/ EN
Technical Support
| Contact Us
+1 312-802-6843
Technical Support
Contact Us
+1 312-802-6843
/ EN
Recover password
Professional Email
Verification Code
Send Code
Password
Recombinant Rabbit Monoclonal
Anti-Histone H2A Rabbit pAb
Catalog Number: PTM-1008
References (2)
$ 270

Clone Number: /

Host: Rabbit Clonality: Polyclonal

Applications: WB IHC-P

Reactivity: Human, Mouse, Rat, Monkey

Synonyms: Histone 2A type 1-B/E, Histone H2A.2, Histone H2A/a, Histone H2A/m, H2AC4, H2AFM, HIST1H2AB, H2AC8, H2AFA, HIST1H2AE

Product Size
100μl

Shipping: Ambient temperature

Order online or send purchase order to info@ptmbio.com

FAQ Technical Support Protocols

General Information
Isotype IgG
Conjugate Unconjugated
Synonyms Histone 2A type 1-B/E, Histone H2A.2, Histone H2A/a, Histone H2A/m, H2AC4, H2AFM, HIST1H2AB, H2AC8, H2AFA, HIST1H2AE
UniProt ID

P04908

Immunogen Synthetic peptide corresponding to the C-terminus of human histone H2A protein
MW (kDa) 14
Specificity Anti-Histone H2A Rabbit pAb detects endogenous levels of total histone H2A protein. It does not cross-react with other histone or non-histone proteins.
Product Usage Information
Applications Dilution Recommended Species
WB 1:500 - 1:2000 Human, Mouse, Rat, Monkey
IHC-P 1:100 - 1:500 Human
Properties
Purity Protein A and immunogen affinity purified
Constituents PBS, Glycerol, BSA
Storage Store at -20°C. Avoid freeze/thaw cycles.
Stability Stable for 12 months from date of receipt/reconstitution.
Target Information

Background

Histones are a family of basic proteins that form the core of the nucleosome – the fundamental structural unit of chromatin. In a single nucleosome, core histone proteins H2A, H2B, H3, and H4 form an octamer around which the DNA is tightly wrapped. Among these core histones, the H2A family shows the highest sequence divergence, especially in the C-terminal region, leading to variants including H2A.Z, H2A.X, MacroH2A, H2A.B etc. Histone H2A helps regulate chromatin structure and function through specialized variants and a wide variety of post-translational modifications (PTMs). These PTMs including acetylation, ubiquitination, methylation, phosphorylation, and novel acylations directly affect the accessibility of chromatin to transcription factors and other epigenetic regulators, altering genome stability and gene transcription.

Cellular location

Nucleus

Images
WB

Lysates: HeLa, COS-7, BRL, mouse liver, mouse kidney
Protein loading amount: 20 μg
Blocking buffer: 5% NFDM/TBST
Primary Ab dilution: 1:2000
Primary Ab incubation: 2 hours at room temperature
Secondary Ab: Goat Anti-Rabbit IgG H&L pAb (HRP Conjugate)
Exposure time: 60 seconds
Predicted band size: 14 kDa
Observed band size: 14 kDa

Lysates: (-) HeLa; (+) HeLa cells treated with 30 mM sodium butyrate for 4 hours
Protein loading amount: 20 μg
Blocking buffer: 5% NFDM/TBST
Primary Ab dilution: 1:2000
Primary Ab incubation: 2 hours at room temperature
Secondary Ab: Goat Anti-Rabbit IgG H&L pAb (HRP Conjugate)
Exposure time: 60 seconds
Predicted band size: 14 kDa
Observed band size: 14 kDa

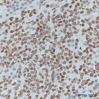
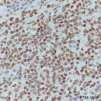
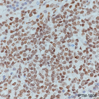
IHC-P

Tissue: Human neuroblastoma
Section type: Formalin fixed & paraffin-embedded section
Retrieval method: High temperature and high pressure
Retrieval buffer: Tris/EDTA buffer, pH 9.0
Primary Ab dilution: 1:500
Primary Ab incubation: 1 hour at room temperature
Secondary Ab: Anti-Rabbit and Mouse Polymer HRP (Ready to Use)
Counter stain: Hematoxylin (blue)
Description: The brown color represents the positive signal observed with PTM-1008.

Research Use

For research use only, not for use in diagnostic procedures.

Recommended Products
  • View More Images(4)
    $ 135
    Recombinant Rabbit Monoclonal
    Goat Anti-Rabbit IgG H&L pAb (HRP Conjugate)
    Catalog #
    PTM-6261
    Host
    Goat
    Clonality
    Polyclonal
    Conjugate
    HRP
    Reactivity
    Rabbit
    Applications:
    WB IHC-P ICC/IF FC IAP IP ChIP mIHC-P CUT&Tag
  • View More Images(4)
    $ 280
    Recombinant
    Anti-HAT1 Mouse mAb
    Catalog #
    PTM-5195
    Host
    Mouse
    Clonality
    Recombinant Monoclonal
    Conjugate
    Unconjugated
    Reactivity
    Human, Mouse, Rat
    Applications:
    WB IHC-P ICC/IF FC IAP IP ChIP mIHC-P CUT&Tag
  • View More Images(1)
    $ 280
    Recombinant
    Anti-PRMT1 Mouse mAb
    Catalog #
    PTM-5154
    Host
    Mouse
    Clonality
    Recombinant Monoclonal
    Conjugate
    Unconjugated
    Reactivity
    Human, Mouse, Rat
    Applications:
    WB IHC-P ICC/IF FC IAP IP ChIP mIHC-P CUT&Tag
  • View More Images(6)
    $ 290
    Recombinant Rabbit Monoclonal
    Anti-RING1B Rabbit mAb
    Catalog #
    PTM-6605
    Host
    Rabbit
    Clonality
    Recombinant Monoclonal
    Conjugate
    Unconjugated
    Reactivity
    Human, Mouse, Rat
    Applications:
    WB IHC-P ICC/IF FC IAP IP ChIP mIHC-P CUT&Tag
  • View More Images(4)
    $ 280
    Recombinant Rabbit Monoclonal
    Anti-Histone H2A.Z Rabbit mAb
    Catalog #
    PTM-7034
    Host
    Rabbit
    Clonality
    Recombinant Monoclonal
    Conjugate
    Unconjugated
    Reactivity
    Human, Mouse, Rat
    Applications:
    WB IHC-P ICC/IF FC IAP IP ChIP mIHC-P CUT&Tag
  • View More Images(2)
    $ 260
    Recombinant Rabbit Monoclonal
    Anti-Histone H2A.X Mouse mAb
    Catalog #
    PTM-1005
    Host
    Mouse
    Clonality
    Monoclonal
    Conjugate
    Unconjugated
    Reactivity
    Human, Mouse, Rat
    Applications:
    WB IHC-P ICC/IF FC IAP IP ChIP mIHC-P CUT&Tag
  • View More Images(6)
    $ 320
    Recombinant Rabbit Monoclonal
    Anti-Ubiquityl-Histone H2A (Lys119) Rabbit mAb
    Catalog #
    PTM-1121
    Host
    Rabbit
    Clonality
    Recombinant Monoclonal
    Conjugate
    Unconjugated
    Reactivity
    Human, Mouse, Rat
    Applications:
    WB IHC-P ICC/IF FC IAP IP ChIP mIHC-P CUT&Tag
  • View More Images(6)
    $ 320
    Recombinant Rabbit Monoclonal
    Anti-Acetyl-Histone H2A (Lys5) Rabbit mAb
    Catalog #
    PTM-106RM
    Host
    Rabbit
    Clonality
    Recombinant Monoclonal
    Conjugate
    Unconjugated
    Reactivity
    Human, Mouse, Rat
    Applications:
    WB IHC-P ICC/IF FC IAP IP ChIP mIHC-P CUT&Tag
  • View More Images(3)
    $ 420
    Recombinant Rabbit Monoclonal
    Anti-Propionyl-Histone H2A (Lys125) Rabbit mAb
    Catalog #
    PTM-217RM
    Host
    Rabbit
    Clonality
    Recombinant Monoclonal
    Conjugate
    Unconjugated
    Reactivity
    Human
    Applications:
    WB IHC-P ICC/IF FC IAP IP ChIP mIHC-P CUT&Tag
  • View More Images(4)
    $ 420
    Recombinant Rabbit Monoclonal
    Anti-Butyryl-Histone H2A (Lys5) Mouse mAb
    Catalog #
    PTM-327
    Host
    Mouse
    Clonality
    Monoclonal
    Conjugate
    Unconjugated
    Reactivity
    Human, Mouse, Rat
    Applications:
    WB IHC-P ICC/IF FC IAP IP ChIP mIHC-P CUT&Tag
  • View More Images(2)
    $ 420
    Recombinant Rabbit Monoclonal
    Anti-Crotonyl-Histone H2A (Lys119) Rabbit mAb
    Catalog #
    PTM-543
    Host
    Rabbit
    Clonality
    Recombinant Monoclonal
    Conjugate
    Unconjugated
    Reactivity
    Rat
    Applications:
    WB IHC-P ICC/IF FC IAP IP ChIP mIHC-P CUT&Tag
  • View More Images(3)
    $ 335
    Anti-Phospho-Histone H2A (Thr120) Rabbit pAb
    Catalog #
    PTM-718
    Host
    Rabbit
    Clonality
    Polyclonal
    Conjugate
    Unconjugated
    Reactivity
    Human, Mouse, Rat
    Applications:
    WB IHC-P ICC/IF FC IAP IP ChIP mIHC-P CUT&Tag
References (2)
  • Global Analysis of the Lysine Acetylome in Macrophages from Salt-sensitive Hypertensive Rats
    Year 2025
    Journal Appl Biochem Biotechnol
    Authors Xie Di, et al.
    Applications Unspecified
    Reactivity
  • Quantitative Proteomic Analysis Reveals the Sites Related to Acetylation and Mechanism of ACY-1215 in Acute Liver Failure Mice
    Year 2019
    Journal Front Pharmacol
    Authors Zhang Wen-bin, et al.
    Applications Unspecified
    Reactivity