/ EN
Technical Support
| Contact Us
+1 312-802-6843
Technical Support
Contact Us
+1 312-802-6843
/ EN
Recover password
Professional Email
Verification Code
Send Code
Password
Recombinant Rabbit Monoclonal
Anti-CHD3 Rabbit mAb
Catalog Number: PTM-6377
$ 280

Clone Number: 13397

Host: Rabbit Clonality: Recombinant Monoclonal

Applications: WB IHC-P ICC/IF FC

Reactivity: Human, Rat

Synonyms: ATP-dependent chromatin remodeler CHD3, Chromo domain-containing protein 3 (CHD-3), Mi-2 autoantigen 240 kDa protein, Mi2-alpha, Zinc finger helicase-like (hZFH)

Product Size
100 μl
Quantity

Shipping: Ambient temperature

Order online or send purchase order to info@ptmbio.com

FAQ Technical Support Protocols

General Information
Isotype IgG
Conjugate Unconjugated
Synonyms ATP-dependent chromatin remodeler CHD3, Chromo domain-containing protein 3 (CHD-3), Mi-2 autoantigen 240 kDa protein, Mi2-alpha, Zinc finger helicase-like (hZFH)
UniProt ID

Q12873

Immunogen Synthetic peptide derived from human ATP-dependent chromatin remodeler CHD3
MW (kDa) 227
Specificity
Product Usage Information
Applications Dilution Recommended Species
WB 1:500 - 1:1000 Human, Rat
IHC-P 1:50 - 1:100 Human
ICC/IF 1:50 Human
FC 1:50 - 1:100 Human
Properties
Purity Protein A purified
Constituents PBS, Glycerol, BSA
Storage Store at -20°C. Avoid freeze/thaw cycles.
Stability Stable for 12 months from date of receipt/reconstitution.
Target Information

Background

Chromodomain-helicase-DNA-binding protein 3(CHD3) is an enzyme that is encoded by the CHD3 gene in human. This gene encodes a member of the CHD family of proteins which are characterized by the presence of chromo (chromatin organization modifier) domains and SNF2-related helicase/ATPase domains. CHD3 is one of the components of a histone deacetylase complex referred to as the Mi-2/NuRD complex which participates in the remodeling of chromatin by deacetylating histones. Chromatin remodeling is essential for many processes including transcription. Mutations in CHD3 gene cause a neurodevelopmental syndrome with macrocephaly and impaired speech and language.

Cellular location

Nucleus, Centrosome

Images
WB

Blocking buffer: 5% NFDM/TBST
Primary Ab dilution: 1:1000
Primary Ab incubation: 2 hours at room temperature
Secondary Ab: Goat Anti-Rabbit IgG H&L pAb (HRP Conjugate)
Lysate: 1: C6, 2: HeLa
Protein loading quantity: 20 μg
Exposure time: 1: 60 s, 2: 30 seconds
Predicted band size: 227 kDa
Observed band size: 260 kDa

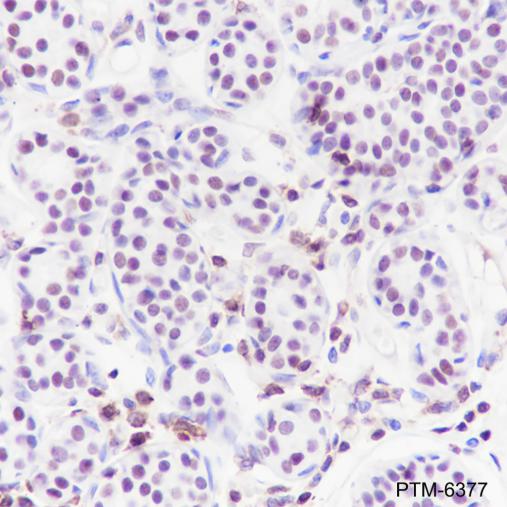
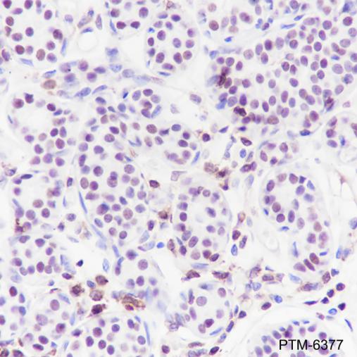
IHC-P

Tissue: Human breast
Section type: Formalin-fixed & Paraffin -embedded section
Retrieval method: High temperature and high pressure
Retrieval buffer: Tris/EDTA buffer, pH 9.0
Primary Ab dilution: 1:100
Primary Ab incubation: 1 hour at room temperature
Secondary Ab: Anti-Rabbit and Mouse Polymer HRP (Ready to Use)
Counter stain: Hematoxylin (Blue)
Description: The brown color represents the positive signal observed with PTM-6377

ICC/IF

Cell line: HeLa
Fixative: 100% Ice-cold methanol
Permeabilization: 0.1% Triton X-100
Primary Ab dilution: 1:50
Primary Ab incubation: 4°C overnight
Secondary Ab: Goat Anti-Rabbit IgG
Nuclear counter stain: DAPI (Blue)
Counter stain: Tubulin (Red)
Description: The green color represents the positive signal observed with PTM-6377

FC

Cell line: HeLa
Fixative: 4% Paraformaldehyde
Permeabilization: 90% Methanol
Primary Ab dilution: 1:100
Secondary Ab: Goat Anti-Rabbit IgG
Unlabeled control: Cells without incubation with primary and secondary antibodies (Black line).
Isotype control: Rabbit monoclonal IgG (Blue line).
Description: Line red is the positive signal for PTM-6377

Research Use

For research use only, not for use in diagnostic procedures.