/ EN
Technical Support
| Contact Us
+1 312-802-6843
Technical Support
Contact Us
+1 312-802-6843
/ EN
Recover password
Professional Email
Verification Code
Send Code
Password
Recombinant
Anti-UBE2C Mouse mAb
Catalog Number: PTM-6376
$ 280

Clone Number: JMMR-1775B

Host: Mouse Clonality: Recombinant Monoclonal

Applications: WB IHC-P ICC/IF

Reactivity: Human, Mouse, Rat

Synonyms: Ubiquitin-conjugating enzyme E2 C, (E3-independent) E2 ubiquitin-conjugating enzyme C, E2 ubiquitin-conjugating enzyme C, UbcH10, Ubiquitin carrier protein C, Ubiquitin-protein ligase C, UBCH10

Product Size
100 μl
Quantity

Shipping: Ambient temperature

Order online or send purchase order to info@ptmbio.com

FAQ Technical Support Protocols

General Information
Isotype IgG1
Conjugate Unconjugated
Synonyms Ubiquitin-conjugating enzyme E2 C, (E3-independent) E2 ubiquitin-conjugating enzyme C, E2 ubiquitin-conjugating enzyme C, UbcH10, Ubiquitin carrier protein C, Ubiquitin-protein ligase C, UBCH10
UniProt ID

O00762

Immunogen Synthetic peptide derived from human ubiquitin-conjugating enzyme E2 C
MW (kDa) 20
Specificity
Product Usage Information
Applications Dilution Recommended Species
WB 1:500 - 1:1000 Human, Mouse, Rat
IHC-P 1:50 - 1:100 Human, Mouse, Rat
ICC/IF 1:50 Human
Properties
Purity Protein A purified
Constituents PBS, Glycerol, BSA
Storage Store at -20°C. Avoid freeze/thaw cycles.
Stability Stable for 12 months from date of receipt/reconstitution.
Target Information

Background

UBE2C is one of several ubiquitin conjugating enzymes participating in the E3 anaphase-promoting complex (APC/C). UBE2C is involved in the control of multiple stages of the cell cycle including inactivation of the mitotic spindle assembly checkpoint. UBE2C facilitates ubiquitin-dependent proteasomal degradation by initiating K11-linked ubiquitin chains on APC/C substrates. Research studies show that UBE2C expression is low in normal tissues, but its expression is dramatically upregulated in tumors derived from tissues such as lung, breast, and prostate. Overexpression of UBE2C in many types of solid tumors has been attributed to genomic amplification of the UBE2C locus and research studies have suggested that inhibition of UBE2C activity may have therapeutic potential.

Cellular location

Cytosol, Nucleus, Plasma Membrane

Images
WB

Blocking buffer: 5% NFDM/TBST
Primary Ab dilution: 1:1000
Primary Ab incubation: 2 hours at room temperature
Secondary Ab: Goat Anti-Mouse IgGH&L(HRP Conjugate)
Lysate: 1: HeLa, 2: HEK-293, 3: 4T1, 4: BRL
Protein loading quantity: 20 μg
Exposure time: 30 seconds
Predicted band size: 20 kDa
Observed band size: 20 kDa

IHC-P

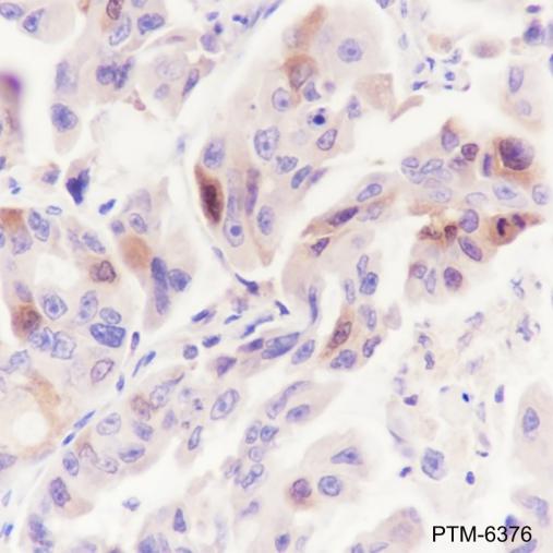
Tissue: Human lung adenocarcinoma
Section type: Formalin-fixed & Paraffin-embedded section
Retrieval method: High temperature and highpressure
Retrieval buffer: Tris/EDTA buffer, pH9.0
Primary Ab dilution: 1:100
Primary Ab incubation: 1 hour at room temperature
Secondary Ab: Anti-Rabbit and Mouse Polymer HRP (Ready to Use)
Counter stain: Hematoxylin (Blue)
Description: The brown color represents the positive signal observed with PTM-6376

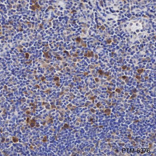
Tissue: Human tonsil
Section type: Formalin-fixed & Paraffin-embedded section
Retrieval method: High temperature and highpressure
Retrieval buffer: Tris/EDTA buffer, pH9.0
Primary Ab dilution: 1:100
Primary Ab incubation: 1 hour at room temperature
Secondary Ab: Anti-Rabbit and Mouse Polymer HRP (Ready to Use)
Counter stain: Hematoxylin (Blue)
Description: The brown color represents the positive signal observed with PTM-6376

Tissue: Mouse colon
Section type: Formalin-fixed & Paraffin-embedded section
Retrieval method: High temperature and highpressure
Retrieval buffer: Tris/EDTA buffer, pH9.0
Primary Ab dilution: 1:100
Primary Ab incubation: 1 hour at room temperature
Secondary Ab: Anti-Rabbit and Mouse Polymer HRP (Ready to Use)
Counter stain: Hematoxylin (Blue)
Description: The brown color represents the positive signal observed with PTM-6376

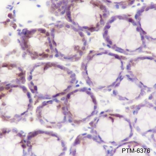
Tissue: Rat stomach
Section type: Formalin-fixed & Paraffin-embedded section
Retrieval method: High temperature and high pressure
Retrieval buffer: Tris/EDTA buffer, pH 9.0
Primary Ab dilution: 1:100
Primary Ab incubation: 1 hour at room temperature
Secondary Ab: Anti-Rabbit and Mouse Polymer HRP (Ready to Use)
Counter stain: Hematoxylin (Blue)
Description: The brown color represents the positive signal observed with PTM-6376

ICC/IF

Cell line: HeLa
Fixative: 100% Ice-cold methanol
Permeabilization: 0.1% Triton X-100
Primary Ab dilution: 1:50
Primary Ab incubation: 4°C overnight
Secondary Ab: Goat Anti-Mouse IgG
Nuclear counter stain: DAPI (Blue)
Description: The green color represents the positive signal observed with PTM-6376

Cell line: HepG2
Fixative: 4% Paraformaldehyde
Permeabilization: 0.1% Triton X-100
Primary Ab dilution: 1:50
Primary Ab incubation: 4°C overnight
Secondary Ab: Goat Anti-Mouse IgG
Nuclear counter stain: DAPI (Blue)
Description: The green color represents the positive signal observed with PTM-6376

Research Use

For research use only, not for use in diagnostic procedures.