/ EN
Technical Support
| Contact Us
+1 312-802-6843
Technical Support
Contact Us
+1 312-802-6843
/ EN
Recover password
Professional Email
Verification Code
Send Code
Password
Recombinant
Anti-Monomethyl-Histone H3 (Lys4) Mouse mAb
Catalog Number: PTM-5158
References (3)
$ 320

Clone Number: 11160

Host: Mouse Clonality: Recombinant Monoclonal

Applications: WB IHC-P ChIP

Reactivity: Human, Mouse, Rat

Synonyms: H3K4me1

Product Size
100 μl
Quantity

Shipping: Ambient temperature

Order online or send purchase order to info@ptmbio.com

FAQ Technical Support Protocols

General Information
Isotype IgG2b
Conjugate Unconjugated
Synonyms H3K4me1
UniProt ID

P68431

Immunogen Monomethylated human histone H3 (Lys4) peptide
MW (kDa) 15
Specificity Anti-Monomethyl-Histone H3 (Lys4) Mouse mAb detects histone H3 only when it is Monomethylated at Lys4.
Product Usage Information
Applications Dilution Recommended Species
WB 1:500 - 1:1000 Human, Mouse, Rat
IHC-P 1:50 - 1:100 Human, Mouse, Rat
ChIP 6 μg per 5x106 cells Human
Properties
Purity Protein G purified
Constituents PBS, Glycerol, BSA
Storage Store at -20°C. Avoid freeze/thaw cycles.
Stability Stable for 12 months from date of receipt/reconstitution.
Target Information

Background

Histone post-translational modifications (PTMs) are key mechanisms of epigenetics that modulate chromatin structures, termed as “histone code”. The PTMs on histone including acetylation, methylation, phosphorylation and novel acylations directly affect the accessibility of chromatin to transcription factors and other epigenetic regulators, altering genome stability, gene transcription, etc. Histone methylation occurs primarily at lysine and arginine rsidues on the amino-terminal of core histones. Methylation of histones can either increase or decrease transcription of genes, depending on which amino acids (Lys or Arg) in the histones are methylated and how many methyl groups are attached (mono-, di-, tri- methylation on Lys, mono- di-symmetric/asymmetric methylation on Arg). Mostly, lysine methylation occurs primarily on histone H3 Lys4, 9, 27, 36, 79 and H4 Lys20, while Arginine methylation occurs primarily on histone H3 Arg2, 8, 17, 26 and H4 Arg3. histone methyltransferases (HMTs) and histone demethylases (HDMs) are major.

Cellular location

Nucleus

Images
WB

Blocking buffer: 5% NFDM/TBST
Primary Ab dilution: 1:1000
Primary Ab incubation: 2 hours at room temperature
Secondary Ab: Goat Anti-Mouse IgG H&L pAb (HRP Conjugate)
Lysate: HepG2, Neuro-2a, BRL, EL4.IL-2
Protein loading quantity: 20 μg
Exposure time: 60 s
Predicted band size: 15 kDa
Observed band size: 15 kDa

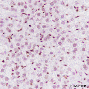
IHC-P

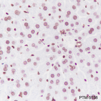
Tissue: Human liver
Section type: Formalin fixed & Paraffin - embedded section
Retrieval method: High temperature and high pressure
Retrieval buffer: Tris/EDTA buffer, pH 9.0
Primary Ab dilution: 1:100
Primary Ab incubation: 1 hour at room temperature
Secondary Ab: Anti-Rabbit and Mouse Polymer HRP (Ready to Use)
Counter stain: Hematoxylin (Blue)
Description: The brown color represents the positive signal observed with PTM-5158

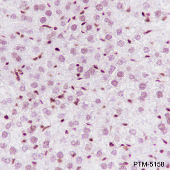
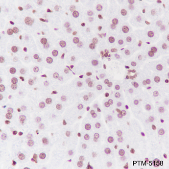
Tissue: Mouse liver
Section type: Formalin fixed & Paraffin - embedded section
Retrieval method: High temperature and high pressure
Retrieval buffer: Tris/EDTA buffer, pH 9.0
Primary Ab dilution: 1:100
Primary Ab incubation: 1 hour at room temperature
Secondary Ab: Anti-Rabbit and Mouse Polymer HRP (Ready to Use)
Counter stain: Hematoxylin (Blue)
Description: The brown color represents the positive signal observed with PTM-5158

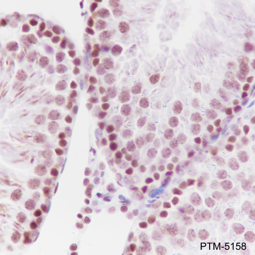
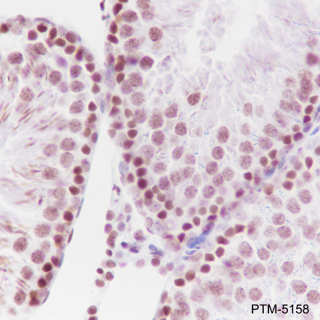
Tissue: Rat testis
Section type: Formalin fixed & Paraffin - embedded section
Retrieval method: High temperature and high pressure
Retrieval buffer: Tris/EDTA buffer, pH 9.0
Primary Ab dilution: 1:100
Primary Ab incubation: 1 hour at room temperature
Secondary Ab: Anti-Rabbit and Mouse Polymer HRP (Ready to Use)
Counter stain: Hematoxylin (Blue)
Description: The brown color represents the positive signal observed with PTM-5158

ChIP

Cell type: HepG2
Cross-linking conditions: no cross-linking
Amount of chromatin per IP: 5×106 cells
Amount of Ab per IP: 6 ug
Beads type and amount per IP: 50 μl of Protein A MagBeads
Description: Chromatin immunoprecipitations were performed with 6 μg of normal mouse IgG as a negative control. The immunoprecipitated DNA was quantified by real-time PCR using primers specific for the human GAPDH CDS region. The data are presented as enrichment of each sample relative to the total amount of input chromatin at
each amplicon.

Research Use

For research use only, not for use in diagnostic procedures.

Recommended Products
  • View More Images(4)
    $ 350
    Anti-Monomethyl-Histone H3 (Lys4) Rabbit pAb
    Catalog #
    PTM-611
    Host
    Rabbit
    Clonality
    Polyclonal
    Conjugate
    Unconjugated
    Reactivity
    Human, Mouse, Rat, Monkey
    Applications:
    WB IHC-P ICC/IF FC IAP IP ChIP mIHC-P CUT&Tag
  • View More Images(4)
    $ 340
    Recombinant Rabbit Monoclonal
    Anti-Monomethyl-Histone H3 (Lys4) Rabbit mAb
    Catalog #
    PTM-611RM
    Host
    Rabbit
    Clonality
    Recombinant Monoclonal
    Conjugate
    Unconjugated
    Reactivity
    Human, Mouse, Rat
    Applications:
    WB IHC-P ICC/IF FC IAP IP ChIP mIHC-P CUT&Tag
  • View More Images(4)
    $ 330
    Recombinant Rabbit Monoclonal
    Anti-Acetyl-Histone H3 (Lys4) Rabbit mAb
    Catalog #
    PTM-188
    Host
    Rabbit
    Clonality
    Recombinant Monoclonal
    Conjugate
    Unconjugated
    Reactivity
    Human, Mouse, Rat
    Applications:
    WB IHC-P ICC/IF FC IAP IP ChIP mIHC-P CUT&Tag
  • View More Images(8)
    $ 420
    Recombinant Rabbit Monoclonal
    Anti-Crotonyl-Histone H3 (Lys4) Rabbit mAb
    Catalog #
    PTM-547RM
    Host
    Rabbit
    Clonality
    Recombinant Monoclonal
    Conjugate
    Unconjugated
    Reactivity
    Human, Mouse, Rat
    Applications:
    WB IHC-P ICC/IF FC IAP IP ChIP mIHC-P CUT&Tag
  • View More Images(6)
    $ 325
    Recombinant
    Anti-Dimethyl-Histone H3 (Lys4) Mouse mAb
    Catalog #
    PTM-6032
    Host
    Mouse
    Clonality
    Recombinant Monoclonal
    Conjugate
    Unconjugated
    Reactivity
    Human, Mouse, Rat
    Applications:
    WB IHC-P ICC/IF FC IAP IP ChIP mIHC-P CUT&Tag
  • View More Images(6)
    $
    Anti-Trimethyl-Histone H3 (Lys4) Rabbit mAb (ChIP Grade)
    Catalog #
    PTM-613RM
    Host
    Rabbit
    Clonality
    Recombinant Monoclonal
    Conjugate
    Unconjugated
    Reactivity
    Human, Mouse, Rat
    Applications:
    WB IHC-P ICC/IF FC IAP IP ChIP mIHC-P CUT&Tag
  • View More Images(3)
    $ 435
    Anti-β-Hydroxybutyryl-Histone H3 (Lys4) Rabbit pAb
    Catalog #
    PTM-1260
    Host
    Rabbit
    Clonality
    Polyclonal
    Conjugate
    Unconjugated
    Reactivity
    Human
    Applications:
    WB IHC-P ICC/IF FC IAP IP ChIP mIHC-P CUT&Tag
  • View More Images(4)
    $ 390
    Anti-Histone H3 (Trimethyl Lys4, Serotonyl Gln5) Rabbit pAb
    Catalog #
    PTM-1420
    Host
    Rabbit
    Clonality
    Polyclonal
    Conjugate
    Unconjugated
    Reactivity
    Human, Mouse, Rat
    Applications:
    WB IHC-P ICC/IF FC IAP IP ChIP mIHC-P CUT&Tag
  • View More Images(2)
    $ 435
    Anti-Mono/Di-Methyl-Lysine Rabbit pAb
    Catalog #
    PTM-602
    Host
    Rabbit
    Clonality
    Polyclonal
    Conjugate
    Unconjugated
    Reactivity
    All
    Applications:
    WB IHC-P ICC/IF FC IAP IP ChIP mIHC-P CUT&Tag
  • View More Images(7)
    $ 125
    Recombinant Rabbit Monoclonal
    Anti-Histone H3 Rabbit mAb
    Catalog #
    PTM-1001RM
    Host
    Rabbit
    Clonality
    Recombinant Monoclonal
    Conjugate
    Unconjugated
    Reactivity
    Human, Mouse, Rat
    Applications:
    WB IHC-P ICC/IF FC IAP IP ChIP mIHC-P CUT&Tag
References (3)
  • ELF3-regulated PES1 targets VEGFR2 to mediate angiogenesis and retinal inner barrier injury in diabetic retinopathy
    Year 2025
    Journal Journal of Translational Medicine
    Authors Sha Liu, et al.
    Applications ChIP-Seq, ChIP-Qpcr
    Reactivity
  • SETD7-mediated H3K4me1 activates ALDH1A3 to drive ferroptosis resistance in esophageal squamous cell carcinoma
    Year 2025
    Journal Cell Death & Disease
    Authors Feng Yang, et al.
    Applications Unspecified
    Reactivity
  • Loss of ZNF408 attenuates STING-mediated immune surveillance in breast carcinogenesis
    Year 2024
    Journal iScience
    Authors Xiao Cheng, et al.
    Applications Unspecified
    Reactivity