/ EN
Technical Support
| Contact Us
+1 312-802-6843
Technical Support
Contact Us
+1 312-802-6843
/ EN
Recover password
Professional Email
Verification Code
Send Code
Password
Recombinant
Anti-HAT1 Mouse mAb
Catalog Number: PTM-5195
$ 280

Clone Number: 13237

Host: Mouse Clonality: Recombinant Monoclonal

Applications: WB IHC-P

Reactivity: Human, Mouse, Rat

Synonyms: Histone acetyltransferase type B catalytic subunit, Histone acetyltransferase 1, KAT1

Product Size
100 μl
Quantity

Shipping: Ambient temperature

Order online or send purchase order to info@ptmbio.com

FAQ Technical Support Protocols

General Information
Isotype IgG1
Conjugate Unconjugated
Synonyms Histone acetyltransferase type B catalytic subunit, Histone acetyltransferase 1, KAT1
UniProt ID

O14929

Immunogen Synthetic peptide derived from human HAT1
MW (kDa) 50
Specificity Anti-HAT1 Mouse mAb recognizes endogeneous level of HAT1 protein.
Product Usage Information
Applications Dilution Recommended Species
WB 1:1000 Human, Mouse, Rat
IHC-P 1:50 - 1:100 Human, Mouse, Rat
Properties
Purity Protein G purified
Constituents PBS, Glycerol, BSA
Storage Store at -20°C. Avoid freeze/thaw cycles.
Stability Stable for 12 months from date of receipt/reconstitution.
Target Information

Background

Acetylates soluble but not nucleosomal histone H4 at'Lys-5' (H4K5ac) and 'Lys-12' (H4K12ac) and, to a lesser extent, acetylates histone H2A at 'Lys-5' (H2AK5ac). Has intrinsic substrate specificity that modifies lysine in recognition sequence GXGKXG. May be involved in nucleosome assembly during DNA replication and repair as part of the histone H3.1 and H3.3 complexes. May play a role in DNA repair in response to free radical damage

Cellular location

Nucleus, Cytoplasm

Images
WB

Blocking buffer: 5% NFDM/TBST
Primary Ab dilution: 1000
Primary Ab incubation: 2 hours at room temperature
Lysate: HeLa, HepG2, Neuro-2a, EL4.IL-2, BRL
Protein loading quantity: 20 μg
Exposure time: 180 s
Predicted band size: 50 kDa
Observed band size: 50 k

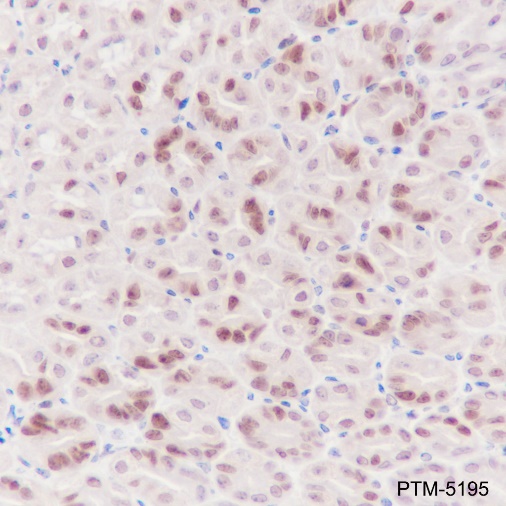
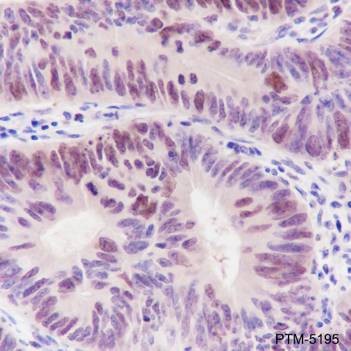
IHC-P

Tissue: Human colon cancer
Section type: Formalin fixed & Paraffin -embedded section
Retrieval method: High temperature and high pressure
Retrieval buffer: Tris/EDTA buffer, pH 9.0
Primary Ab dilution: 1:100
Primary Ab incubation: 1 hour at room temperature
Counter stain: Hematoxylin
Description: The brown color represents the positive signal observed with PTM-5195

Tissue: Mouse stomach
Section type: Formalin fixed & Paraffin -embedded section
Retrieval method: High temperature and high pressure
Retrieval buffer: Tris/EDTA buffer, pH 9.0
Primary Ab dilution: 1:100
Primary incubation condition: 1 hour at room temperature
Counter stain: Hematoxylin
Description: The brown color represents the positive signal observed with PTM-5195

Tissue: Rat testis
Section type: Formalin fixed & Paraffin -embedded section
Retrieval method: High temperature and high pressure
Retrieval buffer: Tris/EDTA buffer, pH 9.0
Primary Ab dilution: 1:100
Primary incubation condition: 1 hour at room temperature
Counter stain: Hematoxylin
Description: The brown color represents the positive signal observed with PTM-5195

Research Use

For research use only, not for use in diagnostic procedures.

Recommended Products
  • View More Images(5)
    $ 125
    Recombinant
    Mouse mAb IgG1 Isotype Control
    Catalog #
    PTM-5283
    Host
    Mouse
    Clonality
    Recombinant Monoclonal
    Conjugate
    Unconjugated
    Reactivity
    Human, Mouse, Rat
    Applications:
    WB IHC-P ICC/IF FC IAP IP ChIP mIHC-P CUT&Tag
  • View More Images(5)
    $ 345
    Anti-Acetyl-Histone H4 (Lys5) Rabbit pAb
    Catalog #
    PTM-119
    Host
    Rabbit
    Clonality
    Polyclonal
    Conjugate
    Unconjugated
    Reactivity
    Human, Mouse, Rat
    Applications:
    WB IHC-P ICC/IF FC IAP IP ChIP mIHC-P CUT&Tag
  • View More Images(6)
    $ 320
    Recombinant
    Anti-Acetyl-Histone H4 (Lys12) Mouse mAb
    Catalog #
    PTM-192
    Host
    Mouse
    Clonality
    Recombinant Monoclonal
    Conjugate
    Unconjugated
    Reactivity
    Human, Mouse, Rat
    Applications:
    WB IHC-P ICC/IF FC IAP IP ChIP mIHC-P CUT&Tag