/ EN
Technical Support
| Contact Us
+1 312-802-6843
Technical Support
Contact Us
+1 312-802-6843
/ EN
Recover password
Professional Email
Verification Code
Send Code
Password
Recombinant Rabbit Monoclonal
Anti-Dopamine beta Hydroxylase Rabbit mAb
Catalog Number: PTM-7109
$ 280

Clone Number: JRMR-11018-10

Host: Rabbit Clonality: Recombinant Monoclonal

Applications: IHC-P

Reactivity: Human

Synonyms: Dopamine beta monooxygenase, DBM, DOPO, DBH, Soluble dopamine beta-hydroxylase

Product Size
100 μl
Quantity

Shipping: Ambient temperature

Order online or send purchase order to info@ptmbio.com

FAQ Technical Support Protocols

General Information
Isotype IgG
Conjugate Unconjugated
Synonyms Dopamine beta monooxygenase, DBM, DOPO, DBH, Soluble dopamine beta-hydroxylase
UniProt ID

P09172

Immunogen Peptide. This information is proprietary to PTMab.
MW (kDa) /
Specificity Anti-Dopamine beta Hydroxylase Rabbit mAb recognizes endogeneous level of Dopamine beta Hydroxylase protein.
Product Usage Information
Applications Dilution Recommended Species
IHC-P 1:50 - 1:100 Human
Properties
Purity Protein A purified
Constituents PBS, Glycerol, BSA
Storage Store at -20°C. Avoid freeze/thaw cycles.
Stability Stable for 12 months from date of receipt/reconstitution.
Target Information

Background

Dopamine β-Hydroxylase (DBH) is an enzyme of the copper type II ascorbate-dependent mono-oxygenase family. This enzyme forms homotetramers composed of two noncovalently bound disulfide-linked dimers and is found as both membrane-associated and soluble forms. The soluble form is present in the lumen of secretory granules and is released from cells by exocytosis. DBH converts dopamine to noradrenaline. Deficiency in this enzyme causes a rare disease characterized by a complete absence of noradrenaline and adrenaline in plasma together with increased plasma dopamine levels. Orthostatic hypotension, the main symptom of DBH deficiency, can be alleviated by administration of dihydroxyphenylserine, a synthetic precursor of noradrenaline.

Cellular location

Cytoplasmic vesicle, Secreted

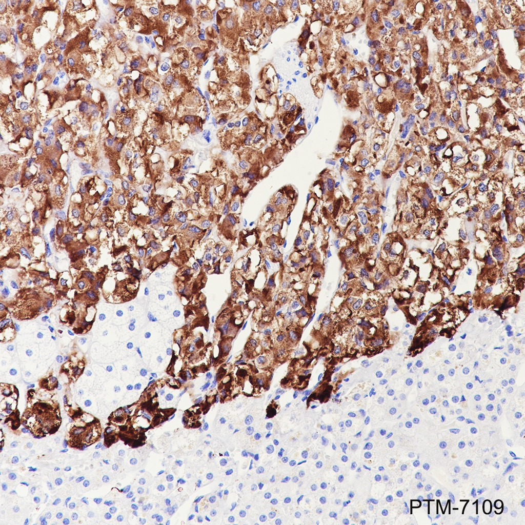
Images
IHC-P

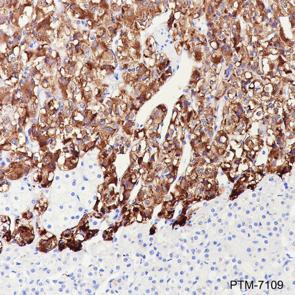
Tissue: Human adrenal gland
Section type: Formalin-fixed & paraffin-embedded section
Retrieval method: High temperature and high pressure
Retrieval buffer: Tris/EDTA buffer, pH 9.0
Primary Ab dilution: 1:100
Primary Ab incubation: 1 hour at room temperature
Secondary Ab: Anti-Rabbit and Mouse Polymer HRP (Ready to Use)
Counter stain: Hematoxylin (blue)
Description: The brown color represents the positive signal observed with PTM-7109

Tissue: Human kidney (Negative tissue)
Section type: Formalin-fixed & paraffin-embedded section
Retrieval method: High temperature and high pressure
Retrieval buffer: Tris/EDTA buffer, pH 9.0
Primary Ab dilution: 1:100
Primary Ab incubation: 1 hour at room temperature
Secondary Ab: Anti-Rabbit and Mouse Polymer HRP (Ready to Use)
Counter stain: Hematoxylin (blue)
Description: No staining on human kidney

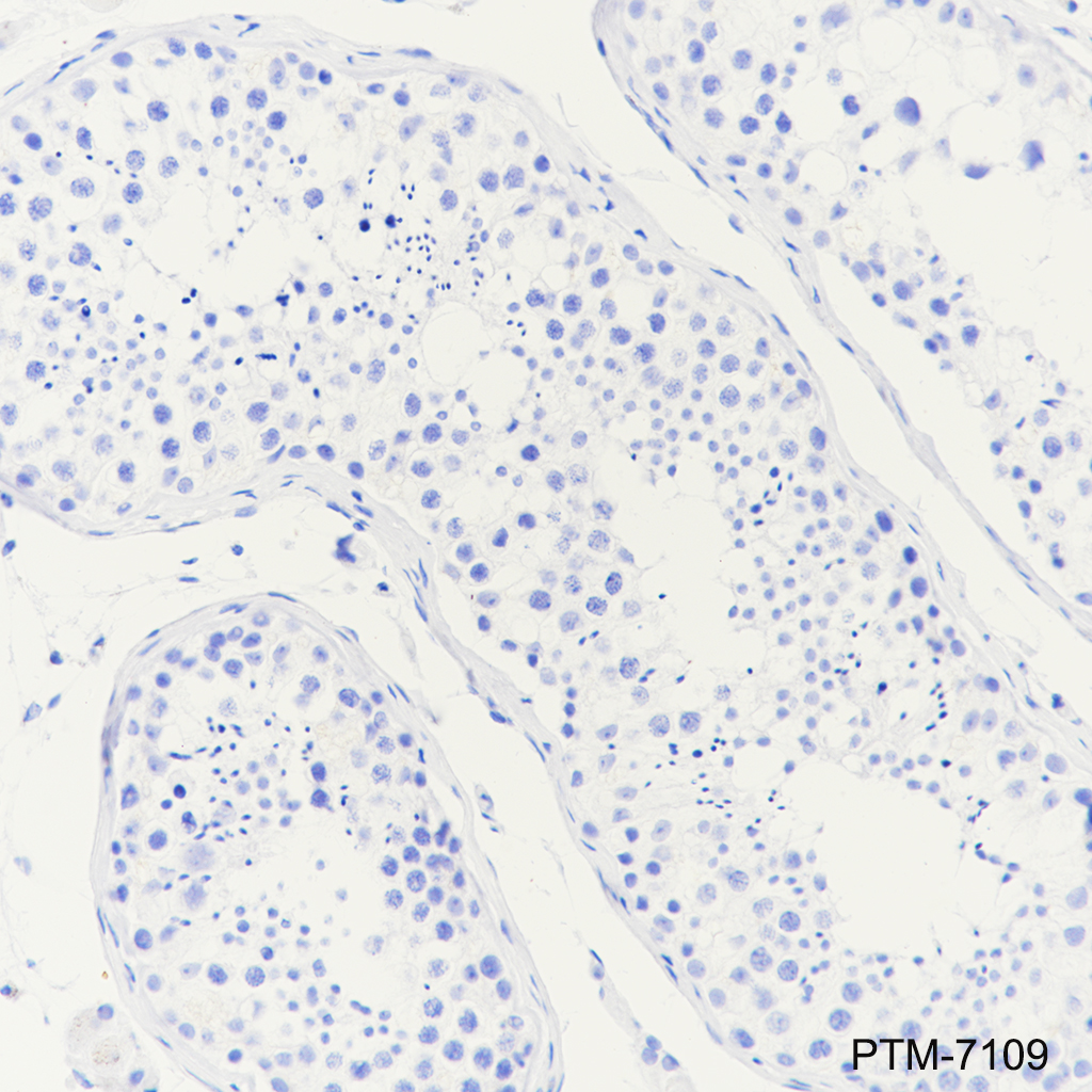
Tissue: Human testis (Negative tissue)
Section type: Formalin-fixed & paraffin-embedded section
Retrieval method: High temperature and high pressure
Retrieval buffer: Tris/EDTA buffer, pH 9.0
Primary Ab dilution: 1:100
Primary Ab incubation: 1 hour at room temperature
Secondary Ab: Anti-Rabbit and Mouse Polymer HRP (Ready to Use)
Counter stain: Hematoxylin (blue)
Description: No staining on human testis

Research Use

For research use only, not for use in diagnostic procedures.