/ EN
Technical Support
| Contact Us
+1 312-802-6843
Technical Support
Contact Us
+1 312-802-6843
/ EN
Recover password
Professional Email
Verification Code
Send Code
Password
Recombinant Rabbit Monoclonal
Anti-TNF beta Rabbit mAb
Catalog Number: PTM-6231
This item is discontinued.
Please see alternative products below.

Clone Number: JRMR-10411-36

Host: Rabbit Clonality: Recombinant Monoclonal

Applications: IHC-P FC

Reactivity: Human

Synonyms: Lymphotoxin-alpha, LT-alpha, TNF-beta, Tumor necrosis factor ligand superfamily member 1, LTA, TNFB, TNFSF1

Product Size
100 μl

Shipping: Ambient temperature

Order online or send purchase order to info@ptmbio.com

FAQ Technical Support Protocols

General Information
Isotype IgG
Conjugate Unconjugated
Synonyms Lymphotoxin-alpha, LT-alpha, TNF-beta, Tumor necrosis factor ligand superfamily member 1, LTA, TNFB, TNFSF1
UniProt ID

P01374

Immunogen Synthetic peptide derived from human lymphhotoxin-alpha
MW (kDa)
Specificity
Product Usage Information
Applications Dilution Recommended Species
IHC-P 1:200 - 1:1000 Human
FC 1:50 - 1:100 Human
Properties
Purity Protein A purified
Constituents PBS, Glycerol, BSA
Storage Store at -20°C. Avoid freeze/thaw cycles.
Stability Stable for 12 months from date of receipt/reconstitution.
Target Information

Background

CD31, also known as platelet-endothelial cell adhesion molecule (PECAM-1), is a member of the immunoglobulin superfamily and plays an important role in clearing aging neutrophils from the body. CD31 is present on platelets, neutrophils, monocytes, and some types of T cells, as well as at tight junctions between endothelial cells. It is likely to be involved in leukocyte migration, angiogenesis and integrin activation.

Cellular location

Membrane, Cell junction

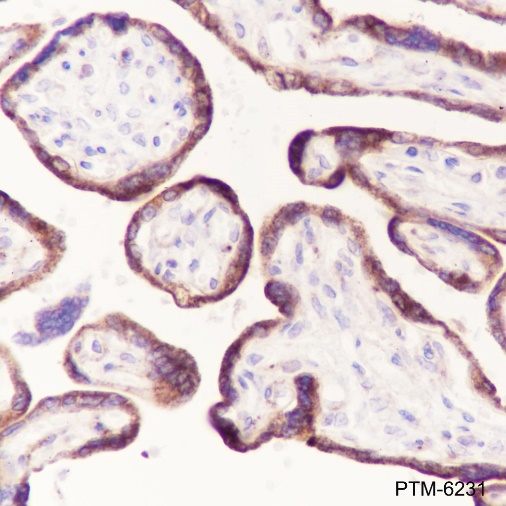
Images
IHC-P

Tissue: Human placenta
Section type: Formalin fixed & Paraffin -embedded section
Retrieval method: High temperature and high pressure
Retrieval buffer: Tris/EDTA buffer, pH 9.0
Primary Ab dilution: 1:1000
Primary Ab incubation: 1 hour at room temperature
Secondary Ab: Anti-Rabbit and Mouse Polymer HRP (Ready to Use)
Counter stain: Hematoxylin (Blue)
Description: The brown color represents the positive signal observed with PTM-6231

FC

Cell line: HeLa
Fixative: 4% Paraformaldehyde
Permeabilization: 90% Methanol
Primary Ab dilution: 1:100
Secondary Ab: Goat Anti-Rabbit IgG
Unlabeled control: Cells without incubation with primary and secondary antibodies (Black line).
Isotype control: Rabbit monoclonal IgG (Blue line).
Description: Line red is the positive signal for PTM-6231

Research Use

For research use only, not for use in diagnostic procedures.