/ EN
Technical Support
| Contact Us
+1 312-802-6843
Technical Support
Contact Us
+1 312-802-6843
/ EN
Recover password
Professional Email
Verification Code
Send Code
Password
Anti-Trimethyl-Histone H3 (Lys27) Rabbit pAb
Catalog Number: PTM-622
References (4)
This item is discontinued.
Please see alternative products below.

Clone Number: /

Host: Rabbit Clonality: Polyclonal

Applications: WB IHC-P IP ChIP

Reactivity: Human, Mouse, Rat

Synonyms: H3K27me3

Product Size
100 μl

Shipping: Ambient temperature

Order online or send purchase order to info@ptmbio.com

FAQ Technical Support Protocols

  • View More Images(5)
    $ 355
    Anti-Trimethyl-Histone H3 (Lys27) Mouse mAb
    Catalog #
    PTM-651
    Host
    Mouse
    Clonality
    Monoclonal
    Conjugate
    Unconjugated
    Reactivity
    Human, Mouse, Rat, Monkey
    Applications:
    WB IHC-P ICC/IF FC IAP IP ChIP mIHC-P CUT&Tag
  • View More Images(4)
    $ 335
    Recombinant
    Anti-Trimethyl-Histone H3 (Lys27) Mouse mAb
    Catalog #
    PTM-5002
    Host
    Mouse
    Clonality
    Recombinant Monoclonal
    Conjugate
    Unconjugated
    Reactivity
    Human, Mouse, Rat
    Applications:
    WB IHC-P ICC/IF FC IAP IP ChIP mIHC-P CUT&Tag
  • View More Images(4)
    $ 345
    Recombinant Rabbit Monoclonal
    Anti-Trimethyl-Histone H3 (Lys27) Rabbit mAb
    Catalog #
    PTM-647RM
    Host
    Rabbit
    Clonality
    Recombinant Monoclonal
    Conjugate
    Unconjugated
    Reactivity
    Human, Mouse, Rat
    Applications:
    WB IHC-P ICC/IF FC IAP IP ChIP mIHC-P CUT&Tag
General Information
Isotype IgG
Conjugate Unconjugated
Synonyms H3K27me3
UniProt ID

P68431

Immunogen Trimethylated human histone H3 (Lys27) peptide
MW (kDa) 15
Specificity
Product Usage Information
Applications Dilution Recommended Species
WB 1:500 - 1:2000 Human, Mouse, Rat
IHC-P 1:200 - 1:1000 Mouse
ChIP 1:50 - 1:200 Human
IP 1:25 - 1:100 Mouse
Properties
Purity Protein A and immunogen affinity purified
Constituents PBS, Glycerol, BSA
Storage Store at -20°C. Avoid freeze/thaw cycles.
Stability Stable for 12 months from date of receipt/reconstitution.
Target Information

Background

Histone post-translational modifications (PTMs) are key mechanisms of epigenetics that modulate chromatin structures, termed as “histone code”. The PTMs on histone including acetylation, methylation, phosphorylation and novel acylations directly affect the accessibility of chromatin to transcription factors and other epigenetic regulators, altering genome stability, gene transcription, etc. Histone methylation occurs primarily at lysine and arginine residues on the amino terminal of core histones. Methylation of histones can either increase or decrease transcription of genes, depending on which amino acids (Lys or Arg) in the histones are methylated and how many methyl groups are attached (mono-, di-, Trimethylation on Lys, mono-di-symmetric/asymmetric methylation on Arg). Mostly, lysine methylation occurs primarily on histone H3 Lys4, 9, 27, 36, 79 and H4 Lys20, while Arginine methylation occurs primarily on histone H3 Arg2, 8, 17, 26 and H4 Arg3. histone methyltransferases (HMTs) and histone demethylases (HDMs) are major regulating factors.

Cellular location

Nucleus

Images
Dot Blot

Blocking buffer: 5% NFDM/TBST
Primary Ab dilution: 1:2000
Primary Ab incubation: 2 hours at room temperature
Secondary Ab: Goat Anti-Rabbit IgG H&L pAb (HRP Conjugate)
Immunogen peptide quantity: 1 ng, 4 ng, 16 ng
Exposure time: 30 s
The list of peptides is included in the table below.

WB

Blocking buffer: 5% NFDM/TBST
Primary Ab dilution: 1:2000
Primary Ab incubation: 2 hours at
room temperature
Secondary Ab: Goat Anti-Rabbit IgG H&L pAb (HRP Conjugate)
Lysate: HeLa, 3T3, H1299
Protein loading quantity: 20 μg
Exposure time: 60 s
Predicted band size: 17 kDa
Observed band size: 17 kDa

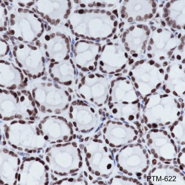
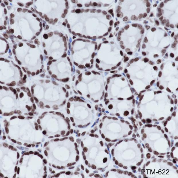
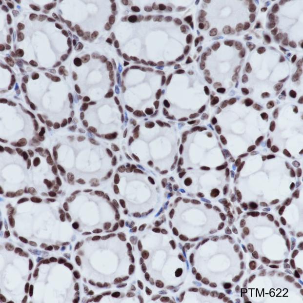
IHC-P

Tissue: Mouse colon
Section type: Formalin fixed & Paraffin - embedded section
Retrieval method: High temperature and high pressure
Retrieval buffer: Tris/EDTA buffer, pH 9.0
Primary Ab dilution: 1:1000
Primary Ab incubation: 1 hour at room temperature
Secondary Ab: Anti-Rabbit and Mouse Polymer HRP (Ready to Use)
Counter stain: Hematoxylin (Blue)
Description: The brown color represents the positive signal observed with PTM-62

ChIP

Cell type: HeLa
Cross-linking conditions: no cross-linking
Amount of chromatin per IP: 5×106 cells
Amount of Ab per IP: 1:500, 1:200
Beads type and amount per IP: 50 μl of Protein A/G MagBeads
Description: Chromatin immunoprecipitations were performed with 1 μg of normal rabbit IgG as a negative control. The immunoprecipitated DNA was quantified by real-time PCR using primers specific for the human GAPDH Promoter, GAPDH CDS region, RPL30 and MyoD1. The data are presented as enrichment of each sample relative to the total amount of input chromatin at each amplicon.

IP

IP of Mouse liver tissues extracts
IP Ab incubation: PTM-622, 4°C overnight, 1:25, 1:100 dilution
WB Primary Ab incubation: PTM622, room temperature 2h, 1:2000 dilution
Secondary Ab: Anti-Rabbit IgG for IP (HRP Conjugate)
Blocking buffer and concentration: 5% NFDM/TBST
Diluting buffer and concentration: 5% NFDM/TBST
Lane 1: 5% Input
Lane 2: IP with PTM-622 (1:100)
Lane 3: IP with PTM-622 (1:25)
Observed band size: 17 kDa
Exposure time: 60 s

Research Use

For research use only, not for use in diagnostic procedures.

Recommended Products
  • View More Images(3)
    $ 420
    Anti-β-Hydroxybutyryl-Histone H3 (Lys27) Mouse mAb
    Catalog #
    PTM-1293
    Host
    Mouse
    Clonality
    Monoclonal
    Conjugate
    Unconjugated
    Reactivity
    Human, Mouse, Rat
    Applications:
    WB IHC-P ICC/IF FC IAP IP ChIP mIHC-P CUT&Tag
  • View More Images(3)
    $ 420
    Anti-Butyryl-Histone H3 (Lys27) Mouse mAb
    Catalog #
    PTM-326
    Host
    Mouse
    Clonality
    Monoclonal
    Conjugate
    Unconjugated
    Reactivity
    Human, Mouse, Rat
    Applications:
    WB IHC-P ICC/IF FC IAP IP ChIP mIHC-P CUT&Tag
  • View More Images(5)
    $ 335
    Recombinant
    Anti-Dimethyl-Histone H3 (Lys27) Mouse mAb
    Catalog #
    PTM-5312
    Host
    Mouse
    Clonality
    Recombinant Monoclonal
    Conjugate
    Unconjugated
    Reactivity
    Human, Mouse, Rat
    Applications:
    WB IHC-P ICC/IF FC IAP IP ChIP mIHC-P CUT&Tag
  • View More Images(5)
    $ 435
    Recombinant Rabbit Monoclonal
    Anti-Crotonyl-Histone H3 (Lys27) Rabbit mAb
    Catalog #
    PTM-545RM
    Host
    Rabbit
    Clonality
    Recombinant Monoclonal
    Conjugate
    Unconjugated
    Reactivity
    Human, Mouse, Rat
    Applications:
    WB IHC-P ICC/IF FC IAP IP ChIP mIHC-P CUT&Tag
  • View More Images(2)
    $ 355
    Anti-Monomethyl-Histone H3 (Lys27) Rabbit pAb
    Catalog #
    PTM-620
    Host
    Rabbit
    Clonality
    Polyclonal
    Conjugate
    Unconjugated
    Reactivity
    Human, Mouse, Rat, Monkey
    Applications:
    WB IHC-P ICC/IF FC IAP IP ChIP mIHC-P CUT&Tag
  • View More Images(7)
    $ 320
    Recombinant Rabbit Monoclonal
    Anti-Acetyl-Histone H3 (Lys27) Rabbit mAb
    Catalog #
    PTM-116RM
    Host
    Rabbit
    Clonality
    Recombinant Monoclonal
    Conjugate
    Unconjugated
    Reactivity
    Human
    Applications:
    WB IHC-P ICC/IF FC IAP IP ChIP mIHC-P CUT&Tag
  • View More Images(2)
    $ 340
    Anti-Trimethyllysine Rabbit pAb
    Catalog #
    PTM-601
    Host
    Rabbit
    Clonality
    Polyclonal
    Conjugate
    Unconjugated
    Reactivity
    All
    Applications:
    WB IHC-P ICC/IF FC IAP IP ChIP mIHC-P CUT&Tag
References (4)
  • CBX7C⋅PHC2 interaction facilitates PRC1 assembly and modulates its phase separation properties
    Year 2024
    Journal iScience
    Authors Shanli Guan, et al.
    Applications Unspecified
    Reactivity
  • Phosphorylation of PHF2 by AMPK releases the repressive H3K9me2 and inhibits cancer metastasis
    Year 2023
    Journal Signal Transduction and Targeted Therapy
    Authors Dong Ying, et al.
    Applications Unspecified
    Reactivity
  • A bacteriocyte symbiont determines whitefly sex ratio by regulating mitochondrial function.
    Year 2023
    Journal Cell Reports
    Authors Yao YL, et al.
    Applications Unspecified
    Reactivity
  • Histone demethylase UTX is a therapeutic target for diabetic kidney disease
    Year 2018
    Journal JOURNAL OF PHYSIOLOGY-LONDON
    Authors Hong Chen, et al.
    Applications Unspecified
    Reactivity