/ EN
Technical Support
| Contact Us
+1 312-802-6843
Technical Support
Contact Us
+1 312-802-6843
/ EN
Recover password
Professional Email
Verification Code
Send Code
Password
Recombinant Rabbit Monoclonal
Anti-Topoisomerase I Rabbit mAb
Catalog Number: PTM-6388
$ 285

Clone Number: JRMR-10808-46

Host: Rabbit Clonality: Recombinant Monoclonal

Applications: WB IHC-P ICC/IF FC IP

Reactivity: Human, Mouse, Rat

Synonyms: TOP1

Product Size
100 μl
Quantity

Shipping: Ambient temperature

Order online or send purchase order to info@ptmbio.com

FAQ Technical Support Protocols

General Information
Isotype IgG
Conjugate Unconjugated
Synonyms TOP1
UniProt ID

P11387

Immunogen Recombinant human Topoisomerase I fragment
MW (kDa) 108
Specificity Anti-Topoisomerase I Rabbit mAb recognizes endogeneous level of Topoisomerase I protein.
Product Usage Information
Applications Dilution Recommended Species
WB 1:500 - 1:2000 Human, Mouse, Rat
IHC-P 1:100 - 1:500 Mouse, Rat
ICC/IF 1:50 Human
FC 1:50 - 1:100 Human
IP 1:25 - 1:50 Human
Properties
Purity Protein A purified
Constituents PBS, Glycerol, BSA
Storage Store at -20°C. Avoid freeze/thaw cycles.
Stability Stable for 12 months from date of receipt/reconstitution.
Target Information

Background

DNA topoisomerases play essential roles in many DNA metabolic processes including DNA repair. Topoisomerases can introduce DNA damage upon exposure to drugs that stabilize the covalent protein-DNA intermediate of the topoisomerase reaction. Lesions in DNA are also able to trap topoisomerase-DNA intermediates. DNA topoisomerase I (Top1) catalyzes the relaxation of supercoiled DNA by a mechanism of transient DNA strand cleavage characterized by the formation of a phosphotyrosyl bond between the DNA end and active site tyrosine.

Cellular location

Cell nucleus

Images
WB

Blocking buffer: 5% NFDM/TBST
Primary Ab dilution: 1:2000
Primary Ab incubation: 2 hours at room temperature
Secondary Ab: Goat Anti-Rabbit IgG H&L pAb (HRP Conjugate)
Lysate: 1: Jurkat, 2: Neuro-2a, 3: PC-12
Protein loading quantity: 20 μg
Exposure time: 60 s
Predicted band size: 91 kDa
Observed band size: 108 kDa

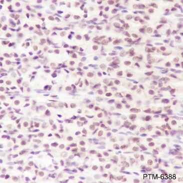
IHC-P

Tissue: Mouse colon
Section type: Formalin-fixed & Paraffin_x0002_embedded section
Retrieval method: High temperature and high pressure
Retrieval buffer: Tris/EDTA buffer, pH 9.0
Primary Ab dilution: 1:500
Primary Ab incubation: 1 hour at room temperature
Secondary Ab: Anti-Rabbit and Mouse Polymer HRP (Ready to Use)
Counter stain: Hematoxylin (Blue)
Description: The brown color represents the positive signal observed with PTM-6388

Tissue: Rat stomach
Section type: Formalin-fixed & Paraffinembedded section
Retrieval method: High temperature and high pressure
Retrieval buffer: Tris/EDTA buffer, pH 9.0
Primary Ab dilution: 1:500
Primary Ab incubation: 1 hour at room temperature
Secondary Ab: Anti-Rabbit and Mouse Polymer HRP (Ready to Use)
Counter stain: Hematoxylin (Blue)
Description: The brown color represents the positive signal observed with PTM-6388

ICC/IF

Cell line: MCF-7
Fixative: 100% Ice-cold methanol
Permeabilization: 0.1% TritonX-100
Primary Ab dilution: 1:50
Primary Ab incubation: 4°C overnight
Secondary Ab: Goat Anti-Rabbit IgG
Nuclear counter stain: DAPI (Blue)
Counter stain: Tubulin (Red)
Description: The green color represents the positive signal observed with PTM-6388

FC

Cell line: HepG2
Fixative: 4% Paraformaldehyde
Permeabilization: 90% Methanol
Primary Ab dilution: 1:100
Secondary Ab: Goat Anti-Rabbit IgG
Unlabeled control: Cells without incubation with primary and secondary antibodies (Black line).
Isotype control: Rabbit monoclonal IgG (Blue line).
Description: Line red is the positive signal for PTM-6388

IP

IP of Jurkat cells extracts
IP Ab incubation: PTM-6388, 4°C
overnight, 1:50 dilution
WB Primary Ab incubation: PTM6388, room temperature 2h, 1:1000 dilution
Secondary Ab: Anti-Rabbit IgG for IP (HRP)
Blocking buffer: 5% NFDM/TBST
Dilution buffer: 5% NFDM/TBST
1: 10% Input
2: IP with PTM-6388
3: IP with Rabbit monoclonal IgG Isotype
Observed MW: 108 kDa
Exposure time: 120 s

Research Use

For research use only, not for use in diagnostic procedures.