/ EN
Technical Support
| Contact Us
+1 312-802-6843
Technical Support
Contact Us
+1 312-802-6843
/ EN
Recover password
Professional Email
Verification Code
Send Code
Password
Recombinant
Anti-Glycophorin A Mouse mAb
Catalog Number: PTM-5563
$ 280

Clone Number: 11330

Host: Mouse Clonality: Recombinant Monoclonal

Applications: IHC-P FC

Reactivity: Human

Synonyms: GPA, GYPA

Product Size
100 μl
Quantity

Shipping: Ambient temperature

Order online or send purchase order to info@ptmbio.com

FAQ Technical Support Protocols

General Information
Isotype IgG1
Conjugate Unconjugated
Synonyms GPA, GYPA
UniProt ID

P02724

Immunogen
MW (kDa)
Specificity
Product Usage Information
Applications Dilution Recommended Species
IHC-P 1:50 - 1:100 Human
FC 1:50 - 1:100 Human
Properties
Purity Protein G purified
Constituents PBS, Glycerol, BSA
Storage Store at -20°C. Avoid freeze/thaw cycles.
Stability Stable for 12 months from date of receipt/reconstitution.
Target Information

Background

Glycophorin A is the major intrinsic membrane protein of the erythrocyte. The N-terminal glycosylated segment, which lies outside the erythrocyte membrane, has MN blood group receptors. Appears to be important for the function of SLC4A1 and is required for high activity of SLC4A1. May be involved in translocation of SLC4A1 to the plasma membrane. Is a receptor for influenza virus. Is a receptor for Plasmodium falciparum erythrocyte-binding antigen 175 (EBA-175); binding of EBA-175 is dependent on sialic acid residues of the O-linked glycans. Appears to be a receptor for Hepatitis A virus (HAV).

Cellular location

Membrane

Images
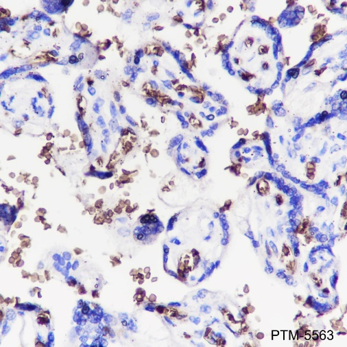
IHC-P

Tissue: Human placenta
Section type: Formalin-fixed & Paraffin-embedded section
Retrieval method: High temperature and high pressure
Retrieval buffer: Tris/EDTA buffer, pH 9.0
Primary Ab dilution: 1:100
Primary Ab incubation: 1 hour at room temperature
Secondary Ab: Anti-Rabbit and Mouse Polymer HRP (Ready to Use)
Counter stain: Hematoxylin (Blue)
Description: The brown color represents the positive signal observed with PTM-5563

FC

Cell line: K-562
Fixative: Unfixed
Permeabilization: None
Primary Ab dilution: 1:100
Secondary Ab: Goat anti Mouse IgG
Unlabeled control: Cells without incubation with primary and secondary antibodies (Black line).
Isotype control: Mouse monoclonal IgG1 (Blue line).
Description: Line red is the positive signal for PTM-5563

Research Use

For research use only, not for use in diagnostic procedures.

Recommended Products
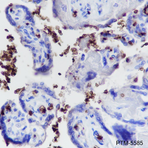
  • View More Images(2)
    $ 290
    Recombinant Rabbit Monoclonal
    Anti-Glycophorin A Rabbit mAb
    Catalog #
    PTM-5585
    Host
    Rabbit
    Clonality
    Recombinant Monoclonal
    Conjugate
    Unconjugated
    Reactivity
    Human
    Applications:
    WB IHC-P ICC/IF FC IAP IP ChIP mIHC-P CUT&Tag
  • View More Images(3)
    $ 280
    Recombinant Rabbit Monoclonal
    Anti-Glycophorin C Rabbit mAb
    Catalog #
    PTM-5610
    Host
    Rabbit
    Clonality
    Recombinant Monoclonal
    Conjugate
    Unconjugated
    Reactivity
    Human
    Applications:
    WB IHC-P ICC/IF FC IAP IP ChIP mIHC-P CUT&Tag