/ EN
Technical Support
| Contact Us
+1 312-802-6843
Technical Support
Contact Us
+1 312-802-6843
/ EN
Recover password
Professional Email
Verification Code
Send Code
Password
Recombinant Rabbit Monoclonal
Anti-Ubiquityl-Histone H2A (Lys119) Rabbit mAb
Catalog Number: PTM-1121
References (4)
$ 320

Clone Number: JRMR-353

Host: Rabbit Clonality: Recombinant Monoclonal

Applications: WB IHC-P ICC/IF IP ChIP

Reactivity: Human, Mouse, Rat

Synonyms: H2AK119ub

Product Size
100 μl
Quantity

Shipping: Ambient temperature

Order online or send purchase order to info@ptmbio.com

FAQ Technical Support Protocols

General Information
Isotype IgG
Conjugate Unconjugated
Synonyms H2AK119ub
UniProt ID

P04908

Immunogen Ubiquitinated human histone H2A (Lys119) peptide
MW (kDa) 23
Specificity Anti-Ubiquityl-Histone H2A (Lys119) Rabbit mAb detects histone H2A only when it is ubiquitinated at Lys119.
Product Usage Information
Applications Dilution Recommended Species
WB 1:500 - 1:2000 Human, Mouse, Rat
IHC-P 1:50 - 1:100 Human, Mouse
ICC/IF 1:100 Human
ChIP 6 ug per 5X106 cells Human
IP 1:50 - 1:100 Human
Properties
Purity Protein A purified
Constituents PBS, Glycerol, BSA
Storage Store at -20°C. Avoid freeze/thaw cycles.
Stability Stable for 12 months from date of receipt/reconstitution.
Target Information

Background

Nucleosomes wrap and compact DNA into chromatin, limiting DNA accessibility to the cellular machineries which require DNA as a template. Histones thereby play a central role in transcription regulation, DNA repair, DNA replication and chromosomal stability. Ubiquitination, a post-translational modification in which the ubiquitin is covalently attached to a substrate protein, occurs on histones H2A and H2B. Histone H2A is mono-ubiquitinated at Lys119 by the Polycomb Repressor Complex 1 (PRC1) and is critical for gene silencing, X chromosome inactivation, and cellular response to DNA damage. Histone H2A is also monoubiquitinated at Lys119 at sites of DNA damage.

Cellular location

Nucleus

Images
WB

Lysate: HeLa, N2a, BRL, mouse liver, mouse kidney
Protein loading amount: 20 μg
Blocking buffer: 5% NFDM/TBST
Primary Ab dilution: 1:2000
Primary Ab incubation: 2 hours at room temperature
Secondary Ab: Goat Anti-Rabbit IgG H&L pAb (HRP Conjugate)
Exposure time: 8 seconds
Predicted band size: 23 kDa
Observed band size: 23 kDa

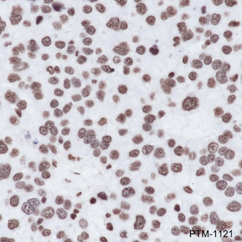
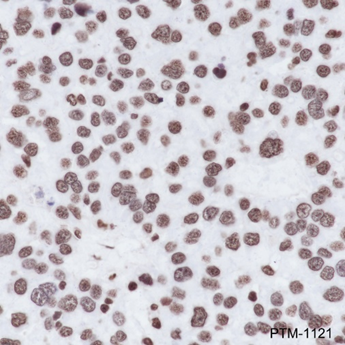
IHC-P

Tissue: Human hepatocellular carcinoma
Section type: Formalin fixed & paraffin-embedded section
Retrieval method: High temperature and high pressure
Retrieval buffer: Tris/EDTA buffer, pH 9.0
Primary Ab dilution: 1:100
Primary Ab incubation: 1 hour at room temperature
Secondary Ab: Anti-Rabbit and Mouse Polymer HRP (Ready to Use)
Counter stain: Hematoxylin (blue)
Description: The brown color represents the positive signal observed with PTM-1121.

Tissue: Mouse kidney
Section type: Formalin fixed & paraffin-embedded section
Retrieval method: High temperature and high pressure
Retrieval buffer: Tris/EDTA buffer, pH 9.0
Primary Ab dilution: 1:100
Primary Ab incubation: 1 hour at room temperature
Secondary Ab: Anti-Rabbit and Mouse Polymer HRP (Ready to Use)
Counter stain: Hematoxylin (blue)
Description: The brown color represents the positive signal observed with PTM-1121.

ICC/IF

Cell line: HeLa
Fixative: 4% Paraformaldehyde
Permeabilization: 0.1% Triton X-100
Primary Ab dilution: 1:100
Primary Ab incubation: 4°C overnight
Secondary Ab: Goat Anti-Rabbit IgG
Nuclear counter stain: DAPI (blue)
Counter stain: Tubulin (red)
Description: The green color represents the positive signal observed with PTM-1121.

ChIP

Cell type: HeLa
Cross-linking conditions: no cross-linking
Amount of chromatin per IP: 5×106 cells
Amount of Ab per IP: 6 ug
Beads type and amount per IP: 50 μL of Protein A MagBeads
Comment: The ChIP was performed with 6 μg of normal Rabbit IgG as a negative control. Real time quantitative PCR was performed on immunoprecipitated DNA using primers specific for the human GAPDH CDS region, LDHA, FOXO3a promoter, and TUBBP10. Data are presented as enrichment of each sample relative to the total amount of input chromatin at each amplicon.

IP

IP of HeLa cells extracts
IP Ab incubation: PTM- 1121, 1:100 dilution, 4°C overnight
WB Primary Ab incubation: PTM1121, room temperature 2h, 1: 1000 dilution
Secondary Ab: Anti-Rabbit IgG for IP (HRP)
Blocking buffer: 5% NFDM/TBST
Dilution buffer: 5% NFDM/TBST
1: 5% Input
2: IP with PTM-1121
3: IP with Rabbit monoclonal IgG Isotype
Observed MW: 23 kDa
Exposure time: 60 s

Research Use

For research use only, not for use in diagnostic procedures.

Recommended Products
  • View More Images(2)
    $ 340
    Anti-Ubiquityl-Histone H2A (Lys119) Rabbit pAb
    Catalog #
    PTM-1119
    Host
    Rabbit
    Clonality
    Polyclonal
    Conjugate
    Unconjugated
    Reactivity
    Human, Mouse, Rat
    Applications:
    WB IHC-P ICC/IF FC IAP IP ChIP mIHC-P CUT&Tag
  • View More Images(4)
    $ 320
    Recombinant Rabbit Monoclonal
    Anti-Ubiquityl-Histone H2A (Lys119) Rabbit mAb
    Catalog #
    PTM-7449
    Host
    Rabbit
    Clonality
    Recombinant Monoclonal
    Conjugate
    Unconjugated
    Reactivity
    Human, Mouse
    Applications:
    WB IHC-P ICC/IF FC IAP IP ChIP mIHC-P CUT&Tag
  • View More Images(4)
    $ 135
    Goat Anti-Rabbit IgG H&L pAb (HRP Conjugate)
    Catalog #
    PTM-6261
    Host
    Goat
    Clonality
    Polyclonal
    Conjugate
    HRP
    Reactivity
    Rabbit
    Applications:
    WB IHC-P ICC/IF FC IAP IP ChIP mIHC-P CUT&Tag
  • View More Images(5)
    $ 125
    Recombinant Rabbit Monoclonal
    Rabbit mAb IgG Isotype Control
    Catalog #
    PTM-5073
    Host
    Rabbit
    Clonality
    Recombinant Monoclonal
    Conjugate
    Unconjugated
    Reactivity
    Human, Mouse, Rat
    Applications:
    WB IHC-P ICC/IF FC IAP IP ChIP mIHC-P CUT&Tag
  • View More Images(5)
    $ 125
    Recombinant Rabbit Monoclonal
    Rabbit mAb IgG Isotype Control
    Catalog #
    PTM-6628
    Host
    Rabbit
    Clonality
    Recombinant Monoclonal
    Conjugate
    Unconjugated
    Reactivity
    Human, Mouse
    Applications:
    WB IHC-P ICC/IF FC IAP IP ChIP mIHC-P CUT&Tag
  • View More Images(6)
    $ 290
    Recombinant Rabbit Monoclonal
    Anti-RING1B Rabbit mAb
    Catalog #
    PTM-6605
    Host
    Rabbit
    Clonality
    Recombinant Monoclonal
    Conjugate
    Unconjugated
    Reactivity
    Human, Mouse, Rat
    Applications:
    WB IHC-P ICC/IF FC IAP IP ChIP mIHC-P CUT&Tag
  • View More Images(1)
    $ 285
    Recombinant
    Anti-BMI1 Mouse mAb
    Catalog #
    PTM-5709
    Host
    Mouse
    Clonality
    Recombinant Monoclonal
    Conjugate
    Unconjugated
    Reactivity
    Human, Mouse
    Applications:
    WB IHC-P ICC/IF FC IAP IP ChIP mIHC-P CUT&Tag
  • View More Images(5)
    $ 390
    Recombinant Rabbit Monoclonal
    Anti-Ubiquityl-Histone H2B (Lys120) Rabbit mAb
    Catalog #
    PTM-1123RM
    Host
    Rabbit
    Clonality
    Recombinant Monoclonal
    Conjugate
    Unconjugated
    Reactivity
    Human, Mouse, Rat
    Applications:
    WB IHC-P ICC/IF FC IAP IP ChIP mIHC-P CUT&Tag
  • View More Images(2)
    $ 280
    Recombinant Rabbit Monoclonal
    Anti-Ubiquitin Rabbit mAb (N-terminal)
    Catalog #
    PTM-1106RM
    Host
    Rabbit
    Clonality
    Recombinant Monoclonal
    Conjugate
    Unconjugated
    Reactivity
    Human, Mouse, Rat
    Applications:
    WB IHC-P ICC/IF FC IAP IP ChIP mIHC-P CUT&Tag
  • View More Images(1)
    $ 2,110
    Anti-Diglycyllysine Antibody Conjugated Agarose Beads
    Catalog #
    PTM-1104
    Host
    /
    Clonality
    /
    Conjugate
    Agarose
    Reactivity
    All
    Applications:
    WB IHC-P ICC/IF FC IAP IP ChIP mIHC-P CUT&Tag
References (4)
  • USP22 promotes the proliferation and Sorafenib resistance of hepatocellular carcinoma cells via its deubiquitinase activity
    Year 2025
    Journal Clinical and Translational Medicine
    Authors Xiaochen Wang, et al.
    Applications Unspecified
    Reactivity
  • CBX4 plays a bidirectional role in transcriptional regulation and lung adenocarcinoma progression
    Year 2024
    Journal Cell Death & Disease
    Authors Zhao Ran, et al.
    Applications Unspecified
    Reactivity
  • CBX8 together with SET facilitates ovarian carcinoma growth and metastasis by suppressing the transcription of SUSD2
    Year 2022
    Journal MOLECULAR CANCER RESEARCH
    Authors Wu Yanjie, et al.
    Applications Unspecified
    Reactivity
  • CBX8 Together with SET Facilitates Ovarian Carcinoma Growth and Metastasis by Suppressing the Transcription of SUSD2
    Year 2022
    Journal MOLECULAR CANCER RESEARCH
    Authors Wu Yanjie, et al.
    Applications Unspecified
    Reactivity