • View More Images(5)
    $ 125
    Recombinant Rabbit Monoclonal
    Rabbit mAb IgG Isotype Control
    Catalog #
    PTM-5073
    Host
    Rabbit
    Clonality
    Recombinant Monoclonal
    Conjugate
    Unconjugated
    Reactivity
    Human, Mouse, Rat
    Applications:
    WB IHC-P ICC/IF FC IAP IP ChIP mIHC-P CUT&Tag
  • View More Images(5)
    $ 125
    Recombinant Rabbit Monoclonal
    Rabbit mAb IgG Isotype Control
    Catalog #
    PTM-6628
    Host
    Rabbit
    Clonality
    Recombinant Monoclonal
    Conjugate
    Unconjugated
    Reactivity
    Human, Mouse
    Applications:
    WB IHC-P ICC/IF FC IAP IP ChIP mIHC-P CUT&Tag
  • View More Images(1)
    $ 125
    Recombinant
    Anti-GAPDH Mouse mAb
    Catalog #
    PTM-5251
    Host
    Mouse
    Clonality
    Recombinant Monoclonal
    Conjugate
    Unconjugated
    Reactivity
    Human, Mouse, Rat
    Applications:
    WB IHC-P ICC/IF FC IAP IP ChIP mIHC-P CUT&Tag
  • View More Images(6)
    $ 130
    Recombinant Rabbit Monoclonal
    Anti-alpha Tubulin Rabbit mAb
    Catalog #
    PTM-5442
    Host
    Rabbit
    Clonality
    Recombinant Monoclonal
    Conjugate
    Unconjugated
    Reactivity
    Human, Mouse, Rat
    Applications:
    WB IHC-P ICC/IF FC IAP IP ChIP mIHC-P CUT&Tag
  • View More Images(6)
    $ 130
    Recombinant Rabbit Monoclonal
    Anti-Vinculin Rabbit mAb
    Catalog #
    PTM-5224
    Host
    Rabbit
    Clonality
    Recombinant Monoclonal
    Conjugate
    Unconjugated
    Reactivity
    Human, Mouse, Rat
    Applications:
    WB IHC-P ICC/IF FC IAP IP ChIP mIHC-P CUT&Tag
References (9)
  • CD36-mediated arachidonic acid influx from decidual stromal cells increases inflammatory macrophages in miscarriage
    Year 2024
    Journal Cell Reports
    Authors Jiajia Chen, et al.
    Applications Unspecified
    Reactivity
  • BAP1-mediated MAFF deubiquitylation regulates tumor growth and is associated with adverse outcomes in colorectal cancer
    Year 2024
    Journal EUROPEAN JOURNAL OF CANCER
    Authors Zhongdong Xie, et al.
    Applications Unspecified
    Reactivity
  • Dendrobium nobile active ingredient Dendrobin A against hepatocellular carcinoma via inhibiting nuclear factor kappa-B signaling
    Year 2024
    Journal BIOMEDICINE & PHARMACOTHERAPY
    Authors Yaping Yu, et al.
    Applications Unspecified
    Reactivity
  • Selenium Nanoparticles Promotes Intestinal Development in Broilers by Inhibiting Intestinal Inflammation and NLRP3 Signaling Pathway Compared with Other Selenium Sources
    Year 2024
    Journal POULTRY SCIENCE
    Authors Yanhong Chen, et al.
    Applications Unspecified
    Reactivity
  • Silicon dioxide nanoparticles compromise decidualization via autophagy impairment to possibly cause embryo resorption
    Year 2023
    Journal TOXICOLOGY LETTERS
    Authors Ying Bai, et al.
    Applications Unspecified
    Reactivity
  • (2E)-1-(2,4,6-Trimethoxyphenyl)-3-(4-chlorophenyl)prop-2-en-1-one, a Chalcone Derivative, Promotes Apoptosis by Suppressing RAS-ERK and AKT/FOXO3a Pathways in Hepatocellular Carcinoma Cells
    Year 2023
    Journal CHEMISTRY & BIODIVERSITY
    Authors Meigui Zhang, et al.
    Applications Unspecified
    Reactivity
  • A bacteriocyte symbiont determines whitefly sex ratio by regulating mitochondrial function.
    Year 2023
    Journal Cell Reports
    Authors Yao YL, et al.
    Applications Unspecified
    Reactivity
  • Selenium Nanoparticles Improved Intestinal Health Through Modulation of the NLRP3 Signaling Pathway
    Year 2022
    Journal Frontiers in Nutrition
    Authors Yanhong Chen, et al.
    Applications Unspecified
    Reactivity
  • Protein Lactylation and Metabolic Regulation of the Zoonotic Parasite Toxoplasma gondii
    Year 2022
    Journal GENOMICS PROTEOMICS & BIOINFORMATICS
    Authors Deqi Yin, et al.
    Applications Unspecified
    Reactivity