/ EN
Technical Support
| Contact Us
+1 312-802-6843
Technical Support
Contact Us
+1 312-802-6843
/ EN
Recover password
Professional Email
Verification Code
Send Code
Password
Anti-Propionyl-Histone H4 (Lys5) Mouse mAb
Catalog Number: PTM-216
$ 435

Clone Number: /

Host: Mouse Clonality: Monoclonal

Applications: WB IHC-P

Reactivity: Human, Mouse, Rat

Synonyms: H4K5pr

Product Size
100 μl
Quantity

Shipping: Ambient temperature

Order online or send purchase order to info@ptmbio.com

FAQ Technical Support Protocols

General Information
Isotype IgG
Conjugate Unconjugated
Synonyms H4K5pr
UniProt ID

P62805

Immunogen Propionylated human histone H4 (Lys5) peptide
MW (kDa) 11
Specificity
Product Usage Information
Applications Dilution Recommended Species
WB 1:500 - 1:2000 Human, Mouse, Rat
IHC-P 1:50 - 1:200 Human, Mouse, Rat
Properties
Purity Protein G and immunogen affinity purified
Constituents PBS, Glycerol, BSA
Storage Store at -20°C. Avoid freeze/thaw cycles.
Stability Stable for 12 months from date of receipt/reconstitution.
Target Information

Background

Histones are subject to a variety of enzyme catalyzed modifications, including acetylation, methylation, phosphorylation, ubiquitylation, etc. Lysine propionylation (Kprop) is structurally similar to lysine acetylation, is a newly identified reversible modification controlling protein activity. Lysine propionylation is abundant in both prokaryotes and eukaryotes and has been found in wide ranges of proteins including histones and non-histone substrates, such as p53. Similar to acetylation of histione H3 at Lys12, propionylation of histone H4 at Lys5 may play a vital role in the epigenetic modulation, including chromatin remodeling and transcriptional regulation.

Cellular location

Nucleus

Images
ELISA

Propionyl-Histone H4 (Lys5) mouse mAb (PTM-216) specificity was determined by peptide ELISA. The graph depicts the binding of the antibody to pre-coated propionylhistone H4 (Lys5) peptide in the presence of increasing concentrations of various competitor peptides. As shown, only the propionyl-histone H4 (Lys5) peptide competed away binding of the antibody.

WB

Blocking buffer: 5% NFDM/TBST
Primary Ab dilution: 1:2000
Primary Ab incubation: 2 hours at room temperature
Secondary Ab: Goat Anti-Mouse IgG H&L pAb (HRP Conjugate)
Lysate: (-) HeLa, (+) HeLa+Sodium propionate (10mM, 4 hours)
Protein loading quantity: 20 μg
Exposure time: 60 s
Predicted band size: 11 kDa
Observed band size: 11 kDa

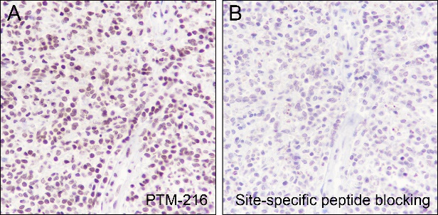
IHC-P

Tissue: Human spleen
Section type: Formalin-fixed & paraffin-embedded section
Retrieval method: High temperature and high pressure
Retrieval buffer: Tris/EDTA buffer, pH 9.0
Primary Ab dilution: 1:200
Primary Ab incubation: 1 hour at room temperature
Secondary Ab: Anti-Rabbit and Mouse Polymer HRP (Ready to Use)
Counter stain: Hematoxylin (Blue)
Description: The brown color represents the positive signal observed with PTM-216

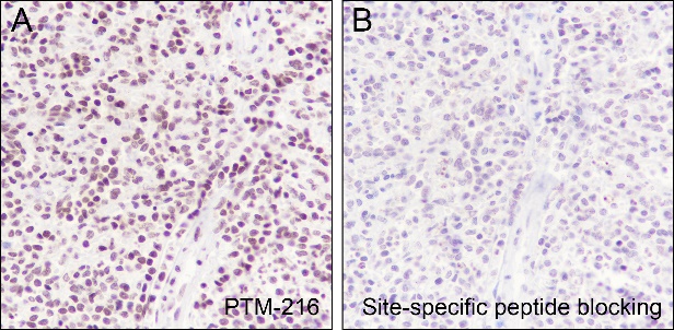
Tissue: Human spleen
Section type: Formalin-fixed & paraffin-embedded section
Retrieval method: High temperature and high pressure
Retrieval buffer: Tris/EDTA buffer, pH 9.0
Primary Ab dilution: 1:200
Primary Ab incubation: 1 hour at room temperature
Secondary Ab: Anti-Rabbit and Mouse Polymer HRP (Ready to Use)
Counter stain: Hematoxylin (Blue)
Description: The brown color represents the positive signal observed with PTM-216

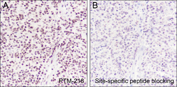
Tissue: Rat spleen
Section type: Formalin-fixed & paraffin-embedded section
Retrieval method: High temperature and high pressure
Retrieval buffer: Tris/EDTA buffer, pH 9.0
Primary Ab dilution: 1:200
Primary Ab incubation: 1 hour at room temperature
Secondary Ab: Anti-Rabbit and Mouse Polymer HRP (Ready to Use)
Counter stain: Hematoxylin (Blue)
Description: The brown color represents the positive signal observed with PTM-216

Research Use

For research use only, not for use in diagnostic procedures.

Recommended Products
  • View More Images(8)
    $ 420
    Recombinant Rabbit Monoclonal
    Anti-Propionyl-Histone H4 (Lys5) Rabbit mAb
    Catalog #
    PTM-219RM
    Host
    Rabbit
    Clonality
    Recombinant Monoclonal
    Conjugate
    Unconjugated
    Reactivity
    Human, Mouse, Rat
    Applications:
    WB IHC-P ICC/IF FC IAP IP ChIP mIHC-P CUT&Tag
  • View More Images(4)
    $ 135
    Goat Anti-Mouse IgG H&L (HRP Conjugate)
    Catalog #
    PTM-7168
    Host
    Goat
    Clonality
    Polyclonal
    Conjugate
    HRP
    Reactivity
    Mouse
    Applications:
    WB IHC-P ICC/IF FC IAP IP ChIP mIHC-P CUT&Tag