/ EN
Technical Support
| Contact Us
+1 312-802-6843
Technical Support
Contact Us
+1 312-802-6843
/ EN
Recover password
Professional Email
Verification Code
Send Code
Password
Recombinant Rabbit Monoclonal
Anti-COUP-TFII Rabbit mAb
Catalog Number: PTM-7113
$ 290

Clone Number: JRMR-11053-2

Host: Rabbit Clonality: Recombinant Monoclonal

Applications: WB IHC-P ChIP

Reactivity: Human, Mouse, Rat

Synonyms: ARP-1, Nuclear receptor subfamily 2 group F member 2

Product Size
100 μl
Quantity

Shipping: Ambient temperature

Order online or send purchase order to info@ptmbio.com

FAQ Technical Support Protocols

General Information
Isotype IgG
Conjugate Unconjugated
Synonyms ARP-1, Nuclear receptor subfamily 2 group F member 2
UniProt ID

P24468

Immunogen Peptide. This information is proprietary to PTMab.
MW (kDa) 46
Specificity Anti-COUP-TFII Rabbit mAb recognizes endogeneous level of COUP-TFII protein.
Product Usage Information
Applications Dilution Recommended Species
WB 1:500 - 1:1000 Human, Rat
IHC-P 1:50 - 1:100 Human, Mouse, Rat
ChIP 6 μg/2x106 cells Human
Properties
Purity Protein A purified
Constituents PBS, Glycerol, BSA
Storage Store at -20°C. Avoid freeze/thaw cycles.
Stability Stable for 12 months from date of receipt/reconstitution.
Target Information

Background

Chicken ovalbumin upstream promoter transcription factor (COUP-TF) belongs to the NR2 subfamily of the nuclear hormone receptor family. COUP-TFI and COUP-TFII are two of the well-characterized members in the NR2 subfamily. These two members are highly conserved in their two zinc-finger DNA binding domains (DBD) and the ligand binding domain (LBD), and function as repressors or activators of downstream target genes to regulate different biological processes. COUP-TFI and II bind to 5'-AGGTCA-3' motif palindromes, either directly or indirectly, through heterodimer formation with other proteins (e.g. RXRs) to regulate downstream target gene expression. COUP-TFI is involved in neuronal development, tissue patterning, and differentiation. COUP-TFII has been shown to be involved in angiogenesis, glucose homeostasis, and mesenchymal cell commitment.

Cellular location

Nucleus

Images
WB

Blocking buffer: 5% NFDM/TBST
Primary Ab dilution: 1:1000
Primary Ab incubation condition: 2 hours at room temperature
Secondary Ab: Goat Anti-Rabbit IgG H&L (HRP)
Lysate: 1: MCF-7, 2: K562, 3: PC-12
Protein loading amount: 20 μg
Exposure time: 60 s
Predicted MW: 46 kDa
Observed MW: 46 kDa

IHC-P

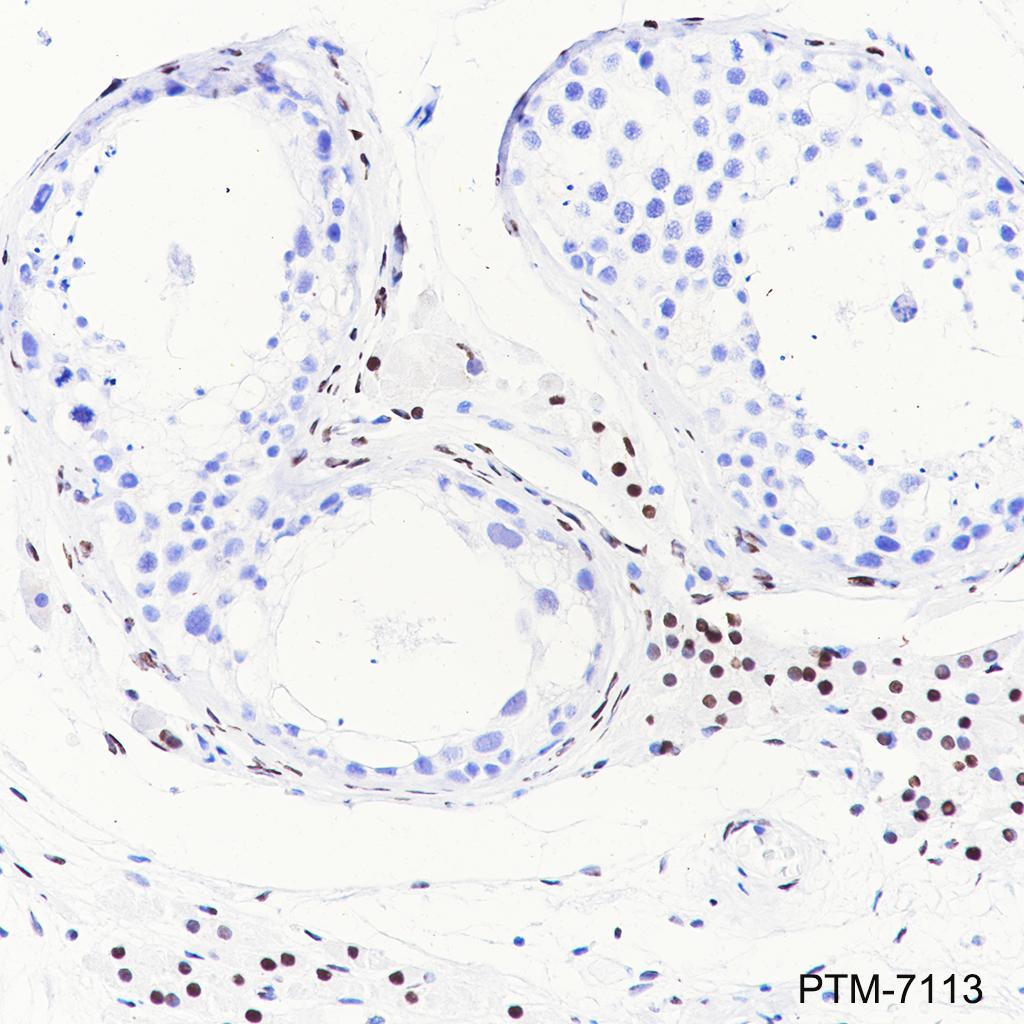
Tissue: Human testis
Section type: Formalin-fixed & paraffin-embedded section
Retrieval method: High temperature and high pressure
Retrieval buffer: Tris/EDTA buffer, pH 9.0
Primary Ab dilution: 1:100
Primary Ab incubation condition: 1 hour at room temperature
Secondary Ab: Anti-Rabbit and Mouse Polymer HRP (Ready to use)
Counter stain: Hematoxylin (blue)
Comment: Color brown is the positive signal for PTM-7113

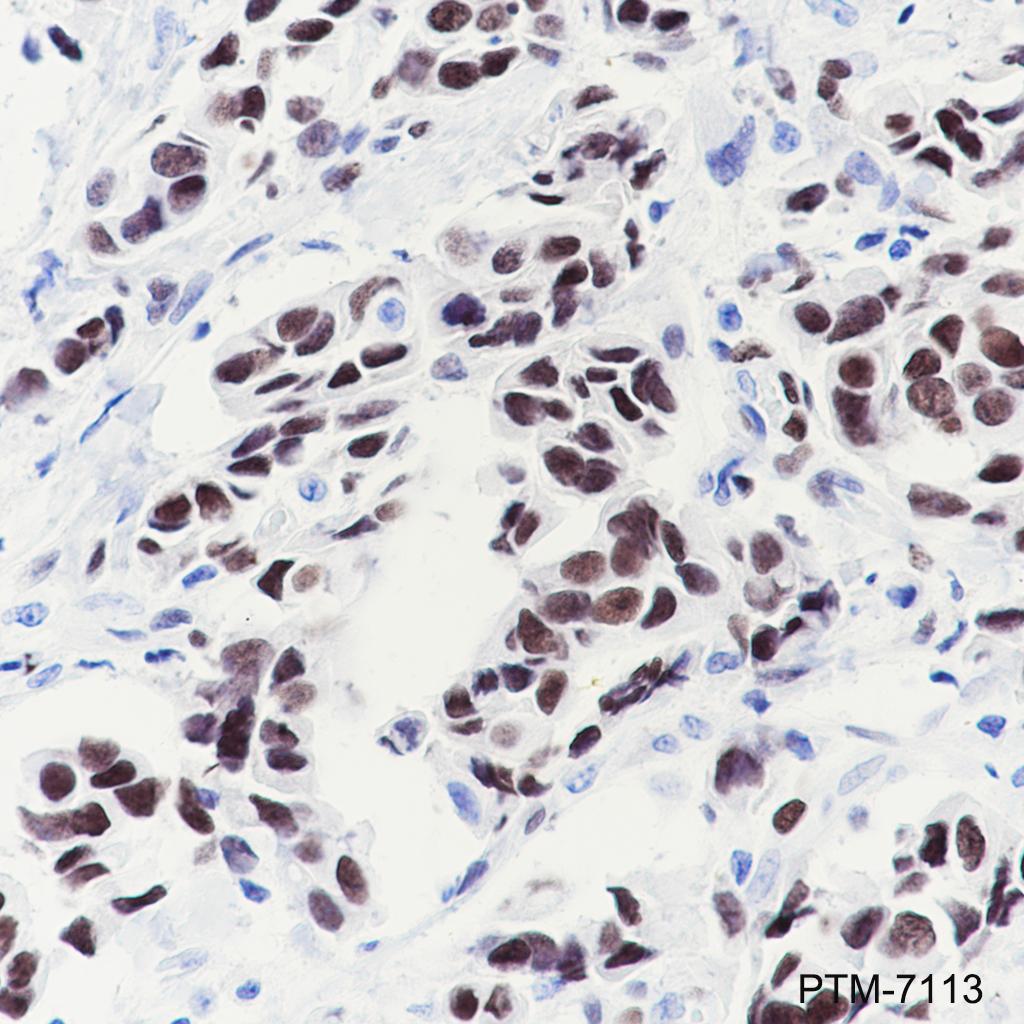
Tissue: Human breast carcinoma
Section type: Formalin-fixed & paraffin-embedded section
Retrieval method: High temperature and high pressure
Retrieval buffer: Tris/EDTA buffer, pH 9.0
Primary Ab dilution: 1:100
Primary Ab incubation condition: 1 hour at room temperature
Secondary Ab: Anti-Rabbit and Mouse Polymer HRP (Ready to use)
Counter stain: Hematoxylin (blue)
Comment: Color brown is the positive signal for PTM-7113

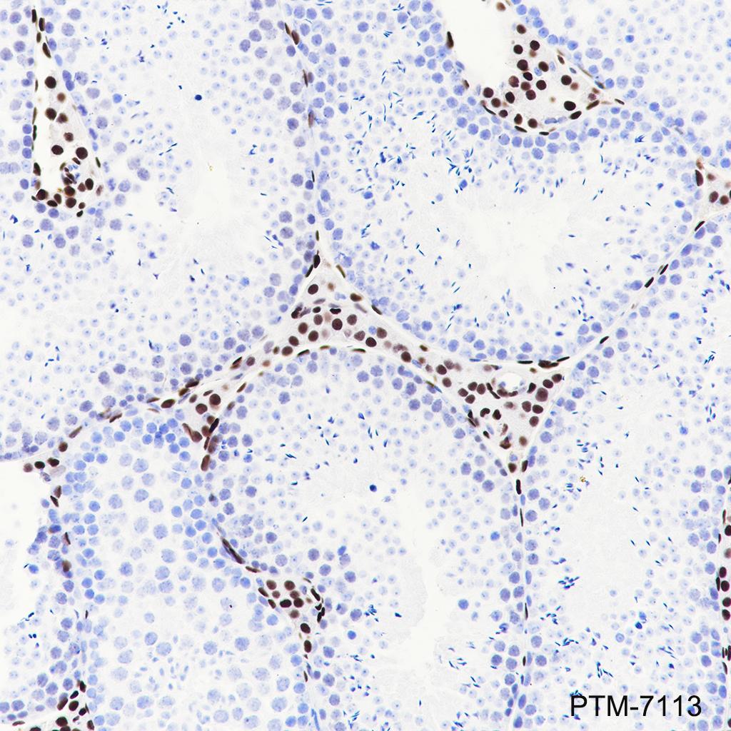
Tissue: Mouse testis
Section type: Formalin-fixed & paraffin-embedded section
Retrieval method: High temperature and high pressure
Retrieval buffer: Tris/EDTA buffer, pH 9.0
Primary Ab dilution: 1:100
Primary Ab incubation condition: 1 hour at room temperature
Secondary Ab: Anti-Rabbit and Mouse Polymer HRP (Ready to use)
Counter stain: Hematoxylin (blue)
Comment: Color brown is the positive signal for PTM-7113

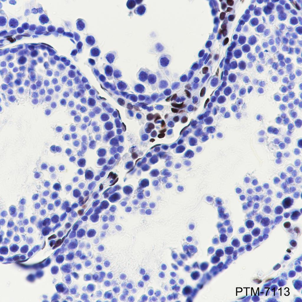
Tissue: Rat testis
Section type: Formalin-fixed & paraffin-embedded section
Retrieval method: High temperature and high pressure
Retrieval buffer: Tris/EDTA buffer, pH 9.0
Primary Ab dilution: 1:100
Primary Ab incubation condition: 1 hour at room temperature
Secondary Ab: Anti-Rabbit and Mouse Polymer HRP (Ready to use)
Counter stain: Hematoxylin (blue)
Comment: Color brown is the positive signal for PTM-7113

CHIP

Cell type: MCF-7
Cross-linking conditions: Cells were fixed with EGS for 30 minutes, then formaldehyde for 10 minutes.
Amount of chromatin per IP: 2×106 cells
Amount of Ab per IP: 6 μg
Beads type and amount per IP: 50 μL of Protein A MagBeads
Comment: The ChIP was performed with 6 μg of normal Rabbit IgG as a negative control. Real time quantitative PCR was performed on immunoprecipitated DNA using primers specific for the human TACSTD2 Exon, CYP24A1 Exon-1, CYP24A1 Exon-2, ZNF217 Exon-1 and ZNF217 Exon-2. Data are presented as enrichment of each sample relative to total amount of input chromatin at each amplicon. “NC” stands for negative control.

Research Use

For research use only, not for use in diagnostic procedures.