/ EN
Technical Support
| Contact Us
+1 312-802-6843
Technical Support
Contact Us
+1 312-802-6843
/ EN
Recover password
Professional Email
Verification Code
Send Code
Password
Goat Anti-Mouse IgG H&L (HRP Conjugate)
Catalog Number: PTM-7168
$ 135

Clone Number: /

Host: Goat Clonality: Polyclonal

Applications: WB IHC-P

Reactivity: Mouse

Synonyms: /

Product Size
1 ml
Quantity

Shipping: Ambient temperature

Order online or send purchase order to info@ptmbio.com

FAQ Technical Support Protocols

General Information
Isotype IgG
Conjugate HRP
Synonyms /
UniProt ID

/

Immunogen Mouse IgG
MW (kDa) 50
Specificity
Product Usage Information
Applications Dilution Recommended Species
WB 1:20000 Mouse
IHC-P 1:50 - 1:100 Mouse
Properties
Purity Immunogen affinity purified
Constituents PBS, Glycerol, BSA
Storage Store at -20°C. Avoid freeze/thaw cycles.
Stability Stable for 12 months from date of receipt/reconstitution.
Target Information

Background

Immunogen is mouse IgG whole molecule

Cellular location

/

Images
WB

Blocking buffer: 5% NFDM/TBST
Primary Ab dilution: 1:10000
Primary Ab incubation: 2 hours at room temperature
Secondary Ab: PTM-7168
Secondary Ab dilution: 1:20000/ 1:50000
Secondary Ab incubation: 45 minutes at room temperature
Lysate: Jurkat
Protein loading quantity: 20 μg
Exposure time: 3 s
Predicted MW: 50 kDa
Observed MW: 50 kDa

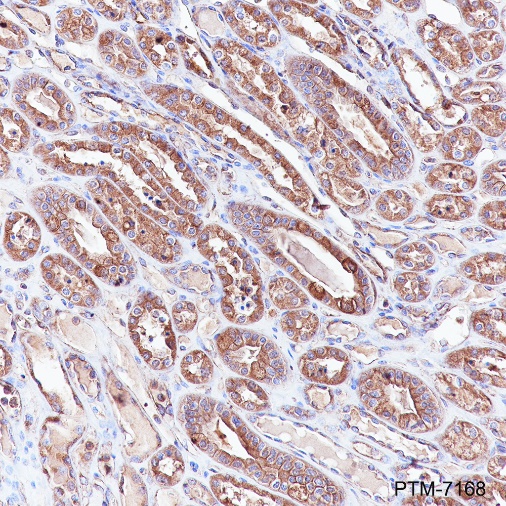
IHC-P

Tissue: Human kidney
Section type: Formalin-fixed & paraffinembedded section
Retrieval method: High temperature and high pressure
Retrieval buffer: Tris/EDTA buffer, pH 9.0
Primary Ab dilution: 1:100
Primary Ab incubation: 1 hour atroom temperature
Secondary Ab: PTM-7168
Counter stain: Hematoxylin (Blue)
Comment: Color brown is the positive signalfor PTM-6773

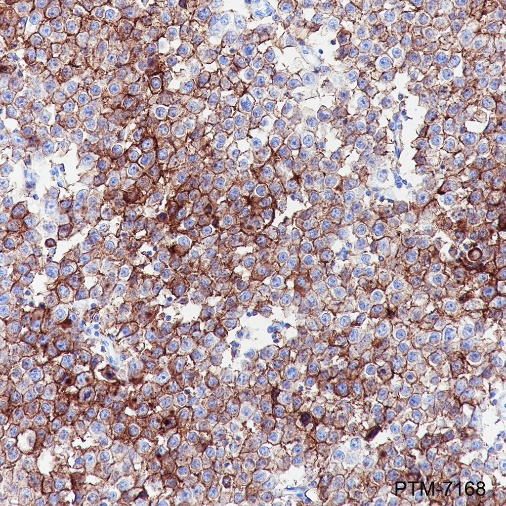
Tissue: Human seminoma
Section type: Formalin-fixed & paraffinembedded section
Retrieval method: High temperature and high pressure
Retrieval buffer: Tris/EDTA buffer, pH 9.0
Primary Ab dilution: 1:100
Primary Ab incubation: 1 hour atroom temperature
Secondary Ab: PTM-7168
Counter stain: Hematoxylin (Blue)
Comment: Color brown is the positive signalfor PTM-6831

Tissue: Rat kidney
Section type: Formalin-fixed & paraffinembedded section
Retrieval method: High temperature and high pressure
Retrieval buffer: Tris/EDTA buffer, pH 9.0
Primary Ab dilution: 1:100
Primary Ab incubation: 1 hour atroom temperature
Secondary Ab: PTM-7168
Counter stain: Hematoxylin (Blue)
Comment: Color brown is the positive signalfor PTM-6042

Research Use

For research use only, not for use in diagnostic procedures.

References (4)
  • Replacement of the Loop 4 region in CPV VP2 with corresponding PPV segments affects N-terminal cleavage, VLP morphology, hemagglutination, and cell binding
    Year 2026
    Journal VETERINARY MICROBIOLOGY
    Authors Shengke Chang, et al.
    Applications Unspecified
    Reactivity
  • G9a epigenetically suppresses CXCL10 expression and inhibits anti-tumor immunity in hepatocellular carcinoma
    Year 2025
    Journal INTERNATIONAL JOURNAL OF CANCER
    Authors Xinxin Chai, et al.
    Applications Unspecified
    Reactivity
  • PSAT1 knockdown mediated VDAC1 oligomerization promotes ferroptosis and suppresses cell proliferation in esophageal squamous cell carcinoma
    Year 2025
    Journal INTERNATIONAL JOURNAL OF BIOLOGICAL MACROMOLECULES
    Authors Ruili Ren, et al.
    Applications Unspecified
    Reactivity
  • Acetylation of K188 and K192 inhibits the DNA-binding ability of NarL to regulate Salmonella virulence
    Year 2023
    Journal APPLIED AND ENVIRONMENTAL MICROBIOLOGY
    Authors Liu-Qing Zhang, et al.
    Applications Unspecified
    Reactivity