/ EN
Technical Support
| Contact Us
+1 312-802-6843
Technical Support
Contact Us
+1 312-802-6843
/ EN
Recover password
Professional Email
Verification Code
Send Code
Password
Recombinant Rabbit Monoclonal
Anti-Citrulline-Histone H3 (Arg2/8/17) Rabbit mAb
Catalog Number: PTM-1306RM
$ 330

Clone Number: PA-N0501

Host: Rabbit Clonality: Recombinant Monoclonal

Applications: WB IHC-P

Reactivity: Human

Synonyms: H3R2/R8/R17cit

Product Size
100 μl
Quantity

Shipping: Ambient temperature

Order online or send purchase order to info@ptmbio.com

FAQ Technical Support Protocols

General Information
Isotype IgG
Conjugate Unconjugated
Synonyms H3R2/R8/R17cit
UniProt ID

P68431

Immunogen Citrullinated human histone H3 peptide. This information is proprietary to PTM BIO.
MW (kDa) 15
Specificity Anti-Citrulline-Histone H3 (Arg2/8/17) Rabbit mAb detects histone H3 only when it is simultaneously citrullinated at arginine residues 2, 8, and 17. It does not detect H3 peptides citrullinated at Arg2 or Arg17 individually, nor does it recognize the unmodified peptide.
Product Usage Information
Applications Dilution Recommended Species
WB 1:2000 - 1:10000 Human
IHC-P 1:50 - 1:200 Human
Properties
Purity Protein A purified
Constituents PBS, Glycerol, BSA
Storage Store at -20°C. Avoid freeze/thaw cycles.
Stability Stable for 12 months from date of receipt/reconstitution.
Target Information

Background

Protein citrullination is an emerging PTM that results from the conversion of peptidyl arginine to peptidyl citrulline. Due to the exchange of an imine for a carbonyl group, this reaction is referred to as deimination. This PTM is catalyzed by the calcium-regulated peptidylarginine deiminases (PAD). Dysregulated PAD expression and aberrant protein citrullination have been implicated in numerous human diseases such as osteosarcoma, colorectal cancer, esophagus cancer and breast cancer.

Cellular location

Nucleus

Images
Dot Blot

Peptide amount: 1 ng, 4 ng, 16 ng, 64 ng
Blocking buffer: 5% NFDM/TBST
Primary Ab dilution: 1:2000
Primary Ab incubation: 2 hours at room temperature
Secondary Ab: Goat Anti-Rabbit IgG H&L pAb (HRP Conjugate)
Exposure time: 10 seconds
The list of peptides used in the experiment is provided below.
Lane 1: H3R2/8/17 citrulline. Dot 2: H3R17 citrulline.
Dot 3: H3R2 citrulline. Dot 4: H3R8 citrulline.
Dot 5: H3R2/8/17 unmodified.

WB

Lysates: (-) HL-60 cells; (+) HL-60 cells + DMSO + A23187 (4 µM, 15 minutes)
Protein loading amount: 20 μg
Blocking buffer: 5% NFDM/TBST
Primary Ab dilution: 1:20000
Primary Ab incubation: 2 hours at room temperature
Secondary Ab: Goat Anti-Rabbit IgG H&L pAb (HRP Conjugate)
Exposure time: 60 seconds
Predicted band size: 15 kDa
Observed band size: 15 kDa

Lysates: Lane 1, 293T cells transfected with a control vector containing GFP tag, treated with 10 mM calcium chloride and 10 µM Ionomycin for 2 hours; Lane 2,
293T cells transfected with GFP-tagged PADI4 (WT, Q9UM07) expression vector, treated with 10 mM calcium chloride and 10 µM Ionomycin for 2 hours.
Protein loading amount: 20 μg
Blocking buffer: 5% NFDM/TBST
Primary Ab dilution: 1:100000
Primary Ab incubation: 2 hours at room temperature
Secondary Ab: Goat Anti-Rabbit IgG H&L pAb (HRP Conjugate)
Exposure time: 10 seconds
Predicted band size: 15 kDa
Observed band size: 15 kDa

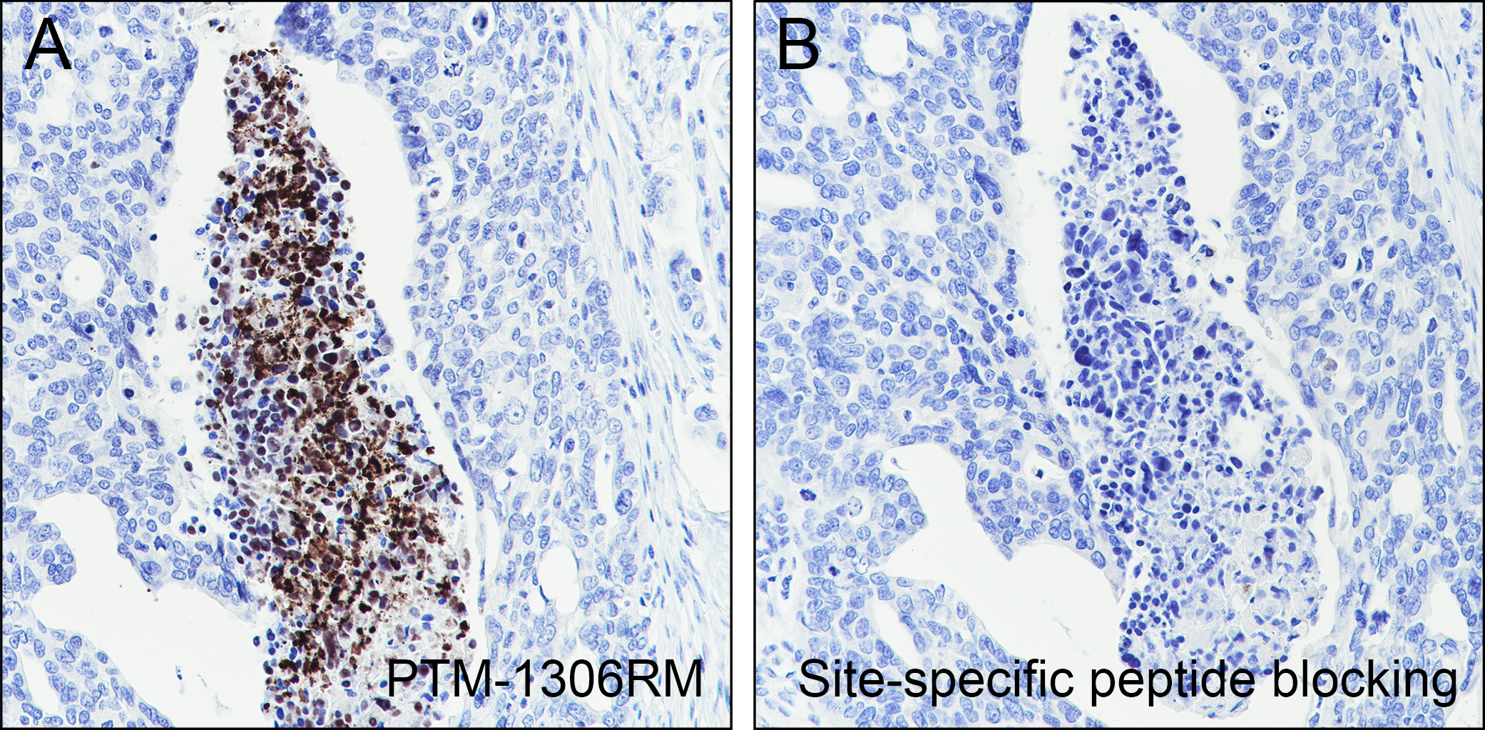
IHC-P

Tissue: Human ovarian carcinoma
Section type: Formalin-fixed & paraffin-embedded section
Retrieval method: High temperature and high pressure
Retrieval buffer: Tris/EDTA buffer, pH 9.0
Primary Ab dilution: 1:200
Primary Ab incubation: 1 hour at room temperature
Secondary Ab: Anti-Rabbit and Mouse Polymer HRP (Ready to Use)
Counter stain: Hematoxylin (blue)
Description: The brown color represents the positive signal observed with PTM-1306RM.

Research Use

For research use only, not for use in diagnostic procedures.