/ EN
Technical Support
| Contact Us
+1 312-802-6843
Technical Support
Contact Us
+1 312-802-6843
/ EN
Recover password
Professional Email
Verification Code
Send Code
Password
Recombinant Rabbit Monoclonal
Anti-Trimethyl-Histone H3 (Lys23) Rabbit mAb
Catalog Number: PTM-638RM
This item is discontinued.
Please see alternative products below.

Clone Number: PTPTM-276-20

Host: Rabbit Clonality: Recombinant Monoclonal

Applications: WB FC IP ChIP

Reactivity: Human, Mouse, Rat

Synonyms: H3K23me3

Product Size
100 μl

Shipping: Ambient temperature

Order online or send purchase order to info@ptmbio.com

FAQ Technical Support Protocols

  • View More Images(2)
    $ 370
    Anti-Trimethyl-Histone H3 (Lys23) Mouse mAb
    Catalog #
    PTM-648
    Host
    Mouse
    Clonality
    Monoclonal
    Conjugate
    Unconjugated
    Reactivity
    Human, Mouse, Rat, Monkey
    Applications:
    WB IHC-P ICC/IF FC IAP IP ChIP mIHC-P CUT&Tag
  • View More Images(4)
    $ 380
    Anti-Trimethyl-Histone H3 (Lys23) Rabbit pAb
    Catalog #
    PTM-638
    Host
    Rabbit
    Clonality
    Polyclonal
    Conjugate
    Unconjugated
    Reactivity
    Human, Mouse, Rat
    Applications:
    WB IHC-P ICC/IF FC IAP IP ChIP mIHC-P CUT&Tag
General Information
Isotype IgG
Conjugate Unconjugated
Synonyms H3K23me3
UniProt ID

P68431

Immunogen Trimethylated human histone H3 (Lys23) peptide
MW (kDa) 15
Specificity Anti-Trimethyl-Histone H3 (Lys23) Rabbit mAb detects histone H3 only when it is Trimethyl at Lys23.
Product Usage Information
Applications Dilution Recommended Species
WB 1:500 - 1:1000 Human, Mouse, Rat
FC 1:50 - 1:100 Human
ChIP 10 μg per 5x106 cells Human
IP 1:25 - 1:50 Human
Properties
Purity Protein A purified
Constituents PBS, Glycerol, BSA
Storage Store at -20°C. Avoid freeze/thaw cycles.
Stability Stable for 12 months from date of receipt/reconstitution.
Target Information

Background

Histone post-translational modifications (PTMs) are key mechanisms of epigenetics that modulate chromatin structures, termed as “histone code”. The PTMs on histone including acetylation, methylation, phosphorylation and novel acylations directly affect the accessibility of chromatin to transcription factors and other epigenetic regulators, altering genome stability, gene transcription, etc. Histone methylation occurs primarily at lysine and arginine residues on the amino terminal of core histones. Methylation of histones can either increase or decrease transcription of genes, depending on which amino acids (Lys or Arg) in the histones are methylated and how many methyl groups are attached (mono-, di-, Trimethylation on Lys, mono-di-symmetric/asymmetric methylation on Arg). Mostly, lysine methylation occurs primarily on histone H3 Lys4, 9, 27, 36, 79 and H4 Lys20, while Arginine methylation occurs primarily on histone H3 Arg2, 8, 17, 26 and H4 Arg3. histone methyltransferases (HMTs) and histone demethylases (HDMs) are major regulating factors.

Cellular location

Nucleus

Images
Dot Blot

Blocking buffer: 5% NFDM/TBST
Primary Ab dilution: 1:2000
Primary Ab incubation: 2 hours at
room temperature
Secondary Ab: Goat Anti-Rabbit IgG H&L pAb (HRP Conjugate)
Immunogen peptide quantity: 4 ng,16 ng, 64
ng
Exposure time: 10 s
The list of peptides is included in the table below.

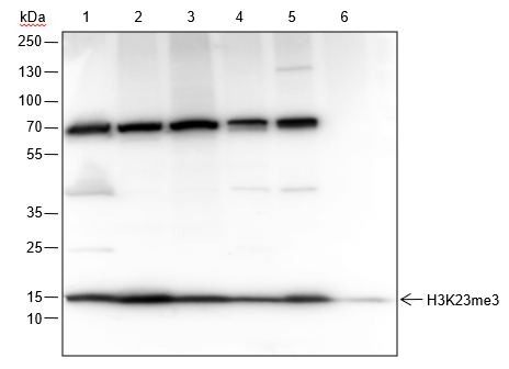
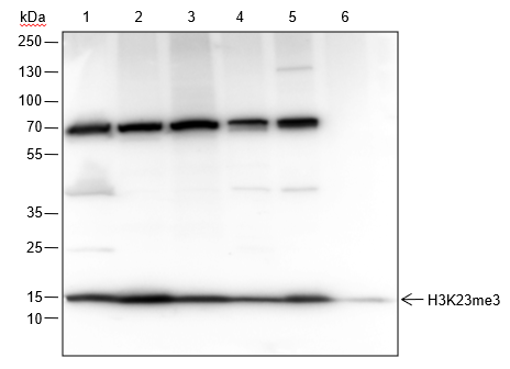
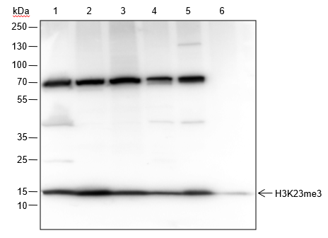
WB

Blocking buffer: 5% NFDM/TBST
Primary Ab dilution: 1:1000
Primary Ab incubation: 2 hours at room temperature
Secondary Ab: Goat Anti-Rabbit IgG H&L pAb (HRP Conjugate)
Lysate: 1: HeLa, 2: NIH-3T3, 3: BRL, 4: Rat kidney, 5: Mouse kidney, 6: Recombinant histone H3 (20ng)
Protein loading quantity: 20 μg
Exposure time: 10 s
Predicted band size: 15 kDa
Observed band size: 15 kDa

FC

Cell line: HeLa
Fixative: 4% Paraformaldehyde
Permeabilization: 90% methanol
Primary Ab dilution: 1:100
Secondary Ab: Goat anti Rabbit IgG
Unlabeled control: Cells without incubation with primary and secondary antibodies (Black line).
Isotype control: Rabbit monoclonal IgG (Blue line).
Description: Line red is the positive signal for PTM-638RM

ChIP

Cell type: HeLa
Cross-linking conditions: no cross-linking
Amount of chromatin per IP: 5×106 cells
Amount of Ab per IP: 10 μg
Beads type and amount per IP: 50 μL of Protein A MagBeads
Description: Chromatin immunoprecipitations were performed with 10 μg of normal rabbit IgG as a negative control. The immunoprecipitated DNA was quantified by real-time PCR using primers specific for the human LDHA. The data are presented as enrichment of each sample relative to the total amount of input chromatin at each amplicon.

IP

IP of HeLa cells extracts
IP Ab incubation: PTM-638RM, 4°C overnight, 1:50 dilution
WB Primary Ab incubation: PTM638RM, room temperature 2h, 1:1000 dilution
Secondary Ab: Anti-Rabbit IgG for IP (HRP Conjugate)
Blocking buffer and concentration: 5% NFDM/TBST
Diluting buffer and concentration: 5% NFDM/TBST
1: 5% Input
2: IP with Rabbit monoclonal IgG Isotype
3: IP with PTM-638RM
Observed band size: 15 kDa
Exposure time: 30 s

Research Use

For research use only, not for use in diagnostic procedures.