/ EN
Technical Support
| Contact Us
+1 312-802-6843
Technical Support
Contact Us
+1 312-802-6843
/ EN
Recover password
Professional Email
Verification Code
Send Code
Password
Recombinant Rabbit Monoclonal
Anti-Caspase-8 Rabbit mAb
Catalog Number: PTM-6085
$ 280

Clone Number: JRMR-10647-41

Host: Rabbit Clonality: Recombinant Monoclonal

Applications: WB IHC-P ICC/IF FC

Reactivity: Human, Mouse

Synonyms: CASP8, MCH5

Product Size
100 μl
Quantity

Shipping: Ambient temperature

Order online or send purchase order to info@ptmbio.com

FAQ Technical Support Protocols

General Information
Isotype IgG
Conjugate Unconjugated
Synonyms CASP8, MCH5
UniProt ID

Q14790

Immunogen
MW (kDa) 55
Specificity
Product Usage Information
Applications Dilution Recommended Species
WB 1:500 - 1:1000 Human, Mouse
IHC-P 1:50 - 1:1000 Human
ICC/IF 1:50 Human
FC 1:50 - 1:100 Human
Properties
Purity Protein A purified
Constituents PBS, Glycerol, BSA
Storage Store at -20°C. Avoid freeze/thaw cycles.
Stability Stable for 12 months from date of receipt/reconstitution.
Target Information

Background

Caspases, also known as caspases, are derived from the abbreviations of cysteine, aspartic acid, and proteases. Its member Caspase-8 is a molecular switch for apoptosis, necroptosis, and pyrolysis. It plays a key role in programmed cell death and is necessary to prevent tissue damage during embryonic development and adulthood.

Cellular location

Cytoplasm, nucleus

Images
WB

Blocking buffer: 5% NFDM/TBST
Primary Ab dilution: 1:1000
Primary Ab incubation: 2 hours at room temperature
Secondary Ab: Goat Anti-Rabbit IgG H&L pAb (HRP Conjugate)
Lysate: 1: Jurkat, 2: THP-1, 3: RAW246.7, 4: Mouse spleen
Protein loading quantity: 20 μg
Exposure time: 60 s
Predicted band size: 55 kDa
Observed band size: 55 kDa

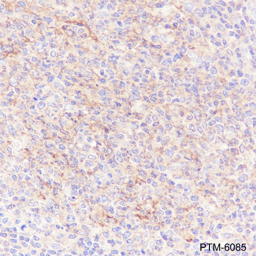
IHC-P

Tissue: Human tonsil
Section type: Formalin fixed & Paraffin -embedded section
Retrieval method: High temperature and high pressure
Retrieval buffer: Tris/EDTA buffer, pH 9.0
Primary Ab dilution: 1:100
Primary Ab incubation: 1 hour at room temperature
Secondary Ab: Anti-Rabbit and Mouse
Polymer HRP (Ready to Use)
Counter stain: Hematoxylin (Blue)
Description: The brown color represents the positive signal observed with PTM-6085

ICC/IF

Cell line: HeLa
Fixative: 4% Paraformaldehyde / 100% Ice_x0002_cold methanol
Permeabilization: 0.1% TritonX-100
Primary Ab dilution: 1:50
Primary Ab incubation: 4°C overnight
Secondary Ab: Goat Anti-Rabbit IgG
Nuclear counter stain: DAPI (Blue)
Counter stain: Tubulin (Red)
Description: The green color represents the positive signal observed with PTM-6085

Cell line: U-2 OS
Fixative: 4% Paraformaldehyde / 100% Icecold methanol
Permeabilization: 0.1% TritonX-100
Primary Ab dilution: 1:50
Primary Ab incubation: 4°C overnight
Secondary Ab: Goat Anti-Rabbit IgG
Nuclear counter stain: DAPI (Blue)
Counter stain: Tubulin (Red)
Description: The green color represents the positive signal observed with PTM-6085

FC

Cell line: HeLa
Fixative: 4% Paraformaldehyde / Unfixed
Permeabilization: 90% Methanol / None permeabilization
Primary Ab dilution: 1:100
Secondary Ab: Goat Anti-Rabbit IgG
Unlabeled control: Cells without incubation with primary and secondary antibodies (Black line).
Isotype control: Rabbit monoclonal IgG (Blue line).
Description: Line red is the positive signal for PTM-6085

Research Use

For research use only, not for use in diagnostic procedures.

References (2)
  • The Large Molecular Weight Polysaccharide from Wild Cordyceps and Its Antitumor Activity on H22 Tumor-Bearing Mice
    Year 2023
    Journal MOLECULES
    Authors Li Tan, et al.
    Applications Unspecified
    Reactivity
  • CoQ10 Improves Myocardial Damage in Doxorubicin-Induced Heart Failure in C57BL/6 Mice
    Year 2022
    Journal Frontiers in Bioscience-Landmark
    Authors Zuowei Pei, et al.
    Applications Unspecified
    Reactivity