Background
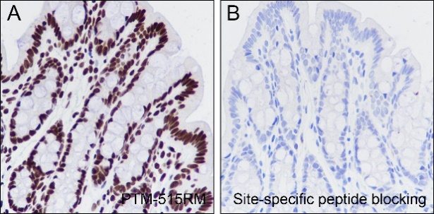
Histones are subject to a variety of enzyme catalyzed modifications, including acetylation, methylation, phosphorylation, ubiquitylation, etc. Crotonylation of lysine is a newly identified reversible modification controlling chromosome structure and gene transcription. The reversible lysine crotonylation has been well demonstrated in eukaryotic histones from worm to human. The unique structure and genomic localization of histone lysine crotonylation suggest that it is mechanistically and functionally different from histone lysine acetylation. Specifically, in both human somatic and mouse male germ cell genomes, histone crotonylation marks either active promoters or potential enhancers. Crotonylation of histone H3 at Lys4may play a vital role in the epigenetic modulation, including chromatin remodeling and DNA transcriptional regulation.
Cellular location
Nucleus
