/ EN
Technical Support
| Contact Us
+1 312-802-6843
Technical Support
Contact Us
+1 312-802-6843
/ EN
Recover password
Professional Email
Verification Code
Send Code
Password
Recombinant Rabbit Monoclonal
Anti-L-Lactyl-Histone H2A.Z (Lys11) Rabbit mAb
Catalog Number: PTM-1422RM
References (1)
$ 435

Clone Number: 29H2L2

Host: Rabbit Clonality: Recombinant Monoclonal

Applications: WB IHC-P ICC/IF ChIP

Reactivity: Human, Mouse, Rat

Synonyms: H2A.ZK11la

Product Size
100 μl
Quantity

Shipping: Ambient temperature

Order online or send purchase order to info@ptmbio.com

FAQ Technical Support Protocols

General Information
Isotype IgG
Conjugate Unconjugated
Synonyms H2A.ZK11la
UniProt ID

P0C0S5

Immunogen L-lactylated human histone H2A.Z (Lys11) peptide
MW (kDa) 14
Specificity Anti-L-Lactyl-Histone H2A.Z (Lys11) Rabbit mAb detects histone H2A.Z only when it is L-lactylated at Lys11.
Product Usage Information
Applications Dilution Recommended Species
WB 1:500 - 1:2000 Human, Mouse, Rat
IHC-P 1:200 - 1:1000 Human
ICC/IF 1:100 Human
ChIP 6 μg per 5x106 cells Human
Properties
Purity Protein A purified
Constituents PBS, Glycerol, BSA
Storage Store at -20°C. Avoid freeze/thaw cycles.
Stability Stable for 12 months from date of receipt/reconstitution.
Target Information

Background

Histones, fundamental proteins involved in chromatin structure and gene regulation, are subject to a wide array of enzyme-catalyzed modifications, including acetylation, methylation, phosphorylation, ubiquitination, and numerous others. Histone L-lactylation, a recently discovered post-translational modification induced by lactate has emerged as a significant addition to this repertoire. The extent and dynamics of this modification are highly reliant on lactate levels within the cellular microenvironment and can be modulated through the introduction of extracellular lactate in cultured cells or the stimulation of intracellular glycolysis. The introduction of lysine L-lactylation is mediated by the acetyltransferase p300, while the removal of lactylation marks from histones has been attributed to Class I histone deacetylases (HDAC 1-3). Histone lactylation has been implicated in various biological processes, including inflammation, fibrosis, differentiation, and cancer progression.

Cellular location

Nucleus

Images
Dot Blot

Peptide amount: 1 ng, 4 ng, 16 ng, 64 ng
Blocking buffer: 5% NFDM/TBST
Primary Ab dilution: 1:2000
Primary Ab incubation: 2 hours at room temperature
Secondary Ab: Goat Anti-Rabbit IgG H&L pAb (HRP Conjugate)
Exposure time: 30 seconds
The list of peptides used in the experiment is provided below.
Lane 1: H2A.ZK11 L-lactyl. Lane 2: H2A.ZK13 L-lactyl.
Lane 3: H2A.ZK11 unmodified.

WB

Lysates: (-) HeLa cells; (+) HeLa cells treated with 100 mM sodium lactate for 24 hours
Protein loading amount: 20 μg
Blocking buffer: 5% NFDM/TBST
Primary Ab dilution: 1:2000
Primary Ab incubation: 2 hours at room temperature
Secondary Ab: Goat Anti-Rabbit IgG H&L pAb (HRP Conjugate)
Exposure time: 30 seconds
Predicted band size: 14 kDa
Observed band size: 14 kDa

Lysates: HeLa, NIH-3T3, and BRL cells
Protein loading amount: 20 μg
Blocking buffer: 5% NFDM/TBST
Primary Ab dilution: 1:2000
Primary Ab incubation: 2 hours at room temperature
Secondary Ab: Goat Anti-Rabbit IgG H&L pAb (HRP Conjugate)
Exposure time: 30 seconds
Predicted band size: 14 kDa
Observed band size: 14 kDa

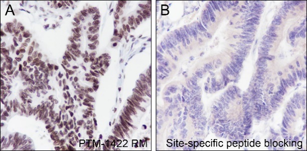
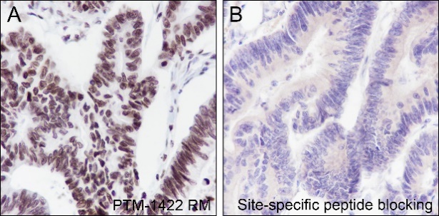
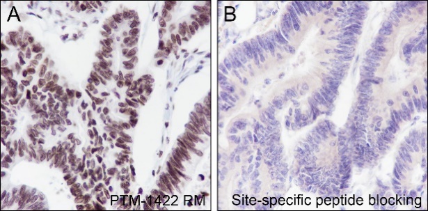
IHC-P

Tissue: Human colon cancer
Section type: Formalin fixed & paraffin-embedded section
Retrieval method: High temperature and high pressure
Retrieval buffer: Tris/EDTA buffer, pH 9.0
Primary Ab dilution: 1:1000
Primary Ab incubation: 1 hour at room temperature
Secondary Ab: Anti-Rabbit and Mouse Polymer HRP (Ready to Use)
Counter stain: Hematoxylin (blue)
Description: The brown color represents the positive signal observed with PTM-1422RM.

ICC/IF

Samples: (A) HeLa cells; (B) HeLa cells treated with 100 mM sodium lactate for 24 hours
Fixative: 4% Paraformaldehyde
Permeabilization: 0.1% Triton X-100
Primary Ab dilution: 1:100
Primary Ab incubation: 4°C overnight
Secondary Ab: Goat Anti-Rabbit IgG
Nuclear counter stain: DAPI (blue)
Counter stain: Tubulin (red)
Description: The green color represents the positive signal observed with PTM-1422RM.

ChIP

Sample: HeLa cells treated with 25 mM sodium lactate for 24 hours
Cross-linking conditions: no cross-linking
Amount of chromatin per IP: 5x106 cells
Amount of Ab per IP: 6 μg
Beads type and amount per IP: 50 μL of Protein A MagBeads
Description: Chromatin immunoprecipitations were performed with 6 μg of normal rabbit IgG as a negative control. The immunoprecipitated DNA was quantified by real-time PCR using primers specific for the human LDHA and FOXO3a promoter regions. The data are presented as enrichment of each sample relative to the total amount of input at each amplicon.

Research Use

For research use only, not for use in diagnostic procedures.

Recommended Products
  • View More Images(4)
    $ 135
    Goat Anti-Rabbit IgG H&L pAb (HRP Conjugate)
    Catalog #
    PTM-6261
    Host
    Goat
    Clonality
    Polyclonal
    Conjugate
    HRP
    Reactivity
    Rabbit
    Applications:
    WB IHC-P ICC/IF FC IAP IP ChIP mIHC-P CUT&Tag
  • View More Images(5)
    $ 125
    Recombinant Rabbit Monoclonal
    Rabbit mAb IgG Isotype Control
    Catalog #
    PTM-5073
    Host
    Rabbit
    Clonality
    Recombinant Monoclonal
    Conjugate
    Unconjugated
    Reactivity
    Human, Mouse, Rat
    Applications:
    WB IHC-P ICC/IF FC IAP IP ChIP mIHC-P CUT&Tag
  • View More Images(5)
    $ 125
    Recombinant Rabbit Monoclonal
    Rabbit mAb IgG Isotype Control
    Catalog #
    PTM-6628
    Host
    Rabbit
    Clonality
    Recombinant Monoclonal
    Conjugate
    Unconjugated
    Reactivity
    Human, Mouse
    Applications:
    WB IHC-P ICC/IF FC IAP IP ChIP mIHC-P CUT&Tag
  • View More Images(6)
    $ 290
    Recombinant Rabbit Monoclonal
    Anti-HDAC1 Rabbit mAb
    Catalog #
    PTM-6409
    Host
    Rabbit
    Clonality
    Recombinant Monoclonal
    Conjugate
    Unconjugated
    Reactivity
    Human, Mouse, Rat
    Applications:
    WB IHC-P ICC/IF FC IAP IP ChIP mIHC-P CUT&Tag
  • View More Images(1)
    $ 280
    Recombinant
    Anti-HDAC2 Mouse mAb
    Catalog #
    PTM-7219
    Host
    Mouse
    Clonality
    Recombinant Monoclonal
    Conjugate
    Unconjugated
    Reactivity
    Human, Mouse, Rat
    Applications:
    WB IHC-P ICC/IF FC IAP IP ChIP mIHC-P CUT&Tag
  • View More Images(3)
    $ 280
    Recombinant
    Anti-HDAC3 Mouse mAb
    Catalog #
    PTM-6070
    Host
    Mouse
    Clonality
    Recombinant Monoclonal
    Conjugate
    Unconjugated
    Reactivity
    Human, Mouse, Rat
    Applications:
    WB IHC-P ICC/IF FC IAP IP ChIP mIHC-P CUT&Tag
  • View More Images(4)
    $ 280
    Recombinant Rabbit Monoclonal
    Anti-Histone H2A.Z Rabbit mAb
    Catalog #
    PTM-7034
    Host
    Rabbit
    Clonality
    Recombinant Monoclonal
    Conjugate
    Unconjugated
    Reactivity
    Human, Mouse, Rat
    Applications:
    WB IHC-P ICC/IF FC IAP IP ChIP mIHC-P CUT&Tag
  • View More Images(12)
    $ 420
    Recombinant Rabbit Monoclonal
    Anti-L-Lactyllysine Rabbit mAb
    Catalog #
    PTM-1401RM
    Host
    Rabbit
    Clonality
    Recombinant Monoclonal
    Conjugate
    Unconjugated
    Reactivity
    All
    Applications:
    WB IHC-P ICC/IF FC IAP IP ChIP mIHC-P CUT&Tag
  • View More Images(1)
    $ 4,330
    Recombinant Rabbit Monoclonal
    Anti-L-Lactyllysine Antibody Conjugated Agarose Beads
    Catalog #
    PTM-1404
    Host
    Rabbit
    Clonality
    /
    Conjugate
    Agarose
    Reactivity
    All
    Applications:
    WB IHC-P ICC/IF FC IAP IP ChIP mIHC-P CUT&Tag
  • View More Images(5)
    $ 650
    Anti-L-Lactyllysine Rabbit pAb (BSA and Azide Free)
    Catalog #
    PTM-1425
    Host
    Rabbit
    Clonality
    Polyclonal
    Conjugate
    Unconjugated
    Reactivity
    All
    Applications:
    WB IHC-P ICC/IF FC IAP IP ChIP mIHC-P CUT&Tag
  • View More Images(7)
    $ 420
    Recombinant Rabbit Monoclonal
    Anti-L-Lactyl-Histone H3 (Lys18) Rabbit mAb
    Catalog #
    PTM-1406RM
    Host
    Rabbit
    Clonality
    Recombinant Monoclonal
    Conjugate
    Unconjugated
    Reactivity
    Human, Mouse, Rat
    Applications:
    WB IHC-P ICC/IF FC IAP IP ChIP mIHC-P CUT&Tag
References (1)
  • Elevated lactate production exacerbates PM2.5-induced pulmonary fibrosis by stabilizing TGF-β1
    Year 2025
    Journal Journal of Advanced Research
    Authors Zhihao Liu, et al.
    Applications Unspecified
    Reactivity