/ EN
Technical Support
| Contact Us
+1 312-802-6843
Technical Support
Contact Us
+1 312-802-6843
/ EN
Recover password
Professional Email
Verification Code
Send Code
Password
Recombinant Rabbit Monoclonal
Anti-eEF1A2 Rabbit mAb
Catalog Number: PTM-7114
$ 280

Clone Number: JRMR-368-66

Host: Rabbit Clonality: Recombinant Monoclonal

Applications: WB IHC-P

Reactivity: Human, Mouse, Rat

Synonyms: Elongation factor 1-alpha 2, EF-1-alpha-2, Eukaryotic elongation factor 1 A-2 (eEF1A-2), Statin-S1, EEF1A2, EEF1AL, STN

Product Size
100 μl
Quantity

Shipping: Ambient temperature

Order online or send purchase order to info@ptmbio.com

FAQ Technical Support Protocols

General Information
Isotype IgG
Conjugate Unconjugated
Synonyms Elongation factor 1-alpha 2, EF-1-alpha-2, Eukaryotic elongation factor 1 A-2 (eEF1A-2), Statin-S1, EEF1A2, EEF1AL, STN
UniProt ID

Q05639

Immunogen Synthetic peptide derived from human elongation factor 1-alpha 2
MW (kDa) 50
Specificity Anti-eEF1A2 Rabbit mAb recognizes endogeneous level of eEF1A2 protein.
Product Usage Information
Applications Dilution Recommended Species
WB 1:500 - 1:1000 Human, Mouse, Rat
IHC-P 1:100-1:200 Human, Mouse, Rat
Properties
Purity Protein A purified
Constituents PBS, Glycerol, BSA
Storage Store at -20°C. Avoid freeze/thaw cycles.
Stability Stable for 12 months from date of receipt/reconstitution.
Target Information

Background

EEF1A2, also named as EEF1AL, STN and Statin-S1, belongs to the GTP-binding elongation factor family and EF-Tu/EF-1A subfamily. It promotes the GTP-dependent binding of aminoacyl-tRNA to the A-site of ribosomes during protein biosynthesis. EEF1A2 may be critical in the development of ovarian cancer. The MW of EEF1A2 is 50-53kd. This antibody can recognize both EEF1A1 and EEF1A2

Cellular location

Cytoplasm, Nucleus

Images
WB

Blocking buffer: 5% NFDM/TBST
Primary Ab dilution: 1:1000
Primary Ab incubation condition: 2 hours at room temperature
Secondary Ab: Goat Anti-Rabbit IgG H&L (HRP)
Lysate: 1: 293T, 2: Raji
Protein loading amount: 20 μg
Exposure time: 1 s
Predicted MW: 50 kDa
Observed MW: 50 kDa

Blocking buffer: 5% NFDM/TBST
Primary Ab dilution: 1:1000
Primary Ab incubation condition: 2 hours at room temperature
Secondary Ab: Goat Anti-Rabbit IgG H&L (HRP)
Lysate: 1: A431, 2: Mouse brain, 3: Rat brain
Protein loading amount: 20 μg
Exposure time: 10 s
Predicted MW: 50 kDa
Observed MW: 50 kDa

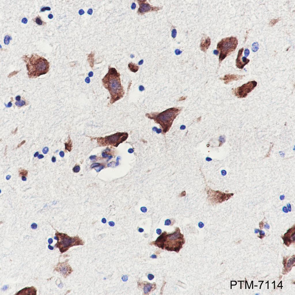
IHC-P

Tissue: Human cerebrum
Section type: Formalin-fixed & paraffin-embedded section
Retrieval method: High temperature and high pressure
Retrieval buffer: Tris/EDTA buffer, pH 9.0
Primary Ab dilution: 1:200
Primary Ab incubation condition: 1 hour at room temperature
Secondary Ab: Anti-Rabbit and Mouse Polymer HRP (Ready to use)
Counter stain: Hematoxylin (blue)
Comment: Color brown is the positive signal for PTM-7114

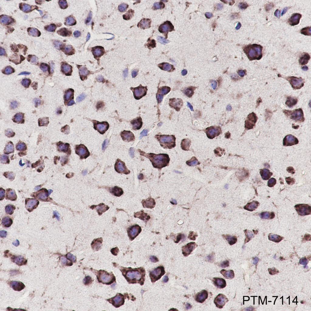
Tissue: Rat cerebrum
Section type: Formalin-fixed & paraffin-embedded section
Retrieval method: High temperature and high pressure
Retrieval buffer: Tris/EDTA buffer, pH 9.0
Primary Ab dilution: 1:200
Primary Ab incubation condition: 1 hour at room temperature
Secondary Ab: Anti-Rabbit and Mouse Polymer HRP (Ready to use)
Counter stain: Hematoxylin (blue)
Comment: Color brown is the positive signal for PTM-7114

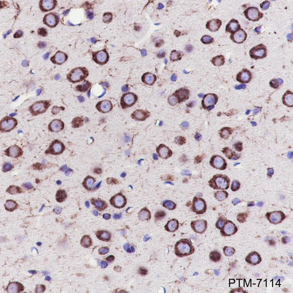
Tissue: Mouse cerebrum
Section type: Formalin-fixed & paraffin-embedded section
Retrieval method: High temperature and high pressure
Retrieval buffer: Tris/EDTA buffer, pH 9.0
Primary Ab dilution: 1:200
Primary Ab incubation condition: 1 hour at room temperature
Secondary Ab: Anti-Rabbit and Mouse Polymer HRP (Ready to use)
Counter stain: Hematoxylin (blue)
Comment: Color brown is the positive signal for PTM-7114

Research Use

For research use only, not for use in diagnostic procedures.

Recommended Products
  • View More Images(5)
    $ 290
    Anti-eEF1A2 Rabbit pAb
    Catalog #
    PTM-6843
    Host
    Rabbit
    Clonality
    Polyclonal
    Conjugate
    Unconjugated
    Reactivity
    Human, Mouse, Rat
    Applications:
    WB IHC-P ICC/IF FC IAP IP ChIP mIHC-P CUT&Tag