/ EN
Technical Support
| Contact Us
+1 312-802-6843
Technical Support
Contact Us
+1 312-802-6843
/ EN
Recover password
Professional Email
Verification Code
Send Code
Password
Recombinant
Anti-Trimethyl-Histone H3 (Lys79) Mouse mAb
Catalog Number: PTM-5157
References (1)
$ 320

Clone Number: 11529

Host: Mouse Clonality: Recombinant Monoclonal

Applications: WB IHC-P

Reactivity: Human, Mouse, Rat

Synonyms: H3K79me3

Product Size
100 μl
Quantity

Shipping: Ambient temperature

Order online or send purchase order to info@ptmbio.com

FAQ Technical Support Protocols

General Information
Isotype IgG1
Conjugate Unconjugated
Synonyms H3K79me3
UniProt ID

P68431

Immunogen Trimethylated human histone H3 (Lys79) peptide
MW (kDa) 15
Specificity
Product Usage Information
Applications Dilution Recommended Species
WB 1:500 - 1:1000 Human, Mouse, Rat
IHC-P 1:50 - 1:100 Human, Mouse, Rat
Properties
Purity Protein G purified
Constituents PBS, Glycerol, BSA
Storage Store at -20°C. Avoid freeze/thaw cycles.
Stability Stable for 12 months from date of receipt/reconstitution.
Target Information

Background

Histone post-translational modifications (PTMs) are key mechanisms of epigenetics that modulate chromatin structures, termed as “histone code”. The PTMs on histone including acetylation, methylation, phosphorylation and novel acylations directly affect the accessibility of chromatin to transcription factors and other epigenetic regulators, altering genome stability, gene transcription, etc. Histone methylation occurs primarily at lysine and arginine residues on the amino terminal of core histones. Methylation of histones can either increase or decrease transcription of genes, depending on which amino acids (Lys or Arg) in the histones are methylated and how many methyl groups are attached (mono-, di-, Trimethylation on Lys, mono-di-symmetric/asymmetric methylation on Arg). Mostly, lysine methylation occurs primarily on histone H3 Lys4, 9, 27, 36, 79 and H4 Lys20, while Arginine methylation occurs primarily on histone H3 Arg2, 8, 17, 26 and H4 Arg3. histone methyltransferases (HMTs) and histone demethylases (HDMs) are major regulating factors.

Cellular location

Nucleus

Images
WB

Blocking buffer: 5% NFDM/TBST
Primary Ab dilution: 1:1000
Primary Ab incubation: 2 hours at room temperature
Secondary Ab: Goat Anti-Mouse IgG H&L pAb(HRP Conjugate)
Lysate: 1: HeLa, 2: Neuro-2a, 3: BRL, 4: Mouse liver, 5: Mouse kidney
Protein loading quantity: 20 μg
Exposure time: 30 s
Predicted band size: 15 kDa
Observed band size: 15 kDa

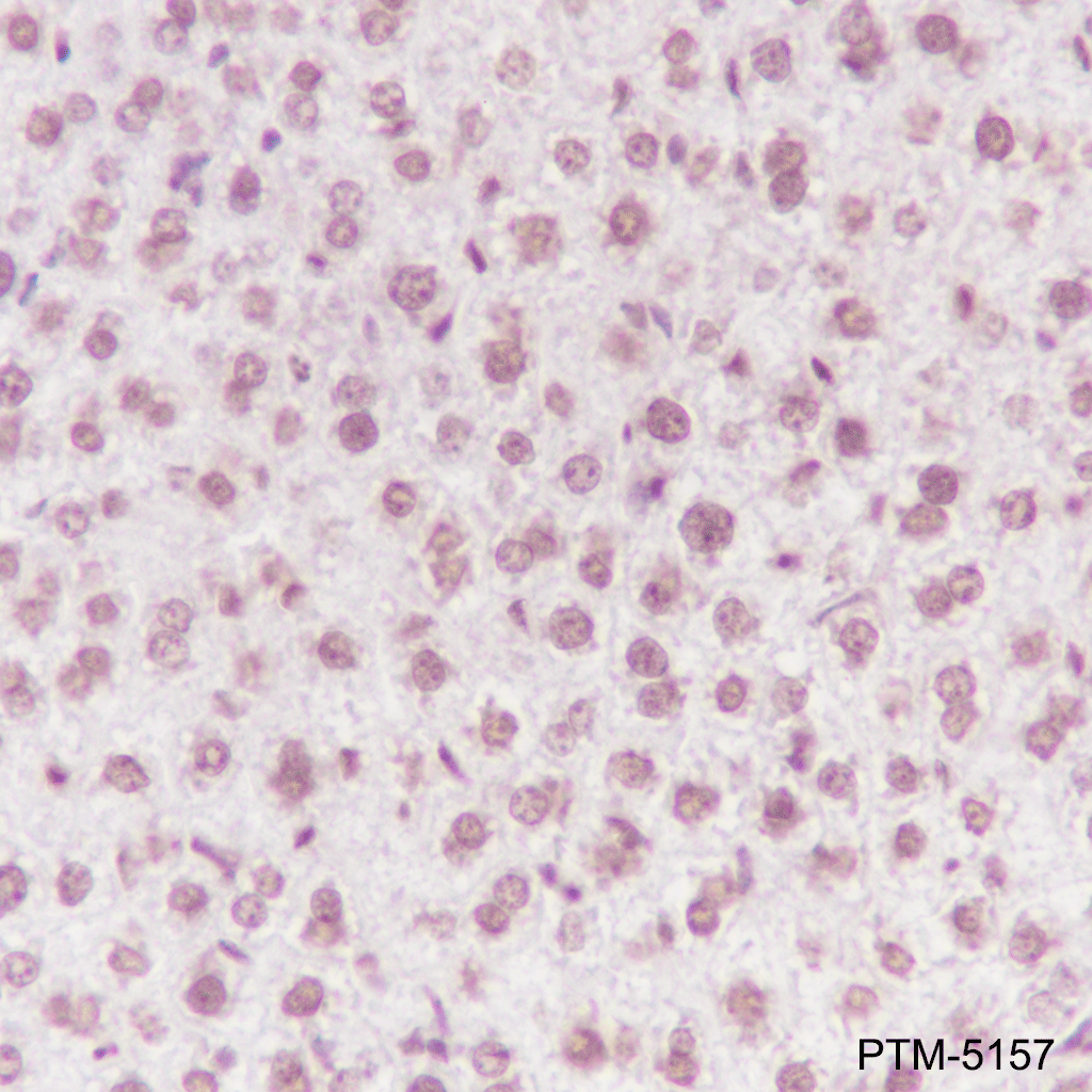
IHC-P

Tissue: Human liver
Section type: Formalin fixed & Paraffin - embedded section
Retrieval method: High temperature and high pressure
Retrieval buffer: Tris/EDTA buffer, pH 9.0
Primary Ab dilution: 1:100
Primary Ab incubation: 1 hour at room temperature
Secondary Ab: Anti-Rabbit and Mouse Polymer HRP (Ready to Use)
Counter stain: Hematoxylin (Blue)
Description: The brown color represents the positive signal observed with PTM-5157

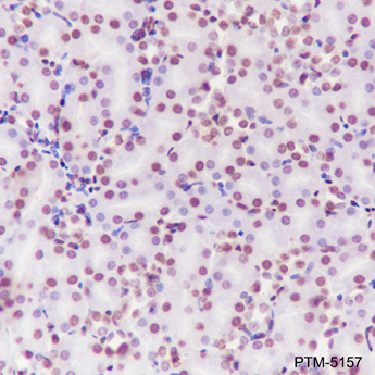
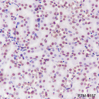
Tissue: Mouse kidney
Section type: Formalin fixed & Paraffin - embedded section
Retrieval method: High temperature and high pressure
Retrieval buffer: Tris/EDTA buffer, pH 9.0
Primary Ab dilution: 1:100
Primary Ab incubation: 1 hour at room temperature
Secondary Ab: Anti-Rabbit and Mouse Polymer HRP (Ready to Use)
Counter stain: Hematoxylin (Blue)
Description: The brown color represents the positive signal observed with PTM-5157

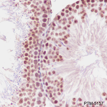
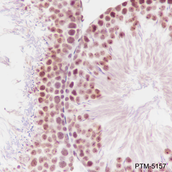
Tissue: Rat testis
Section type: Formalin fixed & Paraffin - embedded section
Retrieval method: High temperature and high pressure
Retrieval buffer: Tris/EDTA buffer, pH 9.0
Primary Ab dilution: 1:100
Primary Ab incubation: 1 hour at room temperature
Secondary Ab: Anti-Rabbit and Mouse Polymer HRP (Ready to Use)
Counter stain: Hematoxylin (Blue)
Description: The brown color represents the positive signal observed with PTM-5157

Research Use

For research use only, not for use in diagnostic procedures.

Recommended Products
  • View More Images(3)
    $ 340
    Anti-Trimethyl-Histone H3 (Lys79) Mouse mAb
    Catalog #
    PTM-689
    Host
    Mouse
    Clonality
    Monoclonal
    Conjugate
    Unconjugated
    Reactivity
    Human, Mouse, Rat, Monkey
    Applications:
    WB IHC-P ICC/IF FC IAP IP ChIP mIHC-P CUT&Tag
  • View More Images(4)
    $ 350
    Anti-Trimethyl-Histone H3 (Lys79) Rabbit pAb
    Catalog #
    PTM-630
    Host
    Rabbit
    Clonality
    Polyclonal
    Conjugate
    Unconjugated
    Reactivity
    Human, Mouse, Rat, Monkey
    Applications:
    WB IHC-P ICC/IF FC IAP IP ChIP mIHC-P CUT&Tag
References (1)
  • Baicalein specifically suppresses microsatellite instability colorectal cancer by targeting adenosylhomocysteinase to inhibit histone H3 lysine 4 trimethylation-mediated cancer stemness
    Year 2025
    Journal PHYTOMEDICINE
    Authors Yaqiu Zheng, et al.
    Applications Unspecified
    Reactivity