/ EN
Technical Support
| Contact Us
+1 312-802-6843
Technical Support
Contact Us
+1 312-802-6843
/ EN
Recover password
Professional Email
Verification Code
Send Code
Password
Anti-Phospho-Histone H3 (Ser10) Mouse mAb
Catalog Number: PTM-732
$ 340

Clone Number: /

Host: Mouse Clonality: Monoclonal

Applications: WB IHC-P

Reactivity: Human, Mouse, Rat

Synonyms: H3S10ph, H3pS10

Product Size
100 μl
Quantity

Shipping: Ambient temperature

Order online or send purchase order to info@ptmbio.com

FAQ Technical Support Protocols

General Information
Isotype IgG
Conjugate Unconjugated
Synonyms H3S10ph, H3pS10
UniProt ID

P68431

Immunogen Phosphorylated human histone H3 (Ser10) peptide
MW (kDa) 15
Specificity
Product Usage Information
Applications Dilution Recommended Species
WB 1:500 - 1:2000 Human, Mouse, Rat
IHC-P 1:500 - 1:3000 Human
Properties
Purity Protein G and immunogen affinity purified
Constituents PBS, Glycerol, BSA
Storage Store at -20°C. Avoid freeze/thaw cycles.
Stability Stable for 12 months from date of receipt/reconstitution.
Target Information

Background

Histone post-translational modifications (PTMs) are key mechanisms of epigenetics that modulate chromatin structures, termed as “histone code”. The PTMs on histone including acetylation, methylation, phosphorylation and novel acylation directly affect the accessibility of chromatin to transcription factors and other epigenetic regulators, altering genome stability, gene transcription, etc. Histone phosphorylation occurs on serine, threonine and tyrosine residues on the amino-terminal of core histones. This histone mark plays roles in DNA repair, transcription and chromatin remodeling. The best-known histone phosphorylation site is histone variant H2A.x Ser139ph, which were reported to be involved in the response to DNA damage. Histone phosphorylation is mainly involved in processes during both mitosis and meiosis. Many kinases and phosphatases regulate histone phosphorylation levels.

Cellular location

Nucleus

Images
Dot Blot

Blocking buffer: 5% NFDM/TBST
Primary Ab dilution: 1:1000
Primary Ab incubation: 2 hours at room temperature
Secondary Ab: Goat Anti-Mouse IgG H&L pAb(HRP Conjugate)
Immunogen peptide quantity: 1 ng, 4 ng, 16 ng
Exposure time: 60 s
The list of peptides is included in the table below.

WB

Blocking buffer: 5% NFDM/TBST
Primary Ab dilution: 1:2000
Primary Ab incubation: 2 hours at room temperature
Secondary Ab: Goat Anti-Mouse IgG H&L pAb(HRP Conjugate)
Lysate: (-) HeLa, (+) HeLa+ Nocodazole(100ng/ml, 18hr) + Calyculin A (100nM, 1hr)
Protein loading quantity: 20 μg
Exposure time: 60 s
Predicted band size: 17 kDa
Observed band size: 17 kDa

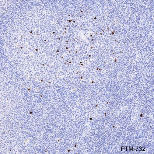
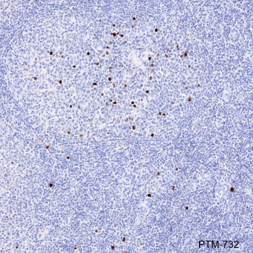
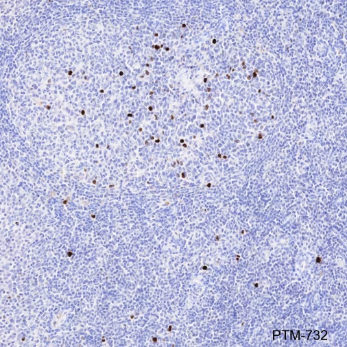
IHC-P

Tissue: Human tonsil
Section type: Formalin fixed & Paraffin - embedded section
Retrieval method: High temperature and high pressure
Retrieval buffer: Tris/EDTA buffer, pH 9.0
Primary Ab dilution: 1:500
Primary Ab incubation: 1 hour at room temperature
Secondary Ab: Anti-Rabbit and Mouse Polymer HRP (Ready to Use)
Counter stain: Hematoxylin (Blue)
Description: The brown color represents the positive signal observed with PTM-732

Tissue: Human melanoma
Section type: Formalin fixed & Paraffin - embedded section
Retrieval method: High temperature and high pressure
Retrieval buffer: Tris/EDTA buffer, pH 9.0
Primary Ab dilution: 1:3000
Primary Ab incubation: 1 hour at room temperature
Secondary Ab: Anti-Rabbit and Mouse Polymer HRP (Ready to Use)
Counter stain: Hematoxylin (Blue)
Description: The brown color represents the positive signal observed with PTM-732

Research Use

For research use only, not for use in diagnostic procedures.

Recommended Products
  • View More Images(4)
    $ 320
    Recombinant
    Anti-Phospho-Histone H3 (Ser10) Mouse mAb
    Catalog #
    PTM-757
    Host
    Mouse
    Clonality
    Recombinant Monoclonal
    Conjugate
    Unconjugated
    Reactivity
    Human, Mouse, Rat
    Applications:
    WB IHC-P ICC/IF FC IAP IP ChIP mIHC-P CUT&Tag
  • View More Images(4)
    $ 350
    Anti-Phospho-Histone H3 (Ser10) Rabbit pAb
    Catalog #
    PTM-712
    Host
    Rabbit
    Clonality
    Polyclonal
    Conjugate
    Unconjugated
    Reactivity
    Human, Mouse, Rat
    Applications:
    WB IHC-P ICC/IF FC IAP IP ChIP mIHC-P CUT&Tag
  • View More Images(5)
    $ 330
    Recombinant Rabbit Monoclonal
    Anti-Phospho-Histone H3 (Ser10) Rabbit mAb
    Catalog #
    PTM-712RM
    Host
    Rabbit
    Clonality
    Polyclonal
    Conjugate
    Unconjugated
    Reactivity
    Human, Mouse
    Applications:
    WB IHC-P ICC/IF FC IAP IP ChIP mIHC-P CUT&Tag