Background
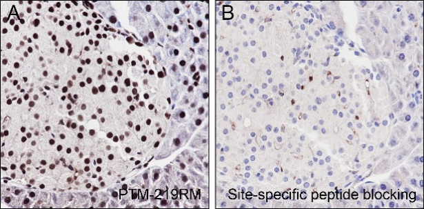
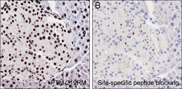
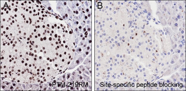
Histones are subject to a variety of enzyme catalyzed modifications, including acetylation, methylation, phosphorylation, ubiquitylation, etc. Lysine propionylation (Kprop) is structurally similar to lysine acetylation, is a newly identified reversible modification controlling protein activity. Lysine propionylation is abundant in both prokaryotes and eukaryotes and has been found in wide ranges of proteins including histones and non-histone substrates, such as p53. Similar to acetylation of histone H4 at Lys5, propionylation of histone H4 at Lys5 may play a vital role in the epigenetic modulation, including chromatin remodeling and transcriptional regulation.
Cellular location
Nucleus
