/ EN
Technical Support
| Contact Us
+1 312-802-6843
Technical Support
Contact Us
+1 312-802-6843
/ EN
Recover password
Professional Email
Verification Code
Send Code
Password
Recombinant Rabbit Monoclonal
Anti-Ubiquitin Rabbit mAb (N-terminal)
Catalog Number: PTM-1106RM
References (21)
$ 280

Clone Number: 14H4L1

Host: Rabbit Clonality: Recombinant Monoclonal

Applications: WB ICC/IF

Reactivity: Human, Mouse, Rat

Synonyms: /

Product Size
100 μl
Quantity

Shipping: Ambient temperature

Order online or send purchase order to info@ptmbio.com

FAQ Technical Support Protocols

General Information
Isotype IgG
Conjugate Unconjugated
Synonyms /
UniProt ID

P62979

Immunogen Synthetic peptide corresponding to the N-terminus of human ubiquitin
MW (kDa) Multiple
Specificity Anti-Ubiquitin Rabbit mAb (N-terminal) detects endogenous ubiquitin, polyubiquitin, and ubiquitinated proteins.
Product Usage Information
Applications Dilution Recommended Species
WB 1:500 - 1:2000 Human, Mouse, Rat
ICC/IF 1:50 - 1:200 Human, Mouse
Properties
Purity Protein A purified
Constituents PBS, Glycerol, BSA
Storage Store at -20°C. Avoid freeze/thaw cycles.
Stability Stable for 12 months from date of receipt/reconstitution.
Target Information

Background

Ubiquitin (Ub) is a highly conserved 76-amino acid protein that plays a critical role in regulating cellular processes. By covalently attaching to target proteins through a three-step process involving Ub-activating (E1), Ub-conjugating (E2), and Ub-ligating (E3) enzymes, ubiquitination marks the target proteins for proteasomal degradation, modulates membrane protein trafficking, alters protein-protein interactions, and controls the activity of many signal transduction pathways. Ubiquitination occurs through the formation of an isopeptide bond between its C-terminal Gly76 and a lysine residue in the target protein. This process can occur either as a monomer (monoubiquitin) or as a polymer (polyubiquitin chains), where the C-terminus of a chain extending ubiquitin becomes linked to the N-terminus (M1) or one of seven Lys residues (Lys6, Lys11, Lys27, Lys29, Lys33, Lys48, and Lys63) within a substrate-bound ubiquitin molecule, resulting in polyubiquitin chains with different functions. Lys6-linked may be involved in DNA repair; Lys11-linked is involved in ERAD (endoplasmic reticulum-associated degradation) and in cell-cycle regulation; Lys29-linked is involved in lysosomal degradation; Lys33-linked is involved in kinase modification; Lys48-linked is involved in protein degradation via the proteasome; Lys63-linked is involved in endocytosis, and DNA-damage responses.

Cellular location

Nucleus, Cytoplasm

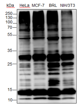
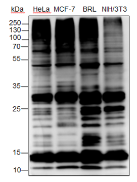
Images
WB

Lysate: HeLa, MCF-7, BRL, NIH/3T3
Protein loading amount: 20 μg
Blocking buffer: 5% NFDM/TBST
Primary Ab dilution: 1:2000
Primary Ab incubation: 2 hours at room temperature
Secondary Ab: Goat Anti-Rabbit IgG H&L pAb (HRP Conjugate)
Exposure time: 30 seconds
Predicted band size: Multiple
Observed band size: Multiple

ICC/IF

Cell line: HeLa
Fixative: 100% Ice-cold methanol
Permeabilization: 0.1% Triton X-100
Primary Ab dilution: 1:200
Primary Ab incubation: 4°C overnight
Secondary Ab: Goat Anti-Rabbit IgG
Nuclear counter stain: DAPI (blue)
Description: The green color represents the positive signal observed with PTM-1106RM.

Cell line: NIH/3T3
Fixative: 100% Ice-cold methanol
Permeabilization: 0.1% Triton X-100
Primary Ab dilution: 1:200
Primary Ab incubation: 4°C overnight
Secondary Ab: Goat Anti-Rabbit IgG
Nuclear counter stain: DAPI (blue)
Description: The green color represents the positive signal observed with PTM-1106RM.

Research Use

For research use only, not for use in diagnostic procedures.

Recommended Products
  • View More Images(2)
    $ 270
    Recombinant
    Anti-Ubiquitin Mouse mAb (N-terminal)
    Catalog #
    PTM-5798
    Host
    Mouse
    Clonality
    Recombinant Monoclonal
    Conjugate
    Unconjugated
    Reactivity
    Human, Mouse, Rat
    Applications:
    WB IHC-P ICC/IF FC IAP IP ChIP mIHC-P CUT&Tag
  • View More Images(3)
    $ 300
    Anti-Ubiquitin Rabbit pAb (N-terminal)
    Catalog #
    PTM-1106
    Host
    Rabbit
    Clonality
    Polyclonal
    Conjugate
    Unconjugated
    Reactivity
    Human, Mouse, Rat, Monkey
    Applications:
    WB IHC-P ICC/IF FC IAP IP ChIP mIHC-P CUT&Tag
  • View More Images(2)
    $ 290
    Anti-Ubiquitin Mouse mAb (N-terminal)
    Catalog #
    PTM-1107
    Host
    Mouse
    Clonality
    Monoclonal
    Conjugate
    Unconjugated
    Reactivity
    Human, Mouse, Rat
    Applications:
    WB IHC-P ICC/IF FC IAP IP ChIP mIHC-P CUT&Tag
  • View More Images(7)
    $ 280
    Recombinant Rabbit Monoclonal
    Anti-Ubiquitin Rabbit mAb (N-terminal)
    Catalog #
    PTM-7311
    Host
    Rabbit
    Clonality
    Recombinant Monoclonal
    Conjugate
    Unconjugated
    Reactivity
    Human, Mouse, Rat
    Applications:
    WB IHC-P ICC/IF FC IAP IP ChIP mIHC-P CUT&Tag
  • View More Images(1)
    $ 465
    Recombinant Rabbit Monoclonal
    Anti-Ubiquitin Rabbit mAb (N-terminal, BSA and Azide Free)
    Catalog #
    PTM-1124RM
    Host
    Rabbit
    Clonality
    Recombinant Monoclonal
    Conjugate
    Unconjugated
    Reactivity
    All
    Applications:
    WB IHC-P ICC/IF FC IAP IP ChIP mIHC-P CUT&Tag
  • View More Images(4)
    $ 135
    Goat Anti-Rabbit IgG H&L pAb (HRP Conjugate)
    Catalog #
    PTM-6261
    Host
    Goat
    Clonality
    Polyclonal
    Conjugate
    HRP
    Reactivity
    Rabbit
    Applications:
    WB IHC-P ICC/IF FC IAP IP ChIP mIHC-P CUT&Tag
  • View More Images(5)
    $ 125
    Recombinant Rabbit Monoclonal
    Rabbit mAb IgG Isotype Control
    Catalog #
    PTM-5073
    Host
    Rabbit
    Clonality
    Recombinant Monoclonal
    Conjugate
    Unconjugated
    Reactivity
    Human, Mouse, Rat
    Applications:
    WB IHC-P ICC/IF FC IAP IP ChIP mIHC-P CUT&Tag
  • View More Images(5)
    $ 125
    Recombinant Rabbit Monoclonal
    Rabbit mAb IgG Isotype Control
    Catalog #
    PTM-6628
    Host
    Rabbit
    Clonality
    Recombinant Monoclonal
    Conjugate
    Unconjugated
    Reactivity
    Human, Mouse
    Applications:
    WB IHC-P ICC/IF FC IAP IP ChIP mIHC-P CUT&Tag
  • View More Images(6)
    $ 290
    Recombinant Rabbit Monoclonal
    Anti-RING1B Rabbit mAb
    Catalog #
    PTM-6605
    Host
    Rabbit
    Clonality
    Recombinant Monoclonal
    Conjugate
    Unconjugated
    Reactivity
    Human, Mouse, Rat
    Applications:
    WB IHC-P ICC/IF FC IAP IP ChIP mIHC-P CUT&Tag
  • View More Images(1)
    $ 285
    Recombinant
    Anti-BMI1 Mouse mAb
    Catalog #
    PTM-5709
    Host
    Mouse
    Clonality
    Recombinant Monoclonal
    Conjugate
    Unconjugated
    Reactivity
    Human, Mouse
    Applications:
    WB IHC-P ICC/IF FC IAP IP ChIP mIHC-P CUT&Tag
  • View More Images(5)
    $ 280
    Recombinant Rabbit Monoclonal
    Anti-SQSTM1/p62 Rabbit mAb
    Catalog #
    PTM-5483
    Host
    Rabbit
    Clonality
    Recombinant Monoclonal
    Conjugate
    Unconjugated
    Reactivity
    Human, Mouse, Rat
    Applications:
    WB IHC-P ICC/IF FC IAP IP ChIP mIHC-P CUT&Tag
  • View More Images(1)
    $ 2,110
    Recombinant Rabbit Monoclonal
    Anti-Diglycyllysine Antibody Conjugated Agarose Beads
    Catalog #
    PTM-1104
    Host
    /
    Clonality
    /
    Conjugate
    Agarose
    Reactivity
    All
    Applications:
    WB IHC-P ICC/IF FC IAP IP ChIP mIHC-P CUT&Tag
  • View More Images(2)
    $ 290
    Anti-Ubiquitin Rabbit pAb (C-terminal)
    Catalog #
    PTM-1105
    Host
    Rabbit
    Clonality
    Polyclonal
    Conjugate
    Unconjugated
    Reactivity
    Human, Mouse, Rat, Monkey
    Applications:
    WB IHC-P ICC/IF FC IAP IP ChIP mIHC-P CUT&Tag
References (21)
  • Comparative ubiquitinome analysis reveals the roles of protein ubiquitination in the heat stress response from Metarhizium robertsii
    Year 2025
    Journal APPLIED AND ENVIRONMENTAL MICROBIOLOGY
    Authors Jueping Song, et al.
    Applications Unspecified
    Reactivity
  • Ubiquitin-mediated degradation restricts spatiotemporal accumulation of the cytoplasmic male sterility protein WA352 to anthers in rice
    Year 2025
    Journal PROCEEDINGS OF THE NATIONAL ACADEMY OF SCIENCES OF THE UNITED STATES OF AMERICA
    Authors Zixu Zhang, et al.
    Applications Unspecified
    Reactivity
  • Sorafenib promotes the E3 ubiquitin ligase FBXW7 to increase tau degradation and ameliorate tauopathies
    Year 2025
    Journal Acta Pharmaceutica Sinica B
    Authors Yunqiang Zhou, et al.
    Applications Unspecified
    Reactivity
  • O-GlcNAcylated Hsp47 as a predictive biomarker in colorectal cancer: Kaempferol targets OGT-collagen axis for therapeutic intervention
    Year 2025
    Journal International Journal of Biological Sciences
    Authors Chishun Zhou, et al.
    Applications Unspecified
    Reactivity
  • Deubiquitylases MoUbp12 and MoUbp14 modulated by transcription factor MoMsn2 are critical for mitochondrial fusion/fission balance and infectious growth of the rice blast fungus
    Year 2025
    Journal Phytopathology Research
    Authors Wang Xingyu, et al.
    Applications Unspecified
    Reactivity
  • Risk stratification and prognosis determination based on protein lysine crotonylation in patients with resected pancreatic cancer: A multicenter study
    Year 2025
    Journal CLINICAL CANCER RESEARCH
    Authors Cao Lianjing, et al.
    Applications Unspecified
    Reactivity
  • The ETHYLENE RESPONSE FACTOR6-GRETCHEN HAGEN3.5 module regulates rooting and heat tolerance in Dimocarpus longan
    Year 2025
    Journal PLANT PHYSIOLOGY
    Authors Zhang Xueying, et al.
    Applications Unspecified
    Reactivity
  • SDCCAG3 inhibits adipocyte hypertrophy and improves obesity-related metabolic disorders via SDCCAG3/SMURF1/PPARγ axis
    Year 2025
    Journal JOURNAL OF LIPID RESEARCH
    Authors Fenglei Huo, et al.
    Applications Unspecified
    Reactivity
  • Streptococcus mutans regulates ubiquitin modification of Candida albicans in the bacterial-fungal interaction
    Year 2025
    Journal PLoS Pathogens
    Authors Yixin Zhang, et al.
    Applications Unspecified
    Reactivity
  • Arabidopsis CIRP1 E3 ligase modulates drought and oxidative stress tolerance and reactive oxygen species homeostasis by directly degrading catalases
    Year 2025
    Journal Journal of Integrative Plant Biology
    Authors Heng Yang, et al.
    Applications Unspecified
    Reactivity
  • Tenovin-6 exhibits inhibitory effects on the growth of Sonic Hedgehog (SHH) medulloblastoma, as evidenced by both in vitro and in vivo studies
    Year 2024
    Journal INTERNATIONAL IMMUNOPHARMACOLOGY
    Authors Bohong Wang, et al.
    Applications Unspecified
    Reactivity
  • O-GlcNAcylation of YTHDF2 antagonizes ERK-dependent phosphorylation and inhibits lung carcinoma
    Year 2024
    Journal Fundamental Research
    Authors Jie Li, et al.
    Applications Unspecified
    Reactivity
  • Deubiquitylase OTUD3 regulates integrated stress response to suppress progression and sorafenib resistance of liver cancer
    Year 2024
    Journal Cell Reports
    Authors Hongmiao Dai, et al.
    Applications Unspecified
    Reactivity
  • Hypoxia exposure induces lactylation of Axin1 protein to promote glycolysis of esophageal carcinoma cells
    Year 2024
    Journal BIOCHEMICAL PHARMACOLOGY
    Authors Qian Li, et al.
    Applications Unspecified
    Reactivity
  • Mechanistic role of RND3-regulated IL33/ST2 signaling on cardiomyocyte senescence
    Year 2024
    Journal LIFE SCIENCES
    Authors Linxu Wu, et al.
    Applications Unspecified
    Reactivity
  • The role of MrUbp4, a deubiquitinase, in conidial yield, thermotolerance, and virulence in Metarhizium robertsii
    Year 2024
    Journal JOURNAL OF INVERTEBRATE PATHOLOGY
    Authors Hongzhi Zhang, et al.
    Applications Unspecified
    Reactivity
  • HPV E6 promotes cell proliferation of cervical cancer cell by accelerating accumulation of RBM15 dependently of autophagy inhibition
    Year 2023
    Journal CELL BIOLOGY INTERNATIONAL
    Authors Gang Nie, et al.
    Applications Unspecified
    Reactivity
  • Global proteomic analysis reveals lysine succinylation contributes to the pathogenesis of aortic aneurysm and dissection
    Year 2023
    Journal Journal of Proteomics
    Authors Hongwei Zhang, et al.
    Applications Unspecified
    Reactivity
  • Ubiquitylome analysis reveals the involvement of ubiquitination in the cold responses of banana seedling leaves
    Year 2023
    Journal Journal of Proteomics
    Authors Wei Lin, et al.
    Applications Unspecified
    Reactivity
  • Tandem mass tag-based quantitative proteomic analysis identification of succinylation related proteins in pathogenesis of thoracic aortic aneurysm and aortic dissection
    Year 2023
    Journal PeerJ
    Authors Yu Zhang, et al.
    Applications Unspecified
    Reactivity
  • O-GlcNAc has crosstalk with ADP-ribosylation via PARG
    Year 2023
    Journal JOURNAL OF BIOLOGICAL CHEMISTRY
    Authors Jie Li, et al.
    Applications Unspecified
    Reactivity