/ EN
Technical Support
| Contact Us
+1 312-802-6843
Technical Support
Contact Us
+1 312-802-6843
/ EN
Recover password
Professional Email
Verification Code
Send Code
Password
Recombinant
Anti-HP1 gamma Mouse mAb
Catalog Number: PTM-6383
$ 280

Clone Number: JMMR-1208

Host: Mouse Clonality: Recombinant Monoclonal

Applications: WB IHC-P ICC/IF

Reactivity: Human, Mouse, Rat

Synonyms: Chromobox protein homolog 3, HECH, Heterochromatin protein 1 homolog gamma (HP1 gamma), Modifier 2 protein, CBX3

Product Size
100 μl
Quantity

Shipping: Ambient temperature

Order online or send purchase order to info@ptmbio.com

FAQ Technical Support Protocols

General Information
Isotype IgG1
Conjugate Unconjugated
Synonyms Chromobox protein homolog 3, HECH, Heterochromatin protein 1 homolog gamma (HP1 gamma), Modifier 2 protein, CBX3
UniProt ID

Q13185

Immunogen Synthetic peptide derived from human chromobox protein homolog 3
MW (kDa) 21
Specificity
Product Usage Information
Applications Dilution Recommended Species
WB 1:500 - 1:1000 Human, Mouse
IHC-P 1:1000 - 1:5000 Human, Rat
ICC/IF 1:50 Human
Properties
Purity Protein A purified
Constituents PBS, Glycerol, BSA
Storage Store at -20°C. Avoid freeze/thaw cycles.
Stability Stable for 12 months from date of receipt/reconstitution.
Target Information

Background

HP1 gamma (HP1γ) is a member of Heterochromatin protein 1 (HP1) family, which is involved in both gene silencing and higher order chromatin structure. All three HP1 family members (α, β, and γ) are primarily associated with centromeric heterochromatin; however, HP1β and γ also localize to euchromatic sites in the genome. HP1 proteins are approximately 25 kDa in size and contain a conserved amino-terminal chromodomain, followed by a variable hinge region and a conserved carboxy-terminal chromoshadow domain. The chromodomain facilitates binding to histone H3 Trimethylated at Lys9, a histone "mark" closely associated with centromeric heterochromatin.

Cellular location

Nucleus

Images
WB

Blocking buffer: 5% NFDM/TBST
Primary Ab dilution: 1:1000
Primary Ab incubation: 2 hours at room temperature
Secondary Ab: Goat Anti-Mouse IgGH&L(HRP Conjugate)
Lysate: 1: HEK-293T, 2: HeLa, 3: F9
Protein loading quantity: 20 μg
Exposure time: 30 seconds
Predicted band size: 21 kDa
Observed band size: 21 kDa

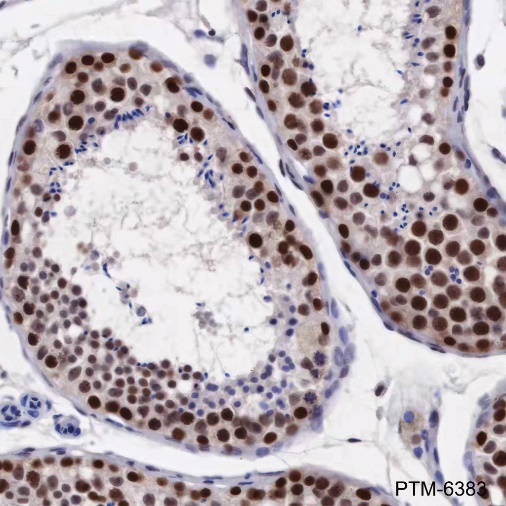
IHC-P

Tissue: Human testis
Section type: Formalin-fixed & Paraffin-embedded section
Retrieval method: High temperature andhighpressure
Retrieval buffer: Tris/EDTA buffer, pH9.0
Primary Ab dilution: 1:5000
Primary Ab incubation: 1 hour at room temperature
Secondary Ab: Anti-Rabbit and Mouse Polymer HRP (Ready to Use)
Counter stain: Hematoxylin (Blue)
Description: The brown color represents the positive signal observed with PTM-6383

Tissue: Rat colon
Section type: Formalin-fixed & Paraffin-embedded section
Retrieval method: High temperature andhighpressure
Retrieval buffer: Tris/EDTA buffer, pH9.0
Primary Ab dilution: 1:5000
Primary Ab incubation: 1 hour at room temperature
Secondary Ab: Anti-Rabbit and Mouse Polymer HRP (Ready to Use)
Counter stain: Hematoxylin (Blue)
Description: The brown color represents the positive signal observed with PTM-6383

ICC/IF

Cell line: HeLa
Fixative: 4% Paraformaldehyde
Permeabilization: 0.1% Triton X-100
Primary Ab dilution: 1:50
Primary Ab incubation: 4°C overnight
Secondary Ab: Goat Anti-Mouse IgG
Nuclear counter stain: DAPI (Blue)
Description: The green color represents the positive signal observed with PTM-6383

Research Use

For research use only, not for use in diagnostic procedures.