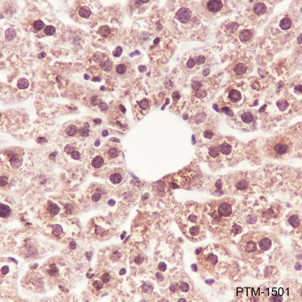
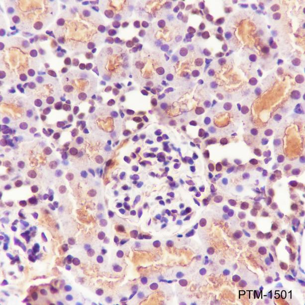
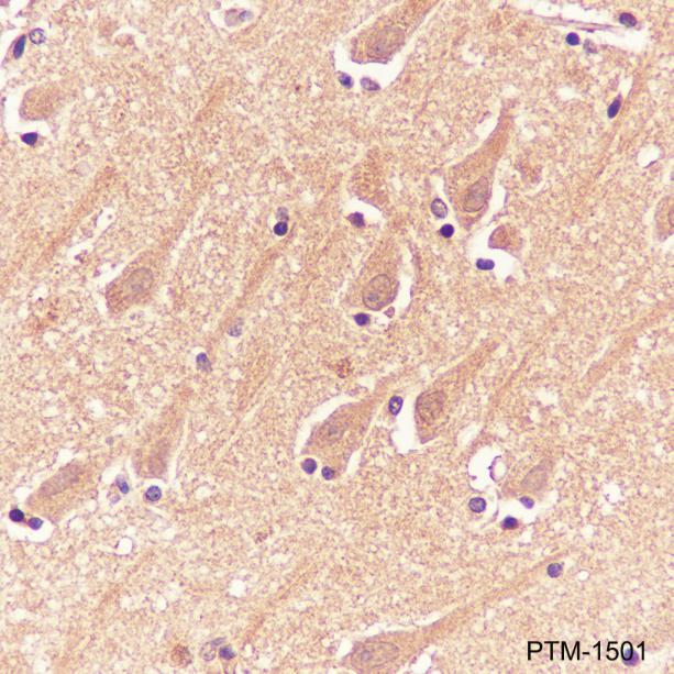
Background
Histones are subject to a variety of enzyme catalyzed modifications, including acetylation, methylation, phosphorylation, ubiquitylation, etc. Histone lysine methylacrylylation (Kmea) is a novel post-translational modification. It is a structural isomer of crotonyllysine, with a different mechanism and function. Specifically, methacrylate is the metabolic precursor of Kmea, and HAT1, SIRT1 and SIRT2 are the writer and erasers of Kmea, respectively. In addition, 27 histone Kmea sites were identified in HeLa cells. Leigh syndrome (LS) is a neurological disease characterized by mitochondrial defects. Accumulation of methacrylyl-coA is identified in LS patients with genetic mutations in short-chain enoyl-CoA hydratase (ECHS1) and 3-hydroxyisobutyryl-CoA hydrolase (HIBCH) in the metabolic pathway of valine.The discovery of Kmea suggests a new direction for the pathological role of methylacrylyl-coA accumulation.
Cellular location
/
