/ EN
Technical Support
| Contact Us
+1 312-802-6843
Technical Support
Contact Us
+1 312-802-6843
/ EN
Recover password
Professional Email
Verification Code
Send Code
Password
Anti-ENO1 Rabbit pAb
Catalog Number: PTM-6780
$ 290

Clone Number: /

Host: Rabbit Clonality: Polyclonal

Applications: WB IHC-P

Reactivity: Human, Mouse, Rat

Synonyms: Alpha-enolase, Enolase 1, MBP-1, MPB-1, NNE, ENO1L1, MBPB1

Product Size
100 μl
Quantity

Shipping: Ambient temperature

Order online or send purchase order to info@ptmbio.com

FAQ Technical Support Protocols

General Information
Isotype IgG
Conjugate Unconjugated
Synonyms Alpha-enolase, Enolase 1, MBP-1, MPB-1, NNE, ENO1L1, MBPB1
UniProt ID

P06733

Immunogen
MW (kDa) 47
Specificity
Product Usage Information
Applications Dilution Recommended Species
WB 1:1000 - 1:5000 Human, Mouse, Rat
IHC-P 1:200 - 1:1000 Human
Properties
Purity Protein A and immunogen affinity purified
Constituents PBS, Glycerol, BSA
Storage Store at -20°C. Avoid freeze/thaw cycles.
Stability Stable for 12 months from date of receipt/reconstitution.
Target Information

Background

ENO1, also named as NNE, ENO1L1, MBPB1 and MPB1, belongs to the enolase family. It is a multifunctional enzyme that, as well as its role in glycolysis, plays a part in various processes such as growth control, hypoxia tolerance and allergic responses. ENO1 may also function in the intravascular and pericellular fibrinolytic system due to its ability to serve as a receptor and activator of plasminogen on the cell surface of several cell-types such as leukocytes and neurons. It stimulates immunoglobulin production.

Cellular location

Nucleus, cytoplasm, cell membrane

Images
WB

Blocking buffer: 5% NFDM/TBST
Primary Ab dilution: 1:5000
Primary Ab incubation: 2 hours at room temperature
Secondary Ab: Goat Anti-Rabbit IgGH&L(HRP Conjugate)
Lysate: 1: MCF-7, 2: HeLa, 3: Human glioma, 4: Mouse brain, 5: Rat brain
Protein loading quantity: 20 μg
Exposure time: 3 s
Predicted band size: 47 kDa
Observed band size: 47 / 62 / 92 kDa

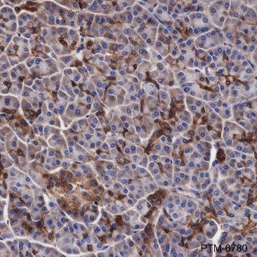
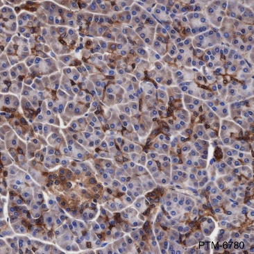
IHC-P

Tissue: Human pancreas
Section type: Formalin-fixed & Paraffin-embedded section
Retrieval method: High temperature and high pressure
Retrieval buffer: Tris/EDTA buffer, pH9.0
Primary Ab dilution: 1:1000
Primary Ab incubation: 1 hour at room temperature
Secondary Ab: Anti-Rabbit and Mouse Polymer HRP (Ready to Use)
Counter stain: Hematoxylin (Blue)
Description: The brown color represents the positive signal observed with PTM-6780

Research Use

For research use only, not for use in diagnostic procedures.

Recommended Products
  • View More Images(1)
    $ 280
    Recombinant Rabbit Monoclonal
    Anti-ENO1 Rabbit mAb
    Catalog #
    PTM-7348
    Host
    Rabbit
    Clonality
    Recombinant Monoclonal
    Conjugate
    Unconjugated
    Reactivity
    Human, Mouse, Rat
    Applications:
    WB IHC-P ICC/IF FC IAP IP ChIP mIHC-P CUT&Tag