/ EN
Technical Support
| Contact Us
+1 312-802-6843
Technical Support
Contact Us
+1 312-802-6843
/ EN
Recover password
Professional Email
Verification Code
Send Code
Password
Recombinant Rabbit Monoclonal
Anti-Vimentin Rabbit mAb
Catalog Number: PTM-5376
$ 280

Clone Number: JRMR-10214-73

Host: Rabbit Clonality: Recombinant Monoclonal

Applications: WB IHC-P ICC/IF FC IP mIHC-P

Reactivity: Human, Mouse, Rat

Synonyms: VIM

Product Size
100 μl
Quantity

Shipping: Ambient temperature

Order online or send purchase order to info@ptmbio.com

FAQ Technical Support Protocols

General Information
Isotype IgG
Conjugate Unconjugated
Synonyms VIM
UniProt ID

P08670

Immunogen Synthetic peptide derived from human vimentin
MW (kDa) 54
Specificity Anti-Vimentin Rabbit mAb recognizes endogeneous level of Vimentin protein.
Product Usage Information
Applications Dilution Recommended Species
WB 1:500 - 1:2000 Human, Mouse, Rat
IHC-P 1:100 - 1:500 Human, Mouse, Rat
ICC/IF 1:50 Human, Mouse
FC 1:50 - 1:100 Human
IP 1:25 - 1:100 Human
mIHC-P 1:500 - 1:1000 Human
Properties
Purity Protein A purified
Constituents PBS, Glycerol, BSA
Storage Store at -20°C. Avoid freeze/thaw cycles.
Stability Stable for 12 months from date of receipt/reconstitution.
Target Information

Background

Vimentins are class-III intermediate filaments found in various non-epithelial cells, especially mesenchymal cells. Vimentin is attached to the nucleus, endoplasmic reticulum, and mitochondria, either laterally or terminally. Involved with LARP6 in the stabilization of type I collagen mRNAs for CO1A1 and CO1A2.

Cellular location

Cytoskeleton, Cytoplasm

Images
WB

Blocking buffer: 5% NFDM/TBST
Primary Ab dilution: 1:2000
Primary Ab incubation: 2 hours at room temperature
Secondary Ab: Goat Anti-Rabbit IgG H&L pAb (HRP Conjugate)
Lysate: HeLa, HEK-293, Jurkat, Rat brain, Mouse brain
Protein loading quantity: 20 μg
Exposure time: 3 s
Predicted band size: 54 kDa
Observed band size: 54 kDa

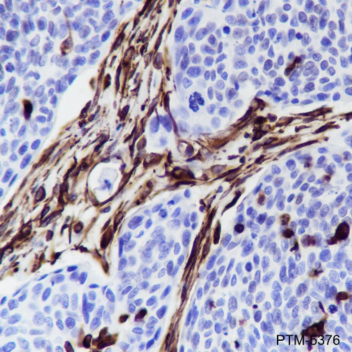
IHC-P

Tissue: Human cervical carcinoma
Section type: Formalin fixed & Paraffin -embedded section
Retrieval method: High temperature and high pressure
Retrieval buffer: Tris/EDTA buffer, pH 9.0
Primary Ab dilution: 1:500
Primary Ab incubation: 1 hour at room temperature
Secondary Ab: Anti-Rabbit and Mouse Polymer HRP (Ready to Use)
Counter stain: Hematoxylin (Blue)
Description: The brown color represents the positive signal observed with PTM-5376

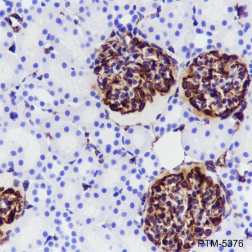
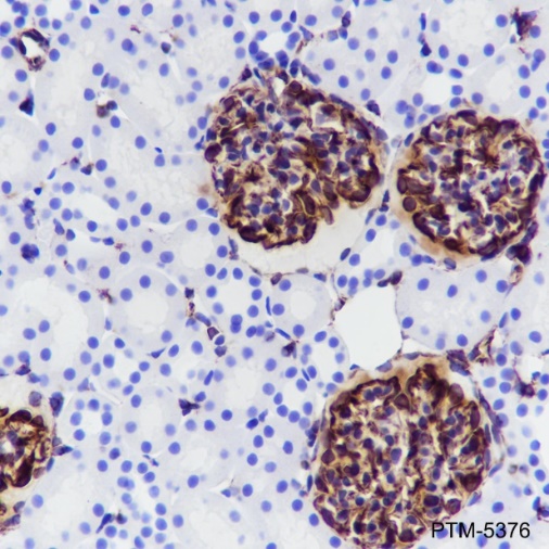
Tissue: Mouse kidney
Section type: Formalin fixed & Paraffin -embedded section
Retrieval method: High temperature and high pressure
Retrieval buffer: Tris/EDTA buffer, pH 9.0
Primary Ab dilution: 1:500
Primary Ab incubation: 1 hour at room temperature
Secondary Ab: Anti-Rabbit and Mouse Polymer HRP (Ready to Use)
Counter stain: Hematoxylin (Blue)
Description: The brown color represents the positive signal observed with PTM-5376

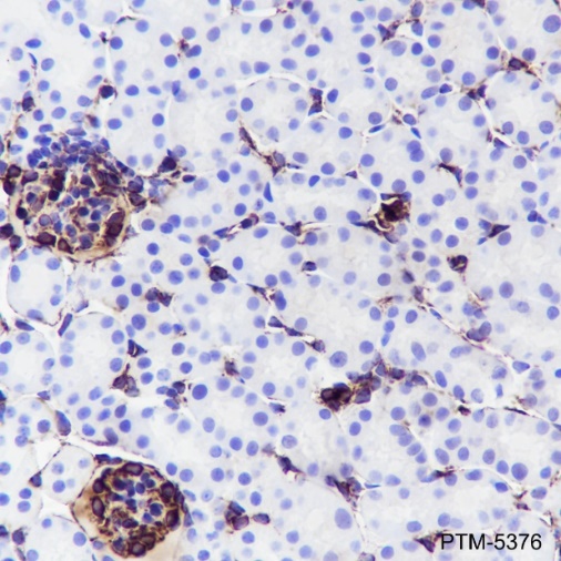
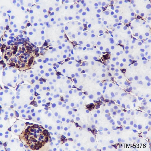
Tissue: Rat kidney
Section type: Formalin fixed & Paraffin -embedded section
Retrieval method: High temperature and high pressure
Retrieval buffer: Tris/EDTA buffer, pH 9.0
Primary Ab dilution: 1:500
Primary Ab incubation: 1 hour at room temperature
Secondary Ab: Anti-Rabbit and Mouse Polymer HRP (Ready to Use)
Counter stain: Hematoxylin (Blue)
Description: The brown color represents the positive signal observed with PTM-5376

ICC/IF

Cell line: HeLa
Fixative: 4% Paraformaldehyde
Permeabilization: 0.1% TritonX-100
Primary Ab dilution: 1:50
Primary incubation condition: 4°C overnight
Secondary Ab: Goat Anti-Rabbit IgG
Nuclear counter stain: DAPI (Blue)
Description: The green color represents the positive signal observed with PTM-5376

Cell line: NIH/3T3
Fixative: 100% Ice-cold methanol
Permeabilization: 0.1% TritonX-100
Primary Ab dilution: 1:50
Primary incubation condition: 4°C overnight
Secondary Ab: Goat Anti-Rabbit IgG
Nuclear counter stain: DAPI (Blue)
Description: The green color represents the positive signal observed with PTM-5376

FC

Cell line: HeLa
Fixative: 4% Paraformaldehyde
Permeabilization: 0.1% TritonX-100
Primary Ab dilution: 1:100
Secondary Ab: Goat anti Rabbit IgG
Unlabeled control: Cells without incubation with primary and secondary antibodies (Black line).
Isotype control: Rabbit monoclonal IgG (Blue line).
Description: Line red is the positive signal for PTM-5376

IP

IP of HeLa cells extracts
IP Ab incubation: PTM-5376, 1:100 dilution, 4°C overnight
WB Primary Ab incubation: PTM5376, room temperature 2h, 1:2000 dilution
Secondary Ab: Anti-Rabbit IgG for IP (HRP)
Blocking buffer: 5% NFDM/TBST
Dilution buffer: 5% NFDM/TBST
1: 5% Input
2: IP with Rabbit monoclonal IgG Isotype
3: IP with PTM-5376
Observed MW: 54 kDa
Exposure time: 30 s

mIHC-P

Tissue: Human colon
Section type: Formalin fixed & Paraffin - embedded section
Retrieval method: High temperature and high pressure
Retrieval buffer: Tris/EDTA buffer, pH 9.0. Heat mediated antigen retrieval (Tris/EDTA buffer, pH 9.0, 20 minutes) was used in between rounds of tyramide signal amplification to remove the antibody from the previous round, to avoid any cross-reactivity.

Tissue: Human stomach
Section type: Formalin fixed & Paraffin - embedded section
Retrieval method: High temperature and high pressure
Retrieval buffer: Tris/EDTA buffer, pH 9.0. Heat mediated antigen retrieval (Tris/EDTA buffer, pH 9.0, 20 minutes) was used in between rounds of tyramide signal amplification to remove the antibody from the previous round, to avoid any cross-reactivity.
Primary ab dilution: PTM-5376 (1:1000), PTM-6334 (1:100), PTM-6420 (1:1000)
Primary Ab incubation: 90 minutes at room temperature
Secondary ab: Anti-Rabbit and Mouse Polymer HRP (Ready to use)
Nuclear counter stain: DAPI (Blue)
Comment: Color red is the positive signal for Mucin-6 (PTM-6420, TSA 570), color green is the positive signal for Vimentin ( PTM-5376, TSA 520), color yellow is the positive signal for Mucin 5AC ( PTM-6334, TSA 650). The section was incubated in three rounds of staining; in the order of PTM-5376,PTM-6334,PTM-6420; each using a separate fluorescent tyramide signal amplification system.
Primary ab dilution: PTM-5376 (1:1000), PTM-5995 (1:500)
Primary Ab incubation: 90 minutes at room temperature
Secondary ab: Anti-Rabbit and Mouse Polymer HRP (Ready to use)
Nuclear counter stain: DAPI (Blue)
Comment: Color red is the positive signal for MUC-2 (PTM-5995, TSA 570), color green is the positive signal for Vimentin ( PTM-5376, TSA 520). The section was incubated in two rounds of staining; in the order of PTM-5376, PTM-5995; each using a separate fluorescent tyramide signal amplification system.

Research Use

For research use only, not for use in diagnostic procedures.

Recommended Products
  • View More Images(1)
    $ 310
    Recombinant Rabbit Monoclonal
    Anti-Phospho-Vimentin (Ser39) Rabbit mAb
    Catalog #
    PTM-7041
    Host
    Rabbit
    Clonality
    Recombinant Monoclonal
    Conjugate
    Unconjugated
    Reactivity
    Human, Mouse, Rat
    Applications:
    WB IHC-P ICC/IF FC IAP IP ChIP mIHC-P CUT&Tag
  • View More Images(2)
    $ 310
    Recombinant Rabbit Monoclonal
    Anti-Phospho-Vimentin (Ser39) Rabbit mAb
    Catalog #
    PTM-7432
    Host
    Rabbit
    Clonality
    Recombinant Monoclonal
    Conjugate
    Unconjugated
    Reactivity
    Human
    Applications:
    WB IHC-P ICC/IF FC IAP IP ChIP mIHC-P CUT&Tag
References (15)
  • Ameliorating effects of rTMS on spermatogenesis disorder caused by cranial radiation-induced abscopal effects
    Year 2026
    Journal ECOTOXICOLOGY AND ENVIRONMENTAL SAFETY
    Authors Ling Guo, et al.
    Applications Unspecified
    Reactivity
  • NEXN targeting MYOCD by facilitating EMT-related β-catenin nuclear translocation modulates the metastasis of hepatocellular carcinoma
    Year 2025
    Journal iScience
    Authors Qiong Wu, et al.
    Applications Unspecified
    Reactivity
  • Integrative proteomics and metabolomics reveal that Terrestris saponin D ameliorates pulmonary fibrosis by regulating unsaturated fatty acid biosynthesis
    Year 2025
    Journal PHYTOMEDICINE
    Authors Shu-Ning Zhang, et al.
    Applications Unspecified
    Reactivity
  • Non-lethal sonodynamic therapy mitigates hypertensive renal fibrosis through the PI3K/AKT/mTORC1-autophagy pathway
    Year 2025
    Journal Scientific Reports
    Authors Liu DanDan, et al.
    Applications Unspecified
    Reactivity
  • Identification of gastric cancer subtypes based on disulfidptosis-related genes: GPC3 as a novel biomarker for prognosis prediction
    Year 2024
    Journal Discover Oncology
    Authors Yi Nan, et al.
    Applications Unspecified
    Reactivity
  • Curcumin alleviates the aggressiveness of breast cancer through inhibiting cell adhesion mediated by TEAD4-fibronectin axis
    Year 2024
    Journal BIOCHEMICAL PHARMACOLOGY
    Authors Mengjie Li, et al.
    Applications Unspecified
    Reactivity
  • CD36-mediated arachidonic acid influx from decidual stromal cells increases inflammatory macrophages in miscarriage
    Year 2024
    Journal Cell Reports
    Authors Jiajia Chen, et al.
    Applications Unspecified
    Reactivity
  • Comprehensive analysis of lactylation-related gene sets and mitochondrial functions in gastric adenocarcinoma: implications for prognosis and therapeutic strategies
    Year 2024
    Journal Frontiers in Immunology
    Authors Yin Xindong, et al.
    Applications Unspecified
    Reactivity
  • Dendrobium nobile active ingredient Dendrobin A against hepatocellular carcinoma via inhibiting nuclear factor kappa-B signaling
    Year 2024
    Journal BIOMEDICINE & PHARMACOTHERAPY
    Authors Yaping Yu, et al.
    Applications Unspecified
    Reactivity
  • HHLA2 promotes hepatoma cell proliferation, migration, and invasion via SPP1/PI3K/AKT signaling pathway
    Year 2024
    Journal MOLECULAR CARCINOGENESIS
    Authors Junqi Wang, et al.
    Applications Unspecified
    Reactivity
  • Alginate oligosaccharide alleviates vascular aging by upregulating glutathione peroxidase 7
    Year 2024
    Journal JOURNAL OF NUTRITIONAL BIOCHEMISTRY
    Authors Shan Wang, et al.
    Applications Unspecified
    Reactivity
  • Vimentin promotes glioma progression and maintains glioma cell resistance to oxidative phosphorylation inhibition
    Year 2023
    Journal CELLULAR ONCOLOGY
    Authors Liu Yu’e, et al.
    Applications Unspecified
    Reactivity
  • Establishing a Proteomics-Based Signature of AKR1C3-Related Genes for Predicting the Prognosis of Prostate Cancer
    Year 2023
    Journal INTERNATIONAL JOURNAL OF MOLECULAR SCIENCES
    Authors Xiaoli Cui, et al.
    Applications Unspecified
    Reactivity
  • Pseudolaric acid B induces apoptosis associated with the mitochondrial and PI3K/AKT/mTOR pathways in triple‑negative breast cancer
    Year 2023
    Journal ONCOLOGY REPORTS
    Authors Ke Yang, et al.
    Applications Unspecified
    Reactivity
  • C3aR contributes to unilateral ureteral obstruction-induced renal interstitial fibrosis via the activation of the NLRP3 inflammasome
    Year 2022
    Journal LIFE SCIENCES
    Authors Danyu You, et al.
    Applications Unspecified
    Reactivity