/ EN
Technical Support
| Contact Us
+1 312-802-6843
Technical Support
Contact Us
+1 312-802-6843
/ EN
Recover password
Professional Email
Verification Code
Send Code
Password
Recombinant Rabbit Monoclonal
Anti-DARPP-32 Rabbit mAb
Catalog Number: PTM-7104
$ 280

Clone Number: JRMR-11116-43

Host: Rabbit Clonality: Recombinant Monoclonal

Applications: WB IHC-P

Reactivity: Mouse, Rat

Synonyms: Protein phosphatase 1 regulatory subunit 1B, Dopamine- and cAMP-regulated neuronal phosphoprotein, PPP1R1B, DARPP32

Product Size
100 μl
Quantity

Shipping: Ambient temperature

Order online or send purchase order to info@ptmbio.com

FAQ Technical Support Protocols

General Information
Isotype IgG
Conjugate Unconjugated
Synonyms Protein phosphatase 1 regulatory subunit 1B, Dopamine- and cAMP-regulated neuronal phosphoprotein, PPP1R1B, DARPP32
UniProt ID

Q9UD71

Immunogen Synthetic peptide derived from human protein phosphatase 1 regulatory subunit 1B
MW (kDa) 32
Specificity Anti-DARPP-32 Rabbit mAb recognizes endogeneous level of DARPP-32 protein.
Product Usage Information
Applications Dilution Recommended Species
WB 1:500 - 1:1000 Mouse, Rat
IHC-P 1:50 - 1:100 Mouse
Properties
Purity Protein A purified
Constituents PBS, Glycerol, BSA
Storage Store at -20°C. Avoid freeze/thaw cycles.
Stability Stable for 12 months from date of receipt/reconstitution.
Target Information

Background

DARPP-32 (dopamine and cyclic AMP-regulated phosphoprotein, relative molecular mass 32,000) is a cytosolic protein highly enriched in medium-sized spiny neurons of the neostriatum. It is a bifunctional signaling molecule that controls serine/threonine kinase and serine/threonine phosphatase activity. Dopamine stimulates phosphorylation of DARPP-32 through D1 receptors and activation of PKA. PKA phosphorylation of DARPP-32 at Thr34 converts it into an inhibitor of protein phosphatase 1. DARPP-32 is converted into an inhibitor of PKA when phosphorylated at Thr75 by cyclin-dependent kinase 5 (CDK5). Mice containing a targeted deletion of the DARPP-32 gene exhibit an altered biochemical, electrophysiological, and behavioral phenotype.

Cellular location

Cytoplasm, Nucleus

Images
WB

Blocking buffer: 5% NFDM/TBST
Primary Ab dilution: 1:1000
Primary Ab incubation condition: 2 hours at room temperature
Secondary Ab: Goat Anti-Rabbit IgG H&L (HRP)
Lysate: 1: Mouse brain, 2: Mouse cerebral cortex, 3: Rat brain, 4: Rat cerebral cortex
Protein loading amount: 20 μg
Exposure time: 60 s
Predicted MW: 32 kDa
Observed MW: 32 kDa

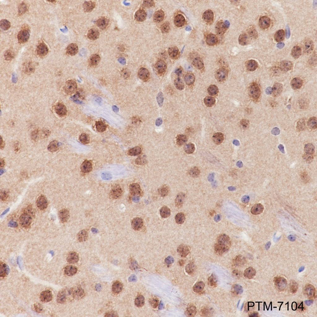
IHC-P

Tissue: Mouse cerebrum
Section type: Formalin-fixed & paraffin-embedded section
Retrieval method: High temperature and high pressure
Retrieval buffer: Tris/EDTA buffer, pH 9.0
Primary Ab dilution: 1:100
Primary Ab incubation condition: 1 hour at room temperature
Secondary Ab: Anti-Rabbit and Mouse Polymer HRP (Ready to use)
Counter stain: Hematoxylin (blue)
Comment: Color brown is the positive signal for PTM-7104

Tissue: Mouse choroid plexus
Section type: Formalin-fixed & paraffin-embedded section
Retrieval method: High temperature and high pressure
Retrieval buffer: Tris/EDTA buffer, pH 9.0
Primary Ab dilution: 1:100
Primary Ab incubation condition: 1 hour at room temperature
Secondary Ab: Anti-Rabbit and Mouse Polymer HRP (Ready to use)
Counter stain: Hematoxylin (blue)
Comment: Color brown is the positive signal for PTM-7104

Research Use

For research use only, not for use in diagnostic procedures.