/ EN
Technical Support
| Contact Us
+1 312-802-6843
Technical Support
Contact Us
+1 312-802-6843
/ EN
Recover password
Professional Email
Verification Code
Send Code
Password
Anti-Histone H2B Rabbit pAb
Catalog Number: PTM-1007
$ 280

Clone Number: /

Host: Rabbit Clonality: Polyclonal

Applications: WB IHC-P

Reactivity: Human, Mouse, Rat, Monkey

Synonyms: Histone H2B type 1-C/E/F/G/I, Histone H2B.1A, H2BC4, H2BFL, HIST1H2BC, Histone H2B.a (H2B/a), Histone H2B.g (H2B/g), Histone H2B.h (H2B/h)

Product Size
100 μl
Quantity

Shipping: Ambient temperature

Order online or send purchase order to info@ptmbio.com

FAQ Technical Support Protocols

General Information
Isotype IgG
Conjugate Unconjugated
Synonyms Histone H2B type 1-C/E/F/G/I, Histone H2B.1A, H2BC4, H2BFL, HIST1H2BC, Histone H2B.a (H2B/a), Histone H2B.g (H2B/g), Histone H2B.h (H2B/h)
UniProt ID

P62807

Immunogen Synthetic peptide corresponding to the C-terminus of human histone H2B protein
MW (kDa) 14
Specificity Anti-Histone H2B Rabbit pAb detects endogenous levels of total histone H2B protein. It does not cross-react with other histone or non-histone proteins.
Product Usage Information
Applications Dilution Recommended Species
WB 1:500 - 1:2000 Human, Mouse, Rat, Monkey
IHC-P 1:100 - 1:500 Human
Properties
Purity Protein A and immunogen affinity purified
Constituents PBS, Glycerol, BSA
Storage Store at -20°C. Avoid freeze/thaw cycles.
Stability Stable for 12 months from date of receipt/reconstitution.
Target Information

Background

Histones are a family of basic proteins that form the core of the nucleosome – the fundamental structural unit of chromatin. In a single nucleosome, core histone proteins H2A, H2B, H3, and H4 form an octamer around which the DNA is tightly wrapped. Histone proteins not only serve to compact chromosomal DNA but also play vital roles in the dynamic and long-term regulation of genes by a wide variety of post-translational modifications (PTMs). These PTMs including acetylation, methylation, phosphorylation, and novel acylations directly affect the accessibility of chromatin to transcription factors and other epigenetic regulators, altering genome stability and gene transcription. Histone H2B is primarily acetylated at Lys5, 12, 15, and 20, and phosphorylated at Ser14. Mono-ubiquitination of histone H2B at Lys120 triggers downstream lysine methylation on histone H3 and introduces changes in chromatin structure.

Cellular location

Nucleus

Images
WB

Lysates: HeLa, COS-7, BRL, N2a, rH2B
Protein loading amount: 20 μg
Blocking buffer: 5% NFDM/TBST
Primary Ab dilution: 1:2000
Primary Ab incubation: 2 hours at room temperature
Secondary Ab: Goat Anti-Rabbit IgG H&L pAb (HRP Conjugate)
Exposure time: 60 seconds
Predicted band size: 14 kDa
Observed band size: 14 kDa

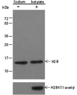
Lysates: (-) HeLa; (+) HeLa cells treated with 30 mM sodium butyrate for 4 hours
Protein loading amount: 20 μg
Blocking buffer: 5% NFDM/TBST
Primary Ab dilution: 1:2000
Primary Ab incubation: 2 hours at room temperature
Secondary Ab: Goat Anti-Rabbit IgG H&L pAb (HRP Conjugate)
Exposure time: 60 seconds
Predicted band size: 14 kDa
Observed band size: 14 kDa

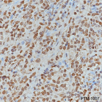
IHC-P

Tissue: Human neuroblastoma
Section type: Formalin fixed & paraffin-embedded section
Retrieval method: High temperature and high pressure
Retrieval buffer: Tris/EDTA buffer, pH 9.0
Primary Ab dilution: 1:500
Primary Ab incubation: 1 hour at room temperature
Secondary Ab: Anti-Rabbit and Mouse Polymer HRP (Ready to Use)
Counter stain: Hematoxylin (blue)
Description: The brown color represents the positive signal observed with PTM-1007.

Research Use

For research use only, not for use in diagnostic procedures.

Recommended Products
  • View More Images(3)
    $ 270
    Anti-Histone H2B Mouse mAb
    Catalog #
    PTM-1006
    Host
    Mouse
    Clonality
    Monoclonal
    Conjugate
    Unconjugated
    Reactivity
    Human, Mouse, Rat
    Applications:
    WB IHC-P ICC/IF FC IAP IP ChIP mIHC-P CUT&Tag
  • View More Images(7)
    $ 250
    Recombinant Rabbit Monoclonal
    Anti-Histone H2B Rabbit mAb
    Catalog #
    PTM-1007RM
    Host
    Rabbit
    Clonality
    Recombinant Monoclonal
    Conjugate
    Unconjugated
    Reactivity
    Human, Mouse, Rat
    Applications:
    WB IHC-P ICC/IF FC IAP IP ChIP mIHC-P CUT&Tag
  • View More Images(4)
    $ 135
    Goat Anti-Rabbit IgG H&L pAb (HRP Conjugate)
    Catalog #
    PTM-6261
    Host
    Goat
    Clonality
    Polyclonal
    Conjugate
    HRP
    Reactivity
    Rabbit
    Applications:
    WB IHC-P ICC/IF FC IAP IP ChIP mIHC-P CUT&Tag
  • View More Images(2)
    $ 285
    Recombinant Rabbit Monoclonal
    Anti-CBP Rabbit mAb
    Catalog #
    PTM-5281
    Host
    Rabbit
    Clonality
    Recombinant Monoclonal
    Conjugate
    Unconjugated
    Reactivity
    Human
    Applications:
    WB IHC-P ICC/IF FC IAP IP ChIP mIHC-P CUT&Tag
  • View More Images(1)
    $ 280
    Recombinant
    Anti-PRMT1 Mouse mAb
    Catalog #
    PTM-5154
    Host
    Mouse
    Clonality
    Recombinant Monoclonal
    Conjugate
    Unconjugated
    Reactivity
    Human, Mouse, Rat
    Applications:
    WB IHC-P ICC/IF FC IAP IP ChIP mIHC-P CUT&Tag
  • View More Images(1)
    $ 280
    Recombinant Rabbit Monoclonal
    Anti-RNF40 Rabbit mAb
    Catalog #
    PTM-7197
    Host
    Rabbit
    Clonality
    Recombinant Monoclonal
    Conjugate
    Unconjugated
    Reactivity
    Human
    Applications:
    WB IHC-P ICC/IF FC IAP IP ChIP mIHC-P CUT&Tag
  • View More Images(2)
    $ 280
    Recombinant Rabbit Monoclonal
    Anti-PKC alpha Rabbit mAb
    Catalog #
    PTM-6291
    Host
    Rabbit
    Clonality
    Recombinant Monoclonal
    Conjugate
    Unconjugated
    Reactivity
    Human, Mouse, Rat
    Applications:
    WB IHC-P ICC/IF FC IAP IP ChIP mIHC-P CUT&Tag
  • View More Images(1)
    $ 280
    Recombinant Rabbit Monoclonal
    Anti-AMPK alpha 1 + AMPK alpha 2 Rabbit mAb
    Catalog #
    PTM-6739
    Host
    Rabbit
    Clonality
    Recombinant Monoclonal
    Conjugate
    Unconjugated
    Reactivity
    Human
    Applications:
    WB IHC-P ICC/IF FC IAP IP ChIP mIHC-P CUT&Tag
  • View More Images(2)
    $ 285
    Recombinant Rabbit Monoclonal
    Anti-PKC delta Rabbit mAb
    Catalog #
    PTM-6206
    Host
    Rabbit
    Clonality
    Recombinant Monoclonal
    Conjugate
    Unconjugated
    Reactivity
    Human, Mouse, Rat
    Applications:
    WB IHC-P ICC/IF FC IAP IP ChIP mIHC-P CUT&Tag
  • View More Images(3)
    $ 285
    Recombinant
    Anti-PKC gamma Mouse mAb
    Catalog #
    PTM-5433
    Host
    Mouse
    Clonality
    Recombinant Monoclonal
    Conjugate
    Unconjugated
    Reactivity
    Human, Mouse, Rat
    Applications:
    WB IHC-P ICC/IF FC IAP IP ChIP mIHC-P CUT&Tag
  • View More Images(4)
    $ 375
    Anti-Monomethyl-Histone H2B (Lys12) Rabbit pAb
    Catalog #
    PTM-698
    Host
    Rabbit
    Clonality
    Polyclonal
    Conjugate
    Unconjugated
    Reactivity
    Human, Mouse, Rat
    Applications:
    WB IHC-P ICC/IF FC IAP IP ChIP mIHC-P CUT&Tag
  • View More Images(4)
    $ 420
    Anti-2-Hydroxyisobutyryl-Histone H2B (Lys12) Mouse mAb
    Catalog #
    PTM-871
    Host
    Mouse
    Clonality
    Monoclonal
    Conjugate
    Unconjugated
    Reactivity
    Human, Mouse, Rat
    Applications:
    WB IHC-P ICC/IF FC IAP IP ChIP mIHC-P CUT&Tag
  • View More Images(3)
    $ 330
    Anti-Acetyl-Histone H2B (Lys15) Mouse mAb
    Catalog #
    PTM-181
    Host
    Mouse
    Clonality
    Monoclonal
    Conjugate
    Unconjugated
    Reactivity
    Human, Mouse, Rat
    Applications:
    WB IHC-P ICC/IF FC IAP IP ChIP mIHC-P CUT&Tag
  • View More Images(2)
    $ 435
    Recombinant Rabbit Monoclonal
    Anti-β-Hydroxybutyryl-Histone H2B (Lys15) Rabbit mAb
    Catalog #
    PTM-1233RM
    Host
    Rabbit
    Clonality
    Recombinant Monoclonal
    Conjugate
    Unconjugated
    Reactivity
    Human
    Applications:
    WB IHC-P ICC/IF FC IAP IP ChIP mIHC-P CUT&Tag
  • View More Images(4)
    $ 435
    Recombinant Rabbit Monoclonal
    Anti-L-Lactyl-Histone H2B (Lys15) Rabbit mAb
    Catalog #
    PTM-1426RM
    Host
    Rabbit
    Clonality
    Recombinant Monoclonal
    Conjugate
    Unconjugated
    Reactivity
    Human, Mouse
    Applications:
    WB IHC-P ICC/IF FC IAP IP ChIP mIHC-P CUT&Tag
  • View More Images(3)
    $ 420
    Anti-Butyryl-Histone H2B (Lys15) Mouse mAb
    Catalog #
    PTM-324
    Host
    Mouse
    Clonality
    Monoclonal
    Conjugate
    Unconjugated
    Reactivity
    Human, Mouse, Rat
    Applications:
    WB IHC-P ICC/IF FC IAP IP ChIP mIHC-P CUT&Tag
  • View More Images(9)
    $ 340
    Anti-Monomethyl-Histone H2B (Lys15) Mouse mAb
    Catalog #
    PTM-661
    Host
    Mouse
    Clonality
    Monoclonal
    Conjugate
    Unconjugated
    Reactivity
    Human, Mouse, Rat, Monkey
    Applications:
    WB IHC-P ICC/IF FC IAP IP ChIP mIHC-P CUT&Tag
  • View More Images(7)
    $ 320
    Anti-Acetyl-Histone H2B (Lys20) Mouse mAb
    Catalog #
    PTM-155
    Host
    Mouse
    Clonality
    Monoclonal
    Conjugate
    Unconjugated
    Reactivity
    Human, Mouse, Rat
    Applications:
    WB IHC-P ICC/IF FC IAP IP ChIP mIHC-P CUT&Tag
References (1)
  • Quantitative Proteomic Analysis Reveals the Sites Related to Acetylation and Mechanism of ACY-1215 in Acute Liver Failure Mice
    Year 2019
    Journal Frontiers in Pharmacology
    Authors Zhang Wen-bin, et al.
    Applications Unspecified
    Reactivity