/ EN
Technical Support
| Contact Us
+1 312-802-6843
Technical Support
Contact Us
+1 312-802-6843
/ EN
Recover password
Professional Email
Verification Code
Send Code
Password
Recombinant Rabbit Monoclonal
Anti-SIRT2 Rabbit mAb
Catalog Number: PTM-6318
References (2)
$ 290

Clone Number: JRMR-10475-35

Host: Rabbit Clonality: Recombinant Monoclonal

Applications: WB IHC-P

Reactivity: Human, Mouse, Rat

Synonyms: NAD-dependent protein deacetylase sirtuin-2, NAD-dependent protein defatty-acylase sirtuin-2, Regulatory protein SIR2 homolog 2, SIR2-like protein 2, SIR2L, SIR2L2

Product Size
100 μl
Quantity

Shipping: Ambient temperature

Order online or send purchase order to info@ptmbio.com

FAQ Technical Support Protocols

General Information
Isotype IgG
Conjugate Unconjugated
Synonyms NAD-dependent protein deacetylase sirtuin-2, NAD-dependent protein defatty-acylase sirtuin-2, Regulatory protein SIR2 homolog 2, SIR2-like protein 2, SIR2L, SIR2L2
UniProt ID

Q8IXJ6

Immunogen Synthetic peptide derived from human NAD-dependent protein deacetylase sirtuin-2
MW (kDa) 43
Specificity
Product Usage Information
Applications Dilution Recommended Species
WB 1:500 - 1:1000 Human, Mouse, Rat
IHC-P 1:50 - 1:100 Human
Properties
Purity Protein A purified
Constituents PBS, Glycerol, BSA
Storage Store at -20°C. Avoid freeze/thaw cycles.
Stability Stable for 12 months from date of receipt/reconstitution.
Target Information

Background

NAD-dependent protein deacetylase sirtuin-2 (SIRT2) is a NAD-dependent protein deacetylase, which deacetylates internal lysines on histone and alpha-tubulin as well as many other proteins such as key transcription factors. SIRT2 participates in the modulation of multiple and diverse biological processes such as cell cycle control, genomic integrity, microtubule dynamics, cell differentiation, metabolic networks, and autophagy. SIRT2 plays a major role in the control of cell cycle progression and genomic stability. It also functions in the antephase checkpoint preventing precocious mitotic entry in response to microtubule stress agents, and hence allowing proper inheritance of chromosomes.

Cellular location

Cytoplasm, cytoskeleton

Images
WB

Blocking buffer: 5% NFDM/TBST
Primary Ab dilution: 1:1000
Primary Ab incubation: 2 hours at room temperature
Secondary Ab: Goat Anti-Rabbit IgG H&L pAb (HRP Conjugate)
Lysate: 1: HEK-293, 2: SHSY-5Y
Protein loading quantity: 20 μg
Exposure time: 60 s
Predicted band size: 43 kDa
Observed band size: 36, 43 kDa

Blocking buffer: 5% NFDM/TBST
Primary Ab dilution: 1:1000
Primary Ab incubation: 2 hours at room temperature
Secondary Ab: Goat Anti-Rabbit IgG H&L pAb (HRP Conjugate)
Lysate: 1: Mouse brain, 2: Rat brain
Protein loading quantity: 20 μg
Exposure time: 30 s
Predicted band size: 43 kDa
Observed band size: 36, 43 kDa

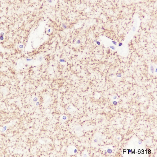
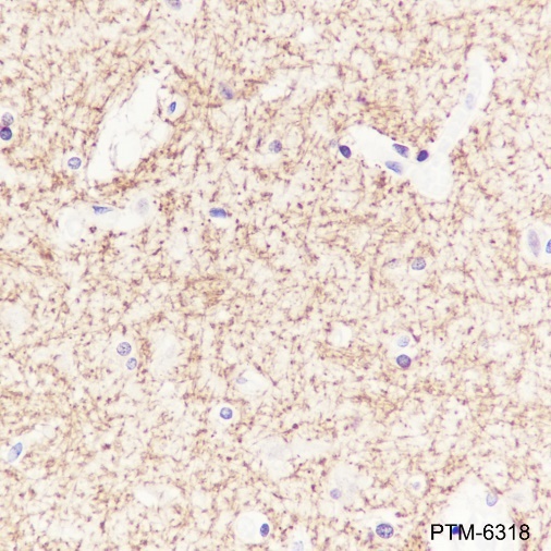
IHC-P

Tissue: Human cerebrum
Section type: Formalin fixed & Paraffin -embedded section
Retrieval method: High temperature and high pressure
Retrieval buffer: Tris/EDTA buffer, pH 9.0
Primary Ab dilution: 1:100
Primary Ab incubation: 1 hour at room temperature
Secondary Ab: Anti-Rabbit and Mouse Polymer HRP (Ready to Use)
Counter stain: Hematoxylin (Blue)
Description: The brown color represents the positive signal observed with PTM-6318

Research Use

For research use only, not for use in diagnostic procedures.

Recommended Products
  • View More Images(5)
    $ 280
    Recombinant
    Anti-SIRT2 Mouse mAb
    Catalog #
    PTM-6043
    Host
    Mouse
    Clonality
    Recombinant Monoclonal
    Conjugate
    Unconjugated
    Reactivity
    Human, Mouse, Rat
    Applications:
    WB IHC-P ICC/IF FC IAP IP ChIP mIHC-P CUT&Tag
References (2)
  • Succinylation of SERCA2a at K352 Promotes Its Ubiquitinoylation and Degradation by Proteasomes in Sepsis-Induced Heart Dysfunction
    Year 2025
    Journal Circ Heart Fail
    Authors Ni Yang, et al.
    Applications IAP
    Reactivity
  • Metabolic regulation of cytoskeleton functions by HDAC6-catalyzed α-tubulin lactylation
    Year 2024
    Journal Nature Communications
    Authors Sun Shuangshuang, et al.
    Applications Unspecified
    Reactivity