/ EN
Technical Support
| Contact Us
+1 312-802-6843
Technical Support
Contact Us
+1 312-802-6843
/ EN
Recover password
Professional Email
Verification Code
Send Code
Password
Recombinant Rabbit Monoclonal
Anti-Ubiquitin Mouse mAb (N-terminal)
Catalog Number: PTM-1107
References (19)
$ 290

Clone Number: /

Host: Mouse Clonality: Monoclonal

Applications: WB IHC-P

Reactivity: Human, Mouse, Rat

Synonyms: /

Product Size
100μl
Quantity

Shipping: Ambient temperature

Order online or send purchase order to info@ptmbio.com

FAQ Technical Support Protocols

General Information
Isotype IgG
Conjugate Unconjugated
Synonyms /
UniProt ID

P62979

Immunogen Synthetic peptide corresponding to the N-terminus of human ubiquitin
MW (kDa) Multiple
Specificity Anti-Ubiquitin Mouse mAb (N-terminal) detects endogenous ubiquitin, polyubiquitin, and ubiquitinated proteins.
Product Usage Information
Applications Dilution Recommended Species
WB 1:500 - 1:2000 Human, Mouse, Rat
IHC-P 1:100 - 1:500 Human
Properties
Purity Protein G and immunogen affinity purified
Constituents PBS, Glycerol, BSA
Storage Store at -20°C. Avoid freeze/thaw cycles.
Stability Stable for 12 months from date of receipt/reconstitution.
Target Information

Background

Ubiquitin (Ub) is a highly conserved 76-amino acid protein that plays a critical role in regulating cellular processes. By covalently attaching to target proteins through a three-step process involving Ub-activating (E1), Ub-conjugating (E2), and Ub-ligating (E3) enzymes, ubiquitination marks the target proteins for proteasomal degradation, modulates membrane protein trafficking, alters protein-protein interactions, and controls the activity of many signal transduction pathways. Ubiquitination occurs through the formation of an isopeptide bond between its C-terminal Gly76 and a lysine residue in the target protein. This process can occur either as a monomer (monoubiquitin) or as a polymer (polyubiquitin chains), where the C-terminus of a chain extending ubiquitin becomes linked to the N-terminus (M1) or one of seven Lys residues (Lys6, Lys11, Lys27, Lys29, Lys33, Lys48, and Lys63) within a substrate-bound ubiquitin molecule, resulting in polyubiquitin chains with different functions. Lys6-linked may be involved in DNA repair; Lys11-linked is involved in ERAD (endoplasmic reticulum-associated degradation) and in cell-cycle regulation; Lys29-linked is involved in lysosomal degradation; Lys33-linked is involved in kinase modification; Lys48-linked is involved in protein degradation via the proteasome; Lys63-linked is involved in endocytosis, and DNA-damage responses.

Cellular location

Nucleus, Cytoplasm

Images
WB

Lysate: HeLa, C2C12, COS
Protein loading amount: 20 μg
Blocking buffer: 5% NFDM/TBST
Primary Ab dilution: 1:2000
Primary Ab incubation: 2 hours at room temperature
Secondary Ab: Goat Anti-Rabbit IgG H&L pAb (HRP Conjugate)
Exposure time: 60 seconds
Predicted band size: Multiple
Observed band size: Multiple

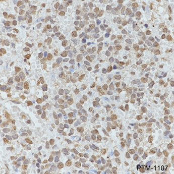
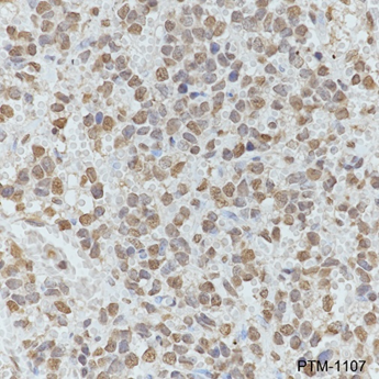
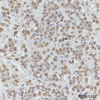
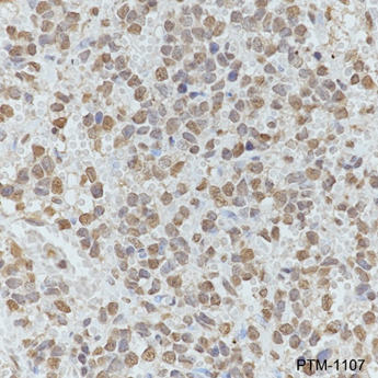
IHC-P

Tissue: Human neuroblastoma
Section type: Formalin fixed & paraffin-embedded section
Retrieval method: High temperature and high pressure
Retrieval buffer: Tris/EDTA buffer, pH 9.0
Primary Ab dilution: 1:500
Primary Ab incubation: 1 hour at room temperature
Secondary Ab: Anti-Rabbit and Mouse Polymer HRP (Ready to Use)
Counter stain: Hematoxylin (blue)
Description: The brown color represents the positive signal observed with PTM-1107.

Research Use

For research use only, not for use in diagnostic procedures.

Recommended Products
  • View More Images(2)
    $ 270
    Recombinant Rabbit Monoclonal
    Anti-Ubiquitin Mouse mAb (N-terminal)
    Catalog #
    PTM-5798
    Host
    Mouse
    Clonality
    Recombinant Monoclonal
    Conjugate
    Unconjugated
    Reactivity
    Human, Mouse, Rat
    Applications:
    WB IHC-P ICC/IF FC IAP IP ChIP mIHC-P CUT&Tag
  • View More Images(3)
    $ 300
    Recombinant Rabbit Monoclonal
    Anti-Ubiquitin Rabbit pAb (N-terminal)
    Catalog #
    PTM-1106
    Host
    Rabbit
    Clonality
    Polyclonal
    Conjugate
    Unconjugated
    Reactivity
    Human, Mouse, Rat, Monkey
    Applications:
    WB IHC-P ICC/IF FC IAP IP ChIP mIHC-P CUT&Tag
  • View More Images(2)
    $ 280
    Recombinant Rabbit Monoclonal
    Anti-Ubiquitin Rabbit mAb (N-terminal)
    Catalog #
    PTM-1106RM
    Host
    Rabbit
    Clonality
    Recombinant Monoclonal
    Conjugate
    Unconjugated
    Reactivity
    Human, Mouse, Rat
    Applications:
    WB IHC-P ICC/IF FC IAP IP ChIP mIHC-P CUT&Tag
  • View More Images(7)
    $ 280
    Recombinant Rabbit Monoclonal
    Anti-Ubiquitin Rabbit mAb (N-terminal)
    Catalog #
    PTM-7311
    Host
    Rabbit
    Clonality
    Recombinant Monoclonal
    Conjugate
    Unconjugated
    Reactivity
    Human, Mouse, Rat
    Applications:
    WB IHC-P ICC/IF FC IAP IP ChIP mIHC-P CUT&Tag
  • View More Images(1)
    $ 465
    Recombinant Rabbit Monoclonal
    Anti-Ubiquitin Rabbit mAb (N-terminal, BSA and Azide Free)
    Catalog #
    PTM-1124RM
    Host
    Rabbit
    Clonality
    Recombinant Monoclonal
    Conjugate
    Unconjugated
    Reactivity
    All
    Applications:
    WB IHC-P ICC/IF FC IAP IP ChIP mIHC-P CUT&Tag
  • View More Images(4)
    $ 135
    Recombinant Rabbit Monoclonal
    Goat Anti-Mouse IgG H&L (HRP Conjugate)
    Catalog #
    PTM-7168
    Host
    Goat
    Clonality
    Polyclonal
    Conjugate
    HRP
    Reactivity
    Mouse
    Applications:
    WB IHC-P ICC/IF FC IAP IP ChIP mIHC-P CUT&Tag
  • View More Images(6)
    $ 290
    Recombinant Rabbit Monoclonal
    Anti-RING1B Rabbit mAb
    Catalog #
    PTM-6605
    Host
    Rabbit
    Clonality
    Recombinant Monoclonal
    Conjugate
    Unconjugated
    Reactivity
    Human, Mouse, Rat
    Applications:
    WB IHC-P ICC/IF FC IAP IP ChIP mIHC-P CUT&Tag
  • View More Images(1)
    $ 285
    Recombinant
    Anti-BMI1 Mouse mAb
    Catalog #
    PTM-5709
    Host
    Mouse
    Clonality
    Recombinant Monoclonal
    Conjugate
    Unconjugated
    Reactivity
    Human, Mouse
    Applications:
    WB IHC-P ICC/IF FC IAP IP ChIP mIHC-P CUT&Tag
  • View More Images(5)
    $ 280
    Recombinant Rabbit Monoclonal
    Anti-SQSTM1/p62 Rabbit mAb
    Catalog #
    PTM-5483
    Host
    Rabbit
    Clonality
    Recombinant Monoclonal
    Conjugate
    Unconjugated
    Reactivity
    Human, Mouse, Rat
    Applications:
    WB IHC-P ICC/IF FC IAP IP ChIP mIHC-P CUT&Tag
  • View More Images(1)
    $ 2,110
    Recombinant Rabbit Monoclonal
    Anti-Diglycyllysine Antibody Conjugated Agarose Beads
    Catalog #
    PTM-1104
    Host
    /
    Clonality
    /
    Conjugate
    Agarose
    Reactivity
    All
    Applications:
    WB IHC-P ICC/IF FC IAP IP ChIP mIHC-P CUT&Tag
  • View More Images(2)
    $ 290
    Recombinant Rabbit Monoclonal
    Anti-Ubiquitin Rabbit pAb (C-terminal)
    Catalog #
    PTM-1105
    Host
    Rabbit
    Clonality
    Polyclonal
    Conjugate
    Unconjugated
    Reactivity
    Human, Mouse, Rat, Monkey
    Applications:
    WB IHC-P ICC/IF FC IAP IP ChIP mIHC-P CUT&Tag
References (19)
  • Ring finger protein 213 regulates B-cell receptor signaling, metabolism, and development in B lymphocytes
    Year 2026
    Journal Signal Transduct Target Ther
    Authors Zhang Ziyin, et al.
    Applications Unspecified
    Reactivity
  • Extracellular vesicle-packaged GBP2 from macrophages aggravates sepsis-induced acute lung injury by promoting ferroptosis in pulmonary vascular endothelial cells
    Year 2025
    Journal Redox Biol
    Authors Zhixi Li, et al.
    Applications Unspecified
    Reactivity
  • HDT2-mediated lysine deacetylation promotes phytochrome A degradation during photomorphogenesis in Arabidopsis
    Year 2025
    Journal Mol Plant
    Authors Feng Zheng, et al.
    Applications Unspecified
    Reactivity
  • Role of HNF4A-AS1/HNRNPC-mediated HNF4A Ubiquitination Protection against Ritonavir-induced Hepatotoxicity
    Year 2025
    Journal Mol Pharmacol
    Authors Xiaofei Wang, et al.
    Applications Unspecified
    Reactivity
  • THBS1 in macrophage-derived exosomes exacerbates cerebral ischemia–reperfusion injury by inducing ferroptosis in endothelial cells
    Year 2025
    Journal J Neuroinflammation
    Authors Liu Chang, et al.
    Applications Unspecified
    Reactivity
  • The PtrRZFP4-PtrJAZ2 module regulates the jasmonic acid signaling pathway involved in the interaction between poplar and herbivorous insects
    Year 2025
    Journal Plant J
    Authors Fang He, et al.
    Applications Unspecified
    Reactivity
  • Comprehensive Proteome and Acetylome Analysis of Needle Senescence in Larix gmelinii
    Year 2024
    Journal Int J Mol Sci
    Authors Xuting Zhang, et al.
    Applications Unspecified
    Reactivity
  • The ubiquitin E3 ligase RZFP1 affects drought tolerance in poplar by mediating the degradation of the protein phosphatase PP2C-9
    Year 2024
    Journal Plant Physiol
    Authors He Fang, et al.
    Applications Unspecified
    Reactivity
  • A natural allele of proteasome maturation factor improves rice resistance to multiple pathogens
    Year 2023
    Journal Nat Plants
    Authors Hu Xiao-Hong, et al.
    Applications Unspecified
    Reactivity
  • Cell detoxification of secondary metabolites by P4-ATPase-mediated vesicle transport
    Year 2023
    Journal eLife
    Authors Yujie Li, et al.
    Applications Unspecified
    Reactivity
  • Core-predominant gut fungus Kazachstania slooffiae promotes intestinal epithelial glycolysis via lysine desuccinylation in pigs
    Year 2023
    Journal Microbiome
    Authors Hu Jun, et al.
    Applications Unspecified
    Reactivity
  • Hydrophobic cue-induced appressorium formation depends on MoSep1-mediated MoRgs7 phosphorylation and internalization in Magnaporthe oryzae
    Year 2023
    Journal PLoS Genet
    Authors Jiayun Xu, et al.
    Applications Unspecified
    Reactivity
  • NbMLP43 Ubiquitination and Proteasomal Degradation via the Light Responsive Factor NbBBX24 to Promote Viral Infection
    Year 2023
    Journal Cells
    Authors Liyun Song, et al.
    Applications Unspecified
    Reactivity
  • CYLD deubiquitinates plakoglobin to promote Cx43 membrane targeting and gap junction assembly in the heart
    Year 2022
    Journal Cell Rep
    Authors Wei Xie, et al.
    Applications Unspecified
    Reactivity
  • Identification of a BRAF/PA28γ/MEK1 signaling axis and its role in epithelial-mesenchymal transition in oral submucous fibrosis
    Year 2022
    Journal Cell Death Dis
    Authors Xie Changqing, et al.
    Applications Unspecified
    Reactivity
  • Identification of epigenetic histone modifications and analysis of histone lysine methyltransferases in Alexandrium pacificum
    Year 2022
    Journal Harmful Algae
    Authors Zhimei Zhu, et al.
    Applications Unspecified
    Reactivity
  • Torin 1 alleviates impairment of TFEB-mediated lysosomal biogenesis and autophagy in TGFBI (p.G623_H626del)-linked Thiel-Behnke corneal dystrophy
    Year 2021
    Journal Autophagy
    Authors Liyuan Wang, et al.
    Applications Unspecified
    Reactivity
  • UBE2O promotes hepatocellular carcinoma cell proliferation and invasion by regulating the AMPKα2/mTOR pathway
    Year 2021
    Journal Int J Med Sci
    Authors Zhan Shi, et al.
    Applications Unspecified
    Reactivity
  • Berberine Promotes Cardiac Function by Upregulating PINK1/Parkin-Mediated Mitophagy in Heart Failure
    Year 2020
    Journal Front Physiol
    Authors Abudureyimu Miyesaier, et al.
    Applications Unspecified
    Reactivity