/ EN
Technical Support
| Contact Us
+1 312-802-6843
Technical Support
Contact Us
+1 312-802-6843
/ EN
Recover password
Professional Email
Verification Code
Send Code
Password
Recombinant Rabbit Monoclonal
Anti-CDK1/Cdc2 Rabbit mAb
Catalog Number: PTM-7072
$ 290

Clone Number: JRMR-10877-15

Host: Rabbit Clonality: Recombinant Monoclonal

Applications: WB IHC-P ICC/IF FC

Reactivity: Human, Mouse, Rat, Monkey

Synonyms: Cyclin-dependent kinase 1, CDK1, Cell division control protein 2 homology, Cell division protein kinase 1, p34 protein kinase, CDC2, CDC28A, CDKN1, P34CDC2

Product Size
100 μl
Quantity

Shipping: Ambient temperature

Order online or send purchase order to info@ptmbio.com

FAQ Technical Support Protocols

General Information
Isotype IgG
Conjugate Unconjugated
Synonyms Cyclin-dependent kinase 1, CDK1, Cell division control protein 2 homology, Cell division protein kinase 1, p34 protein kinase, CDC2, CDC28A, CDKN1, P34CDC2
UniProt ID

P06493

Immunogen Synthetic peptides derived from human cyclin-dependent kinase 1
MW (kDa) 34
Specificity
Product Usage Information
Applications Dilution Recommended Species
WB 1:1000 Human, Mouse, Rat, Monkey
IHC-P 1:50 - 1:100 Human
ICC/IF 1:50 - 1:100 Human
FC 1:50 - 1:100 Human
Properties
Purity Protein A purified
Constituents PBS, Glycerol, BSA
Storage Store at -20°C. Avoid freeze/thaw cycles.
Stability Stable for 12 months from date of receipt/reconstitution.
Target Information

Background

CDC2, also named as CDK1, belongs to the protein kinase superfamily. The entry of eukaryotic cells into mitosis is regulated by cdc2 kinase activation, a process controlled at several steps including cyclin binding and phosphorylation of cdc2 at Thr161. However, the critical regulatory step in activating cdc2 during progression into mitosis appears to be dephosphorylation of cdc2 at Thr14 and Tyr15. Phosphorylation at Thr14 and Tyr15, resulting in inhibition of cdc2, can be carried out by Wee1 and Myt1 protein kinases.

Cellular location

Cytoskeleton, Cytoplasm, Nucleus, Mitochondrion

Images
WB

Blocking buffer: 5% NFDM/TBST
Primary Ab dilution: 1:1000
Primary Ab incubation: 2 hours at room temperature
Secondary Ab: Goat Anti-Rabbit IgG H&L pAb (HRP Conjugate)
Lysate: 1: A20, 2: BRL, 3: Rat brain, 4: COS-7
Protein loading amount: 20 μg
Exposure time: 60 seconds
Predicted band size: 34 kDa
Observed band size: 34 kDa

Blocking buffer: 5% NFDM/TBST
Primary Ab dilution: 1:1000
Primary Ab incubation: 2 hours at room temperature
Secondary Ab: Goat Anti-Rabbit IgG H&L pAb (HRP Conjugate)
Lysate: 1: HeLa, 2: A431
Protein loading amount: 20 μg
Exposure time: 60 seconds
Predicted band size: 34 kDa
Observed band size: 34 kDa

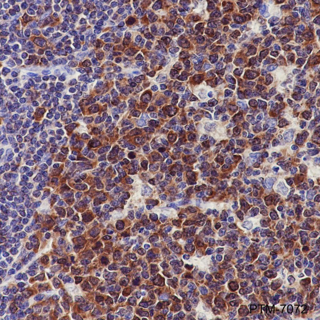
IHC-P

Tissue: Human tonsil
Section type: Formalin-fixed & paraffin-embedded section
Retrieval method: High temperature and high pressure
Retrieval buffer: Tris/EDTA buffer, pH 9.0
Primary Ab dilution: 1:100
Primary Ab incubation: 1 hour at room temperature
Secondary Ab: Anti-Rabbit and Mouse Polymer HRP (Ready to Use)
Counter stain: Hematoxylin (blue)
Description: The brown color represents the positive signal observed with PTM-7072

ICC/IF

Cell line: HeLa Fixative: 4% Paraformaldehyde Permeabilization: 0.1% Triton X-100
Primary Ab dilution: 1:100
Primary Ab incubation: 4℃ overnight
Secondary Ab: Goat Anti-Rabbit IgG
Nuclear counter stain: DAPI (blue)
Description: The green color represents the positive signal observed with PTM-7072

FC

Cell line: A20
Fixative: 4% Paraformaldehyde Permeabilization: 90% Methanol
Primary Ab dilution: 1:100
Secondary Ab: Goat Anti-Rabbit IgG
Unlabeled control: Cells without incubation with primary antibody and secondaryantibody (Black line).
Isotype control: Rabbit monoclonal IgG (Blue line).
Description: Line red is the positive signal for PTM-7072

Cell line: HeLa
Fixative: 4% Paraformaldehyde
Permeabilization: 90% Methanol
Primary Ab dilution: 1:100
Secondary Ab: Goat Anti-Rabbit IgG
Unlabeled control: Cells without incubation with primary antibody and secondaryantibody (Black line).
Isotype control: Rabbit monoclonal IgG (Blue line).
Description: Line red is the positive signal for PTM-7072

Research Use

For research use only, not for use in diagnostic procedures.

Recommended Products
  • View More Images(2)
    $ 290
    Recombinant Rabbit Monoclonal
    Anti-CDK1/Cdc2 Rabbit mAb
    Catalog #
    PTM-6109
    Host
    Rabbit
    Clonality
    Recombinant Monoclonal
    Conjugate
    Unconjugated
    Reactivity
    Human
    Applications:
    WB IHC-P ICC/IF FC IAP IP ChIP mIHC-P CUT&Tag
  • View More Images(2)
    $ 280
    Recombinant
    Anti-CDK1/Cdc2 Mouse mAb
    Catalog #
    PTM-6521
    Host
    Mouse
    Clonality
    Recombinant Monoclonal
    Conjugate
    Unconjugated
    Reactivity
    Human, Monkey
    Applications:
    WB IHC-P ICC/IF FC IAP IP ChIP mIHC-P CUT&Tag