/ EN
Technical Support
| Contact Us
+1 312-802-6843
Technical Support
Contact Us
+1 312-802-6843
/ EN
Recover password
Professional Email
Verification Code
Send Code
Password
Recombinant Rabbit Monoclonal
Anti-Histone H3 Rabbit mAb
Catalog Number: PTM-6600
References (4)
$ 125

Clone Number: JMMR-2422B

Host: Rabbit Clonality: Recombinant Monoclonal

Applications: WB IHC-P ChIP

Reactivity: Human, Mouse, Rat

Synonyms: Histone H3.1, Histone H3/a, H3C1, H3FA, HIST1H3A, Histone H3/b, Histone H3/c, Histone H3/d

Product Size
100 μl
Quantity

Shipping: Ambient temperature

Order online or send purchase order to info@ptmbio.com

FAQ Technical Support Protocols

General Information
Isotype IgG
Conjugate Unconjugated
Synonyms Histone H3.1, Histone H3/a, H3C1, H3FA, HIST1H3A, Histone H3/b, Histone H3/c, Histone H3/d
UniProt ID

P68431

Immunogen Synthetic peptide derived from human histone H3 protein
MW (kDa) 15
Specificity Anti-Histone H3 Rabbit mAb detects endogenous levels of total histone H3 protein. It does not cross-react with other histone or non-histone proteins.
Product Usage Information
Applications Dilution Recommended Species
WB 1:500 - 1:1000 Human, Mouse, Rat
IHC-P 1:50 - 1:100 Human, Mouse, Rat
ChIP 6 μg per 5x106 cells Human
Properties
Purity Protein A purified
Constituents PBS, Glycerol, BSA
Storage Store at -20°C. Avoid freeze/thaw cycles.
Stability Stable for 12 months from date of receipt/reconstitution.
Target Information

Background

The nucleosome, made up of four core histone proteins (H2A, H2B, H3, and H4), is the primary building block of chromatin. Nucleosomes wrap and compact DNA into chromatin, limiting DNA accessibility to the cellular machineries. Featuring a main globular domain and a long N-terminal tail, H3 is involved with the structure of the nucleosomes of the 'beads on a string' structure. Histone proteins are highly post-translationally modified however Histone H3 is the most extensively modified of the five histones. It is an important protein in the emerging field of epigenetics, where its sequence variants and variable.

Cellular location

Nucleus

Images
WB

Blocking buffer: 5% NFDM/TBST
Primary Ab dilution: 1:1000
Primary Ab incubation: 2 hours at room temperature
Secondary Ab: Goat Anti-Rabbit IgG H&L pAb(HRP Conjugate)
Lysate: 1: HeLa, 2: Raji, 3: 3T3, 4: PC-12
Protein loading quantity: 20 μg
Exposure time: 60 s
Predicted band size: 17 kDa
Observed band size: 17 kDa

IHC-P

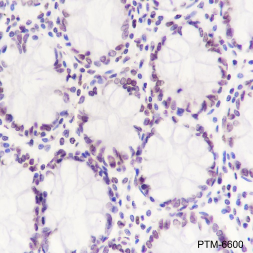
Tissue: Human colon
Section type: Formalin-fixed & Paraffin - embedded section
Retrieval method: High temperature and high pressure
Retrieval buffer: Tris/EDTA buffer, pH 9.0
Primary Ab dilution: 1:100
Primary Ab incubation: 1 hour at room temperature
Secondary Ab: Anti-Rabbit and Mouse Polymer HRP (Ready to Use)
Counter stain: Hematoxylin (Blue)
Description: The brown color represents the positive signal observed with PTM-6600

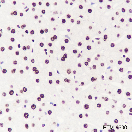
Tissue: Human liver
Section type: Formalin-fixed & Paraffin - embedded section
Retrieval method: High temperature and high pressure
Retrieval buffer: Tris/EDTA buffer, pH 9.0
Primary Ab dilution: 1:100
Primary Ab incubation: 1 hour at room temperature
Secondary Ab: Anti-Rabbit and Mouse Polymer HRP (Ready to Use)
Counter stain: Hematoxylin (Blue)
Description: The brown color represents the positive signal observed with PTM-6600

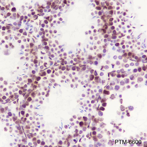
Tissue: Mouse testis
Section type: Formalin-fixed & Paraffin - embedded section
Retrieval method: High temperature and high pressure
Retrieval buffer: Tris/EDTA buffer, pH 9.0
Primary Ab dilution: 1:100
Primary Ab incubation: 1 hour at room temperature
Secondary Ab: Anti-Rabbit and Mouse Polymer HRP (Ready to Use)
Counter stain: Hematoxylin (Blue)
Description: The brown color represents the positive signal observed with PTM-6600

Tissue: Rat cerebrum
Section type: Formalin-fixed & Paraffin - embedded section
Retrieval method: High temperature and high pressure
Retrieval buffer: Tris/EDTA buffer, pH 9.0
Primary Ab dilution: 1:100
Primary Ab incubation: 1 hour at room temperature
Secondary Ab: Anti-Rabbit and Mouse Polymer HRP (Ready to Use)
Counter stain: Hematoxylin (Blue)
Description: The brown color represents the positive signal observed with PTM-6600

ChIP

Cell type: HeLa
Cross-linking conditions: no cross-linking
Amount of chromatin per IP: 5×106 cells
Amount of Ab per IP: 6 μg
Beads type and amount per IP: 50 μL of Protein A MagBeads
Description: Chromatin immunoprecipitations were performed with 6 μg of normal rabbit IgG as a negative control. The immunoprecipitated DNA was quantified by real-time PCR using primers specific for the human GAPDH CDS, RPL30, LDHA promoter, LDHA, FOXO3a promoter, FOXO3a downstream, TUBBP10. The data are presented as enrichment of each sample relative to the total amount of input chromatin at each amplicon

Research Use

For research use only, not for use in diagnostic procedures.

Recommended Products
  • View More Images(9)
    $ 125
    Recombinant Rabbit Monoclonal
    Anti-Histone H3 Rabbit mAb
    Catalog #
    PTM-1002RM
    Host
    Rabbit
    Clonality
    Recombinant Monoclonal
    Conjugate
    Unconjugated
    Reactivity
    Human, Mouse, Rat, Rice
    Applications:
    WB IHC-P ICC/IF FC IAP IP ChIP mIHC-P CUT&Tag
  • View More Images(7)
    $ 125
    Recombinant Rabbit Monoclonal
    Anti-Histone H3 Rabbit mAb
    Catalog #
    PTM-1001RM
    Host
    Rabbit
    Clonality
    Recombinant Monoclonal
    Conjugate
    Unconjugated
    Reactivity
    Human, Mouse, Rat
    Applications:
    WB IHC-P ICC/IF FC IAP IP ChIP mIHC-P CUT&Tag
  • View More Images(4)
    $ 280
    Anti-Histone H3 Rabbit pAb
    Catalog #
    PTM-1002
    Host
    Rabbit
    Clonality
    Polyclonal
    Conjugate
    Unconjugated
    Reactivity
    Human, Mouse, Rat, Monkey
    Applications:
    WB IHC-P ICC/IF FC IAP IP ChIP mIHC-P CUT&Tag
  • View More Images(4)
    $ 125
    Recombinant Rabbit Monoclonal
    Anti-Histone H3 Rabbit mAb
    Catalog #
    PTM-6613
    Host
    Rabbit
    Clonality
    Recombinant Monoclonal
    Conjugate
    Unconjugated
    Reactivity
    Human, Mouse, Rat, Monkey
    Applications:
    WB IHC-P ICC/IF FC IAP IP ChIP mIHC-P CUT&Tag
  • View More Images(2)
    $ 435
    Anti-β-Hydroxybutyryl-Histone H3 (Lys18) Rabbit pAb
    Catalog #
    PTM-1252
    Host
    Rabbit
    Clonality
    Polyclonal
    Conjugate
    Unconjugated
    Reactivity
    Human, Mouse, Rat
    Applications:
    WB IHC-P ICC/IF FC IAP IP ChIP mIHC-P CUT&Tag
  • View More Images(2)
    $ 435
    Anti-β-Hydroxybutyryl-Histone H3 (Lys27) Rabbit pAb
    Catalog #
    PTM-1257
    Host
    Rabbit
    Clonality
    Polyclonal
    Conjugate
    Unconjugated
    Reactivity
    Human, Mouse, Rat
    Applications:
    WB IHC-P ICC/IF FC IAP IP ChIP mIHC-P CUT&Tag
  • View More Images(6)
    $ 435
    Recombinant Rabbit Monoclonal
    Anti-L-Lactyl-Histone H3 (Lys9) Rabbit mAb
    Catalog #
    PTM-1419RM
    Host
    Rabbit
    Clonality
    Recombinant Monoclonal
    Conjugate
    Unconjugated
    Reactivity
    Human, Mouse, Rat
    Applications:
    WB IHC-P ICC/IF FC IAP IP ChIP mIHC-P CUT&Tag
  • View More Images(4)
    $ 390
    Anti-Histone H3 (Trimethyl Lys4, Serotonyl Gln5) Rabbit pAb
    Catalog #
    PTM-1420
    Host
    Rabbit
    Clonality
    Polyclonal
    Conjugate
    Unconjugated
    Reactivity
    Human, Mouse, Rat
    Applications:
    WB IHC-P ICC/IF FC IAP IP ChIP mIHC-P CUT&Tag
  • View More Images(6)
    $ 435
    Recombinant Rabbit Monoclonal
    Anti-L-Lactyl-Histone H3 (Lys18) Rabbit mAb (ChIP Grade)
    Catalog #
    PTM-1427RM
    Host
    Rabbit
    Clonality
    Recombinant Monoclonal
    Conjugate
    Unconjugated
    Reactivity
    Human, Mouse
    Applications:
    WB IHC-P ICC/IF FC IAP IP ChIP mIHC-P CUT&Tag
  • View More Images(2)
    $ 435
    Recombinant
    Anti-Methacryl-Histone H3 (Lys18) Mouse mAb
    Catalog #
    PTM-1503
    Host
    Mouse
    Clonality
    Recombinant Monoclonal
    Conjugate
    Unconjugated
    Reactivity
    Human
    Applications:
    WB IHC-P ICC/IF FC IAP IP ChIP mIHC-P CUT&Tag
  • View More Images(5)
    $ 330
    Anti-Acetyl-Histone H3 (Lys9) Mouse mAb
    Catalog #
    PTM-156
    Host
    Mouse
    Clonality
    Monoclonal
    Conjugate
    Unconjugated
    Reactivity
    Human, Mouse, Rat
    Applications:
    WB IHC-P ICC/IF FC IAP IP ChIP mIHC-P CUT&Tag
  • View More Images(6)
    $ 350
    Anti-Acetyl-Histone H3 (Lys14) Mouse mAb
    Catalog #
    PTM-157
    Host
    Mouse
    Clonality
    Monoclonal
    Conjugate
    Unconjugated
    Reactivity
    Human, Mouse, Rat
    Applications:
    WB IHC-P ICC/IF FC IAP IP ChIP mIHC-P CUT&Tag
References (4)
  • NAT10 drives hepatocellular carcinoma progression through SQLE-mediated cholesterol biosynthesis and is targetable by remodelin
    Year 2025
    Journal iScience
    Authors Yumeng Wang, et al.
    Applications Unspecified
    Reactivity
  • Elevated Histone Lactylation Mediates Ferroptosis Resistance in Endometriosis Through the METTL3-Regulated HIF1A/HMOX1 Signaling Pathway
    Year 2025
    Journal Advanced Science
    Authors Zongwen Liang, et al.
    Applications Unspecified
    Reactivity
  • USP15 Facilitates Colorectal Cancer Immune Evasion through SMYD3/CCL2-Dependent Myeloid-Derived Suppressor Cell Recruitment
    Year 2025
    Journal Cancer Immunology Research
    Authors Han Shuling, et al.
    Applications Unspecified
    Reactivity
  • Histone lactylation enhances GCLC expression and thus promotes chemoresistance of colorectal cancer stem cells through inhibiting ferroptosis
    Year 2025
    Journal Cell Death & Disease
    Authors Deng Jiao, et al.
    Applications Unspecified
    Reactivity